Skip to main content

Lactate Dehydrogenase B Antibody - BSA Free

Novus Biologicals, part of Bio-Techne | Catalog # NBP3-03453

Novus Biologicals, part of Bio-Techne
Catalog #
Availability
Size / Price
Qty
Loading...
NBP3-03453-100ul
NBP3-03453-20ul

Key Product Details

Species Reactivity

Human, Mouse, Rat

Applications

Western Blot

Label

Unconjugated

Antibody Source

Polyclonal Rabbit IgG

Format

BSA Free

Concentration

Please see the vial label for concentration. If unlisted please contact technical services.

Product Specifications

Immunogen

Recombinant fusion protein containing a sequence corresponding to amino acids 1-334 of human Lactate Dehydrogenase B (NP_002291.1). MATLKEKLIAPVAEEEATVPNNKITVVGVGQVGMACAISILGKSLADELALVDVLEDKLKGEMMDLQHGSLFLQTPKIVADKDYSVTANSKIVVVTAGVRQQEGESRLNLVQRNVNVFKFIIPQIVKYSPDCIIIVVSNPVDILTYVTWKLSGLPKHRVIGSGCNLDSARFRYLMAEKLGIHPSSCHGWILGEHGDSSVAVWSGVNVAGVSLQELNPEMGTDNDSENWKEVHKMVVESAYEVIKLKGYTNWAIGLSVADLIESMLKNLSRIHPVSTMVKGMYGIENEVFLSLPCILNARGLTSVINQKLKDDEVAQLKKSADTLWDIQKDLKDL

Clonality

Polyclonal

Host

Rabbit

Isotype

IgG

Theoretical MW

36 kDa.
Disclaimer note: The observed molecular weight of the protein may vary from the listed predicted molecular weight due to post translational modifications, post translation cleavages, relative charges, and other experimental factors.

Description

Novus Biologicals Rabbit Lactate Dehydrogenase B Antibody - BSA Free (NBP3-03453) is a polyclonal antibody validated for use in WB. All Novus Biologicals antibodies are covered by our 100% guarantee.

Scientific Data Images for Lactate Dehydrogenase B Antibody - BSA Free

Western Blot: Lactate Dehydrogenase B AntibodyBSA Free [NBP3-03453]

Western Blot: Lactate Dehydrogenase B AntibodyBSA Free [NBP3-03453]

Western Blot: Lactate Dehydrogenase B Antibody [NBP3-03453] - Analysis of extracts of various cell lines, using Lactate Dehydrogenase B antibody at 1:1000 dilution. Secondary antibody: HRP Goat Anti-Rabbit IgG (H+L) at 1:10000 dilution. Lysates/proteins: 25ug per lane. Blocking buffer: 3% nonfat dry milk in TBST.
Lactate Dehydrogenase B Antibody - BSA Free

Immunohistochemistry: Lactate Dehydrogenase B Antibody - BSA Free [Lactate Dehydrogenase B] -

Immunohistochemistry: Lactate Dehydrogenase B Antibody - BSA Free [Lactate Dehydrogenase B] - Immunohistochemistry analysis of Lactate Dehydrogenase B in paraffin-embedded Human colon tissue using Lactate Dehydrogenase B Rabbit pAb at a dilution of 1:200 (40x lens). High pressure antigen retrieval performed with 0.01M Citrate Buffer(pH 6.0) prior to IHC staining.
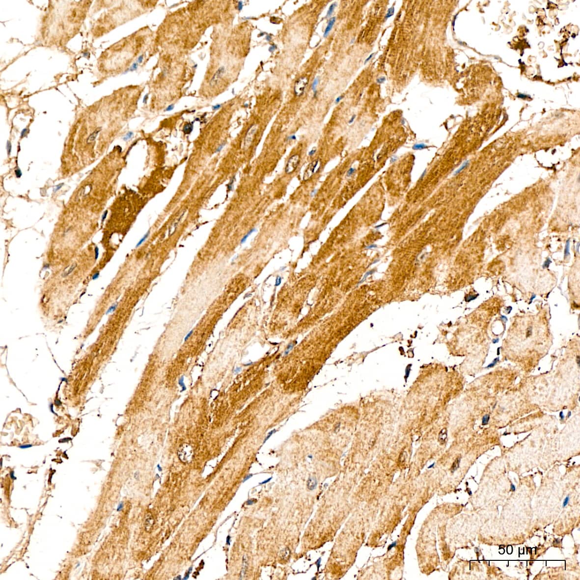
Lactate Dehydrogenase B Antibody - BSA Free

Immunohistochemistry: Lactate Dehydrogenase B Antibody - BSA Free [Lactate Dehydrogenase B] -

Immunohistochemistry: Lactate Dehydrogenase B Antibody - BSA Free [Lactate Dehydrogenase B] - Immunohistochemistry analysis of Lactate Dehydrogenase B in paraffin-embedded Mouse heart tissue using Lactate Dehydrogenase B Rabbit pAb at a dilution of 1:200 (40x lens). High pressure antigen retrieval performed with 0.01M Citrate Buffer(pH 6.0) prior to IHC staining.

Applications for Lactate Dehydrogenase B Antibody - BSA Free

Application
Recommended Usage

Western Blot

1:500 - 1:2000

Formulation, Preparation, and Storage

Purification

Affinity purified

Formulation

PBS (pH 7.3), 50% glycerol

Format

BSA Free

Preservative

0.02% Sodium Azide

Concentration

Please see the vial label for concentration. If unlisted please contact technical services.

Shipping

The product is shipped with polar packs. Upon receipt, store it immediately at the temperature recommended below.

Stability & Storage

Store at -20C. Avoid freeze-thaw cycles.

Background: Lactate Dehydrogenase B/LDHB

Lactate dehydrogenase (LDH) is an ubiquitous enzyme commonly found in wide variety of organisms, including plants and microbes. LDH is involved in the interconversion of the pyruvate and NADH to lactate and NAD+. It is also called Hydroxybutyrate Dehydrogenase (HBD), because it can catalyze the oxidation of hydroxybutyrate (1). In mammals, three types of LDH subunits (35 kDa) are encoded by the genes Ldh-A, Ldh-B, and Ldh-C. All LDH subunits can combine to form various terameric isoenzymes (140 kDa). Lactate dehydrogenase B (LDH-B, heart subunit, LDH-H) is involved in the conversion of L-lactate and NAD to pryruvate and NADH and it is predominantly localized in the heart tissue. Similar to other LDH subunit, LDH-B is considered to be an important marker for germ cell tumor (2).

Alternate Names

Epididymis Secretory Protein Li 281, HEL-S-281, LDH-H, LDHB, LDHBD, Renal Carcinoma Antigen NY-REN-46, TRG-5

Gene Symbol

LDHB

Additional Lactate Dehydrogenase B/LDHB Products

Product Documents for Lactate Dehydrogenase B Antibody - BSA Free

Certificate of Analysis

To download a Certificate of Analysis, please enter a lot number in the search box below.

Product Specific Notices for Lactate Dehydrogenase B Antibody - BSA Free

This product is for research use only and is not approved for use in humans or in clinical diagnosis. Primary Antibodies are guaranteed for 1 year from date of receipt.

Loading...
Loading...
Loading...
Loading...