Skip to main content

KvBeta1 Antibody (OTI7F12)

Novus Biologicals, part of Bio-Techne | Catalog # NBP2-45767

Novus Biologicals, part of Bio-Techne
Catalog #
Availability
Size / Price
Qty
Loading...
NBP2-45767

Key Product Details

Species Reactivity

Human, Mouse, Rat

Applications

Flow Cytometry, Immunocytochemistry/ Immunofluorescence, Immunohistochemistry, Immunohistochemistry-Paraffin, Western Blot

Label

Unconjugated

Antibody Source

Monoclonal Mouse IgG1 Clone # OTI7F12

Concentration

1 mg/ml

Product Specifications

Immunogen

Full length human recombinant protein of human KCNAB1(NP_751891) produced in HEK293T cell.

Reactivity Notes

Please note that this antibody is reactive to Mouse and derived from the same host, Mouse. Mouse-On-Mouse blocking reagent may be needed for IHC and ICC experiments to reduce high background signal. You can find these reagents under catalog numbers PK-2200-NB and MP-2400-NB. Please contact Technical Support if you have any questions.

Clonality

Monoclonal

Host

Mouse

Isotype

IgG1

Theoretical MW

44.5 kDa.
Disclaimer note: The observed molecular weight of the protein may vary from the listed predicted molecular weight due to post translational modifications, post translation cleavages, relative charges, and other experimental factors.

Description

Novus Biologicals Mouse KvBeta1 Antibody (OTI7F12) (NBP2-45767) is a monoclonal antibody validated for use in IHC, WB, Flow and ICC/IF. All Novus Biologicals antibodies are covered by our 100% guarantee.

Scientific Data Images for KvBeta1 Antibody (OTI7F12)

Western Blot: KvBeta1 Antibody (OTI7F12) [NBP2-45767]

Western Blot: KvBeta1 Antibody (OTI7F12) [NBP2-45767]

Western Blot: KvBeta1 Antibody (OTI7F12) [NBP2-45767] - Analysis of HEK293T cells were transfected with the pCMV6-ENTRY control (Left lane) or pCMV6-ENTRY KvBeta1.
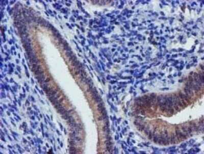
Immunohistochemistry: KvBeta1 Antibody (OTI7F12) [NBP2-45767]

Immunohistochemistry: KvBeta1 Antibody (OTI7F12) [NBP2-45767]

Immunohistochemistry: KvBeta1 Antibody (OTI7F12) [NBP2-45767] - Analysis of Human endometrium tissue. (Heat-induced epitope retrieval by 10mM citric buffer, pH6.0, 120C for 3min)
Flow Cytometry: KvBeta1 Antibody (OTI7F12) [NBP2-45767]

Flow Cytometry: KvBeta1 Antibody (OTI7F12) [NBP2-45767]

Flow Cytometry: KvBeta1 Antibody (OTI7F12) [NBP2-45767] - Analysis of Jurkat cells, using KCNAB1 antibody (Red), compared to a nonspecific negative control antibody (Blue).

Applications for KvBeta1 Antibody (OTI7F12)

Application
Recommended Usage

Flow Cytometry

1:100

Immunocytochemistry/ Immunofluorescence

1:100

Immunohistochemistry

1:150

Western Blot

1:1000

Formulation, Preparation, and Storage

Purification

Immunogen affinity purified

Formulation

PBS (pH 7.3), 1.0% BSA and 50% Glycerol

Preservative

0.02% Sodium Azide

Concentration

1 mg/ml

Shipping

The product is shipped with polar packs. Upon receipt, store it immediately at the temperature recommended below.

Stability & Storage

Store at -20C. Avoid freeze-thaw cycles.

Background: KvBeta1

Potassium channels represent the most complex class of voltage-gated ion channels from both functional and structural standpoints. Their diverse functions include regulating neurotransmitter release, heart rate, insulin secretion, neuronal excitability, epithelial electrolyte transport, smooth muscle contraction, and cell volume. Four sequence-related potassium channel genes - shaker, shaw, shab, and shal - have been identified in Drosophila, and each has been shown to have human homolog(s). This gene encodes a member of the potassium channel, voltage-gated, shaker-related subfamily. This member includes three distinct isoforms which are encoded by three alternatively spliced transcript variants of this gene. These three isoforms are beta subunits, which form heteromultimeric complex with alpha subunits and modulate the activity of the pore-forming alpha subunits. (provided by RefSeq)

Alternate Names

AKR6A3, hKvb3, hKvBeta3, K(+) channel subunit beta-1, KCNA1Bpotassium channel beta 3 chain, Kvb1.3, KV-BETA-1, potassium channel beta3 subunit, potassium channel shaker chain beta 1a, potassium voltage-gated channel beta subunit, potassium voltage-gated channel, shaker-related subfamily, beta member 1, voltage-gated potassium channel beta-1 subunit, voltage-gated potassium channel subunit beta-1

Gene Symbol

KCNAB1

Additional KvBeta1 Products

Product Documents for KvBeta1 Antibody (OTI7F12)

Certificate of Analysis

To download a Certificate of Analysis, please enter a lot number in the search box below.

Product Specific Notices for KvBeta1 Antibody (OTI7F12)

This product is for research use only and is not approved for use in humans or in clinical diagnosis. Primary Antibodies are guaranteed for 1 year from date of receipt.

Loading...
Loading...
Loading...
Loading...
Loading...