Skip to main content

Ku70/XRCC6 Antibody (8L6B6)

Novus Biologicals, part of Bio-Techne | Catalog # NBP3-15358

Recombinant Monoclonal Antibody
Novus Biologicals, part of Bio-Techne
Catalog #
Availability
Size / Price
Qty
Loading...
NBP3-15358-100ul
NBP3-15358-20ul

Key Product Details

Species Reactivity

Human, Mouse

Applications

ELISA, Immunocytochemistry/ Immunofluorescence, Immunohistochemistry, Immunohistochemistry-Paraffin, Western Blot

Label

Unconjugated

Antibody Source

Recombinant Monoclonal Rabbit IgG Clone # 8L6B6 expressed in HEK293

Concentration

Please see the vial label for concentration. If unlisted please contact technical services.

Product Specifications

Immunogen

A synthetic peptide corresponding to a sequence within amino acids 500-609 of human Ku70/XRCC6 (P12956). PEQAVDLTLPKVEAMNKRLGSLVDEFKELVYPPDYNPEGKVTKRKHDNEGSGSKRPKVEYSEEELKTHISKGTLGKFTVPMLKEACRAYGLKSGLKKQELLEALTKHFQD

Clonality

Monoclonal

Host

Rabbit

Isotype

IgG

Theoretical MW

70 kDa.
Disclaimer note: The observed molecular weight of the protein may vary from the listed predicted molecular weight due to post translational modifications, post translation cleavages, relative charges, and other experimental factors.

Description

Novus Biologicals Rabbit Ku70/XRCC6 Antibody (8L6B6) (NBP3-15358) is a recombinant monoclonal antibody validated for use in IHC, WB, ELISA and ICC/IF. All Novus Biologicals antibodies are covered by our 100% guarantee.

Scientific Data Images for Ku70/XRCC6 Antibody (8L6B6)

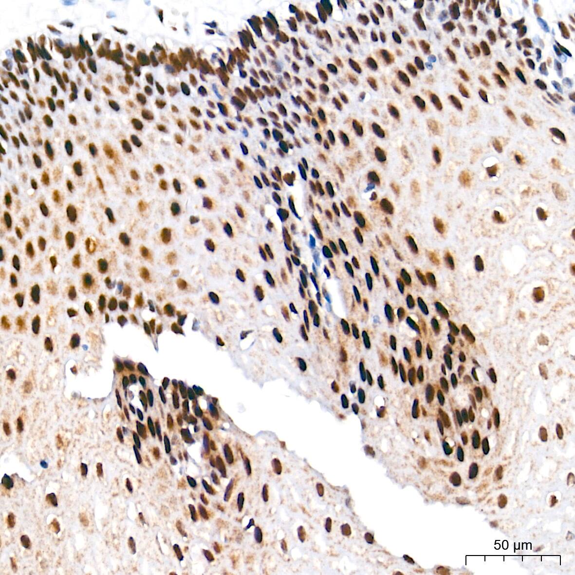
Immunohistochemistry-Paraffin: Ku70/XRCC6 Antibody (8L6B6) [NBP3-15358]

Immunohistochemistry-Paraffin: Ku70/XRCC6 Antibody (8L6B6) [NBP3-15358]

Immunohistochemistry-Paraffin: Ku70/XRCC6 Antibody (8L6B6) [NBP3-15358] - Immunohistochemistry of paraffin-embedded human colon carcinoma using Ku70/XRCC6 Rabbit mAb (NBP3-15358) at dilution of 1:100 (40x lens).Perform microwave antigen retrieval with 10 mM PBS buffer pH 7.2 before commencing with IHC staining protocol.
Ku70/XRCC6 Antibody (8L6B6)

Western Blot: Ku70/XRCC6 Antibody (8L6B6) [NBP3-15358] -

Western Blot: Ku70/XRCC6 Antibody (8L6B6) [NBP3-15358] - Analysis of lysates from A-549 cells using Ku70 Rabbit mAb at 1:6000 dilution incubated overnight at 4℃.Secondary antibody: HRP-conjugated Goat anti-Rabbit IgG (H+L) at 1:10000 dilution.Lysates/proteins: 25 μg per lane.Blocking buffer: 3% nonfat dry milk in TBST.Detection: ECL Basic Kit. Exposure time: 10s.
Ku70/XRCC6 Antibody (8L6B6)

Immunocytochemistry/Immunofluorescence: Ku70/XRCC6 Antibody (8L6B6) [NBP3-15358] -

Immunocytochemistry/Immunofluorescence: Ku70/XRCC6 Antibody (8L6B6) [NBP3-15358] -Confocal imaging of U-2 OS cells using Ku70 Rabbit mAb (dilution 1:100)(Red). The cells were counterstained with alpha-Tubulin Mouse mAb (dilution 1:400) (Green). DAPI was used for nuclear staining (blue). Objective: 100x.

Applications for Ku70/XRCC6 Antibody (8L6B6)

Application
Recommended Usage

ELISA

Recommended starting concentration is 1 μg/mL. Please optimize the concentration based on your specific assay requirements.

Immunocytochemistry/ Immunofluorescence

1:100 - 1:1000

Immunohistochemistry

1:200 - 1:800

Immunohistochemistry-Paraffin

1:200 - 1:800

Western Blot

1:6000 - 1:36000

Formulation, Preparation, and Storage

Purification

Affinity purified

Formulation

PBS (pH 7.3), 50% glycerol, 0.05% BSA

Preservative

0.02% Sodium Azide

Concentration

Please see the vial label for concentration. If unlisted please contact technical services.

Shipping

The product is shipped with polar packs. Upon receipt, store it immediately at the temperature recommended below.

Stability & Storage

Store at -20C. Avoid freeze-thaw cycles.

Background: Ku70/XRCC6

The Ku autoantigen is a heterodimer of 70kDa (p70) and ~80kDa (p80) proteins. The p70/p80 dimer is important for function of a 460kDa DNAdependent protein kinase that phosphorylates certain transcription factors, including Sp1, Oct-1, p53, and SV40 large T antigen in vitro. Ku protein plays a role in cell signaling, proliferation, DNA repair, replication, transcriptional activation, and apoptosis.

Long Name

Lupus Ku Autoantigen Protein 70

Alternate Names

CTC75, CTCBF, G22P1, ML8, TLAA, XRCC6

Gene Symbol

XRCC6

Additional Ku70/XRCC6 Products

Product Documents for Ku70/XRCC6 Antibody (8L6B6)

Certificate of Analysis

To download a Certificate of Analysis, please enter a lot number in the search box below.

Product Specific Notices for Ku70/XRCC6 Antibody (8L6B6)

This product is for research use only and is not approved for use in humans or in clinical diagnosis. Primary Antibodies are guaranteed for 1 year from date of receipt.

Loading...
Loading...
Loading...
Loading...