KNL-2 Antibody - BSA Free
Novus Biologicals, part of Bio-Techne | Catalog # NBP1-89905
Key Product Details
Species Reactivity
Human
Applications
Immunohistochemistry, Immunohistochemistry-Paraffin, Immunocytochemistry/ Immunofluorescence
Label
Unconjugated
Antibody Source
Polyclonal Rabbit IgG
Format
BSA Free
Concentration
Concentrations vary lot to lot. See vial label for concentration. If unlisted please contact technical services.
Product Specifications
Immunogen
This antibody was developed against Recombinant Protein corresponding to amino acids: QHQRILLPSFQDSEDDDDILPNMDKNPTTPSSVIFPLVKTPQCQHVSPGMLGSINRNDCDKYVFRMQKYHKSNGGIVWGNIKKKLVETDFSTPTPRRKTPFNTDLGENSGIGKLFTNAVESLDE
Clonality
Polyclonal
Host
Rabbit
Isotype
IgG
Description
Novus Biologicals Rabbit KNL-2 Antibody - BSA Free (NBP1-89905) is a polyclonal antibody validated for use in IHC and ICC/IF. All Novus Biologicals antibodies are covered by our 100% guarantee.
Scientific Data Images for KNL-2 Antibody - BSA Free
Immunocytochemistry/ Immunofluorescence: KNL-2 Antibody [NBP1-89905]
Immunocytochemistry/Immunofluorescence: KNL-2 Antibody [NBP1-89905] - Immunofluorescent staining of human cell line U-2 OS shows localization to nucleoli & cytosol.Immunohistochemistry-Paraffin: KNL-2 Antibody - BSA Free [NBP1-89905]
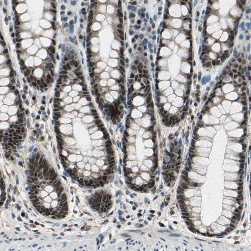
Staining of human rectum shows strong nuclear positivity in glandular cells.Immunohistochemistry-Paraffin: KNL-2 Antibody - BSA Free [NBP1-89905]
Staining of human cerebral cortex shows strong nuclear positivity in neurons.Applications for KNL-2 Antibody - BSA Free
Application
Recommended Usage
Immunocytochemistry/ Immunofluorescence
0.25-2 ug/ml
Immunohistochemistry
1:20 - 1:50
Immunohistochemistry-Paraffin
1:20 - 1:50
Application Notes
For IHC-Paraffin, HIER pH 6 retrieval is recommended. Immunocytochemistry/Immunofluorescence Fixation Permeabilization: Use PFA/Triton X-100.
Formulation, Preparation, and Storage
Purification
Affinity purified
Formulation
PBS (pH 7.2) and 40% Glycerol
Format
BSA Free
Preservative
0.02% Sodium Azide
Concentration
Concentrations vary lot to lot. See vial label for concentration. If unlisted please contact technical services.
Shipping
The product is shipped with polar packs. Upon receipt, store it immediately at the temperature recommended below.
Stability & Storage
Store at 4C short term. Aliquot and store at -20C long term. Avoid freeze-thaw cycles.
Background: KNL-2
Alternate Names
C14orf106, chromosome 14 open reading frame 106, FLJ11186, hsKNL-2, KIAA1903HSA242977, Kinetochore-associated protein KNL-2 homolog, KNL2, M18BP1, MIS18 binding protein 1, mis18-binding protein 1, P243, putative protein p243 which interacts with transcription factor Sp1
Gene Symbol
MIS18BP1
Additional KNL-2 Products
Product Documents for KNL-2 Antibody - BSA Free
Product Specific Notices for KNL-2 Antibody - BSA Free
This product is for research use only and is not approved for use in humans or in clinical diagnosis. Primary Antibodies are guaranteed for 1 year from date of receipt.
Loading...
Loading...
Loading...
Loading...