Skip to main content

KRT222 Antibody - BSA Free

Novus Biologicals, part of Bio-Techne | Catalog # NBP1-92061

Novus Biologicals, part of Bio-Techne
Catalog #
Availability
Size / Price
Qty
Loading...
NBP1-92061
NBP1-92061-25ul

Key Product Details

Species Reactivity

Validated:

Human

Predicted:

Mouse (93%), Rat (91%). Backed by our 100% Guarantee.

Applications

Immunohistochemistry, Immunohistochemistry-Paraffin, Western Blot

Label

Unconjugated

Antibody Source

Polyclonal Rabbit IgG

Format

BSA Free

Concentration

Concentrations vary lot to lot. See vial label for concentration. If unlisted please contact technical services.

Product Specifications

Immunogen

This antibody was developed against Recombinant Protein corresponding to amino acids: MELSQLLNEIRANYEKILTRNQIETVLSTRIQLEEDISKKMDKDEEALKAAQAELKEARRQWHHLQVEIESLHA

Clonality

Polyclonal

Host

Rabbit

Isotype

IgG

Description

Novus Biologicals Rabbit KRT222 Antibody - BSA Free (NBP1-92061) is a polyclonal antibody validated for use in IHC and WB. All Novus Biologicals antibodies are covered by our 100% guarantee.

Scientific Data Images for KRT222 Antibody - BSA Free

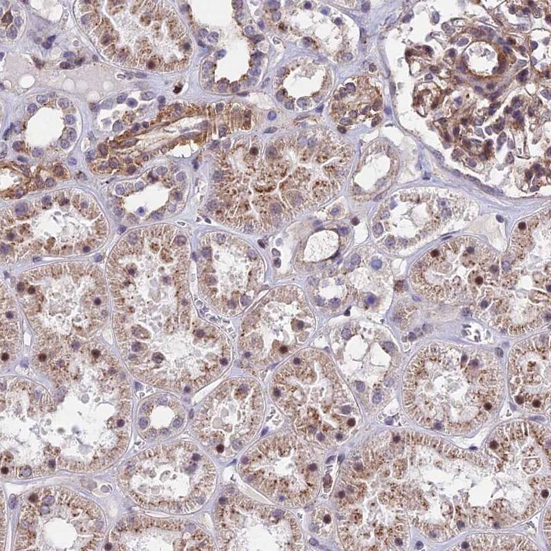
Immunohistochemistry-Paraffin: KRT222 Antibody [NBP1-92061]

Immunohistochemistry-Paraffin: KRT222 Antibody [NBP1-92061]

Immunohistochemistry-Paraffin: KRT222 Antibody [NBP1-92061] - Staining of human kidney shows moderate positivity in tubular cells and cells in glomeruli.
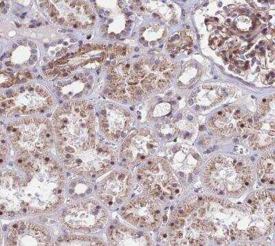
KRT222 Antibody - BSA Free Immunohistochemistry: KRT222 Antibody - BSA Free [NBP1-92061]

Immunohistochemistry: KRT222 Antibody - BSA Free [NBP1-92061]

Staining of human kidney shows moderate positivity in tubular cells and cells in glomeruli.
KRT222 Antibody - BSA Free Western Blot: KRT222 Antibody - BSA Free [NBP1-92061]

Western Blot: KRT222 Antibody - BSA Free [NBP1-92061]

Analysis in control (vector only transfected HEK293T lysate) and KRT222 over-expression lysate (Co-expressed with a C-terminal myc-DDK tag (~3.1 kDa) in mammalian HEK293T cells).

Applications for KRT222 Antibody - BSA Free

Application
Recommended Usage

Immunohistochemistry

1:200 - 1:500

Immunohistochemistry-Paraffin

1:200 - 1:500

Western Blot

0.04-0.4 ug/ml
Application Notes
For IHC-Paraffin, HIER pH 6 retrieval is recommended.

Formulation, Preparation, and Storage

Purification

Immunogen affinity purified

Formulation

PBS (pH 7.2) and 40% Glycerol

Format

BSA Free

Preservative

0.02% Sodium Azide

Concentration

Concentrations vary lot to lot. See vial label for concentration. If unlisted please contact technical services.

Shipping

The product is shipped with polar packs. Upon receipt, store it immediately at the temperature recommended below.

Stability & Storage

Store at 4C short term. Aliquot and store at -20C long term. Avoid freeze-thaw cycles.

Background: KRT222

Alternate Names

keratin 222, truncated type I keratin KA21

Gene Symbol

KRT222

Additional KRT222 Products

Product Documents for KRT222 Antibody - BSA Free

Certificate of Analysis

To download a Certificate of Analysis, please enter a lot number in the search box below.

Product Specific Notices for KRT222 Antibody - BSA Free

This product is for research use only and is not approved for use in humans or in clinical diagnosis. Primary Antibodies are guaranteed for 1 year from date of receipt.

Loading...
Loading...
Loading...
Loading...