Skip to main content

Ku80/XRCC5 Antibody (XRCC5/7317)

Novus Biologicals, part of Bio-Techne | Catalog # NBP3-13796

Novus Biologicals, part of Bio-Techne
Catalog #
Availability
Size / Price
Qty
Loading...
NBP3-13796-100ug
NBP3-13796-20ug

Key Product Details

Species Reactivity

Human

Applications

Immunohistochemistry-Paraffin, Western Blot

Label

Unconjugated

Antibody Source

Monoclonal Mouse IgG1 kappa Clone # XRCC5/7317

Concentration

0.2 mg/ml

Product Specifications

Immunogen

Recombinant fragment (around aa300-500) of human Ku80/XRCC5 (exact sequence is proprietary) (Uniprot: P13010 )

Localization

Nucleus, Nucleoplasm

Clonality

Monoclonal

Host

Mouse

Isotype

IgG1 kappa

Description

200ug/ml of antibody purified from Bioreactor Concentrate by Protein A or G. Prepared in 10 mM PBS with 0.05% BSA & 0.05% azide. Also available WITHOUT BSA & azide at 1.0 mg/ml. (NBP3-14018)

Antibody with azide - store at 2 to 8C. Antibody without azide - store at -20 to -80 C. Non-hazardous.

Theoretical molecular weight: 80-86kDa

Scientific Data Images for Ku80/XRCC5 Antibody (XRCC5/7317)

Western Blot: Ku80/XRCC5 Antibody (XRCC5/7317) [NBP3-13796]

Western Blot: Ku80/XRCC5 Antibody (XRCC5/7317) [NBP3-13796]

Western Blot: Ku80/XRCC5 Antibody (XRCC5/7317) [NBP3-13796] - Western blot analysis of MOLT-4 and HEK293 cell lysates using Ku80/XRCC5 antibody (XRCC5/7317).
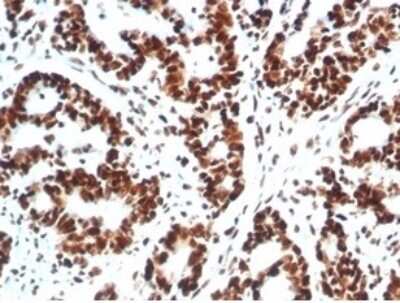
Immunohistochemistry-Paraffin: Ku80/XRCC5 Antibody (XRCC5/7317) [NBP3-13796]

Immunohistochemistry-Paraffin: Ku80/XRCC5 Antibody (XRCC5/7317) [NBP3-13796]

Immunohistochemistry-Paraffin: Ku80/XRCC5 Antibody (XRCC5/7317) [NBP3-13796] - Formalin-fixed, paraffin-embedded human colon carcinoma stained with Ku80/XRCC5 antibody (XRCC5/7317). HIER: Tris/EDTA, pH9.0, 45min. HRP-polymer, 30min. DAB, 5min.
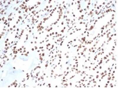
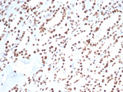
Immunohistochemistry-Paraffin: Ku80/XRCC5 Antibody (XRCC5/7317) [NBP3-13796]

Immunohistochemistry-Paraffin: Ku80/XRCC5 Antibody (XRCC5/7317) [NBP3-13796]

Immunohistochemistry-Paraffin: Ku80/XRCC5 Antibody (XRCC5/7317) [NBP3-13796] - Formalin-fixed, paraffin-embedded human lymph node stained with Ku80/XRCC5 antibody (XRCC5/7317). HIER: Tris/EDTA, pH9.0, 45min. HRP-polymer, 30min. DAB, 5min.

Applications for Ku80/XRCC5 Antibody (XRCC5/7317)

Application
Recommended Usage

Immunohistochemistry-Paraffin

1-2 ug/ml

Western Blot

1-2 ug/ml
Application Notes
Immunohistochemistry (Formalin-fixed): 1-2ug/ml for 30 minutes at RT. Staining of formalin-fixed tissues requires heating tissue sections in 10mM Tris with 1mM EDTA, pH 9.0, for 45 min at 95C followed by cooling at RT for 20 minutes

Formulation, Preparation, and Storage

Purification

Protein A or G purified

Formulation

10 mM PBS with 0.05% BSA

Preservative

0.05% Sodium Azide

Concentration

0.2 mg/ml

Shipping

The product is shipped with polar packs. Upon receipt, store it immediately at the temperature recommended below.

Stability & Storage

Store at 4C.

Background: Ku80/XRCC5

Ku80, also known as XRCC5, plays a role in many diverse processes including cell signaling, proliferation, DNA repair, replication, transcriptional activation and apoptosis.

As one half of the heterodimer complex Ku, Ku80 is required for proper maintenance of the telomeric C strand. Ku80 also plays a role in DNA repair as an essential subunit of DNA-dependent protein kinase (DNA-PK) that phosphorylates certain transcription factors (Sp1, Oct-1 and p53). The heterodimer Ku binds double stranded DNA breaks for non-homologous end joining repair. Ku mutants are defective in T-DNA integration and over-expression confers increased resistance to DNA damage agents and increased susceptibility to T-DNA transformation.

Long Name

Lupus Ku Autoantigen Protein 86

Alternate Names

CTC85, G22P2, KARP1, Ku86, KUB2, NFIV, XRCC5

Gene Symbol

XRCC5

UniProt

Additional Ku80/XRCC5 Products

Product Documents for Ku80/XRCC5 Antibody (XRCC5/7317)

Certificate of Analysis

To download a Certificate of Analysis, please enter a lot number in the search box below.

Product Specific Notices for Ku80/XRCC5 Antibody (XRCC5/7317)

This product is for research use only and is not approved for use in humans or in clinical diagnosis. Primary Antibodies are guaranteed for 1 year from date of receipt.

Loading...
Loading...
Loading...
Loading...