Skip to main content

Lactase Antibody (CL14164) - BSA Free

Novus Biologicals, part of Bio-Techne | Catalog # NBP3-26848

Novus Biologicals, part of Bio-Techne
Catalog #
Availability
Size / Price
Qty
Loading...
NBP3-26848-100ul
NBP3-26848-25ul

Key Product Details

Validated by

Orthogonal Validation

Species Reactivity

Human

Applications

Immunohistochemistry, Immunohistochemistry-Paraffin

Label

Unconjugated

Antibody Source

Monoclonal Mouse IgG2B Clone # CL14164

Format

BSA Free

Concentration

1 mg/ml

Product Specifications

Immunogen

This antibody was developed using a synthetic peptide derived from P09848, with the exact immunogen sequence remaining proprietary.

Clonality

Monoclonal

Host

Mouse

Isotype

IgG2B

Description

Novus Biologicals Mouse Lactase Antibody (CL14164) - BSA Free (NBP3-26848) is a monoclonal antibody validated for use in IHC. All Novus Biologicals antibodies are covered by our 100% guarantee.

Scientific Data Images for Lactase Antibody (CL14164) - BSA Free

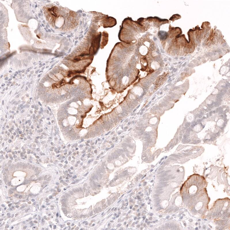
Lactase Antibody (CL14164)

Immunohistochemistry-Paraffin: Lactase Antibody (CL14164) [NBP3-26848]

Analysis in human small intestine and liver tissues. Corresponding RNA-seq data are presented for the same tissues.
Lactase Antibody (CL14164)

Immunohistochemistry-Paraffin: Lactase Antibody (CL14164) [NBP3-26848]

Staining of human colon shows no positivity in glandular cells as expected.
Lactase Antibody (CL14164)

Immunohistochemistry-Paraffin: Lactase Antibody (CL14164) [NBP3-26848]

Staining of human small intestine shows strong membranous positivity in the intestinal brush border.

Applications for Lactase Antibody (CL14164) - BSA Free

Application
Recommended Usage

Immunohistochemistry

1:2500 - 1:5000

Immunohistochemistry-Paraffin

1:2500 - 1:5000
Application Notes
For IHC-Paraffin, HIER pH 6 retrieval is recommended.

Formulation, Preparation, and Storage

Purification

Protein A purified

Formulation

PBS, pH 7.2, 40% glycerol

Format

BSA Free

Preservative

0.02% Sodium Azide

Concentration

1 mg/ml

Shipping

The product is shipped with polar packs. Upon receipt, store it immediately at the temperature recommended below.

Stability & Storage

Store at 4C short term. Aliquot and store at -20C long term. Avoid freeze-thaw cycles.

Background: Lactase

Lactase encodes a gene belonging to family 1 of gylcosyl hydrolases. This protien has phlorizin hydrolase activity aas well as lactase activity. The protien is also integral to the plasma membrane.

Alternate Names

EC 3.2.1, LAC, lactase, lactase-glycosylceramidase, lactase-phlorizin hydrolase, LPH1, LPHlactase-phlorizin hydrolase-1

Gene Symbol

LCT

Additional Lactase Products

Product Documents for Lactase Antibody (CL14164) - BSA Free

Certificate of Analysis

To download a Certificate of Analysis, please enter a lot number in the search box below.

Product Specific Notices for Lactase Antibody (CL14164) - BSA Free

This product is for research use only and is not approved for use in humans or in clinical diagnosis. Primary Antibodies are guaranteed for 1 year from date of receipt.

Loading...
Loading...
Loading...
Loading...