Klra2 Antibody - BSA Free
Novus Biologicals, part of Bio-Techne | Catalog # NBP2-41096
Conjugate
Catalog #
Key Product Details
Species Reactivity
Mouse, Rat
Applications
Immunohistochemistry, Immunohistochemistry-Paraffin, Western Blot, ELISA, Immunocytochemistry/ Immunofluorescence
Label
Unconjugated
Antibody Source
Polyclonal Rabbit IgG
Format
BSA Free
Concentration
1 mg/ml
Product Specifications
Immunogen
Antibody was raised against a 14 amino acid synthetic peptide near the carboxy terminus of mouse KLRA2. The immunogen is located within the last 50 amino acids of KLRA2.
Clonality
Polyclonal
Host
Rabbit
Isotype
IgG
Scientific Data Images for Klra2 Antibody - BSA Free
Western Blot: Klra2 AntibodyBSA Free [NBP2-41096]
Western Blot: Klra2 Antibody [NBP2-41096] - Western blot analysis of KLRA2 in mouse spleen tissue lysate with KLRA2 antibody at (A) 0.5 and (B) 1 ug/mL.Immunohistochemistry: Klra2 Antibody - BSA Free [NBP2-41096] -
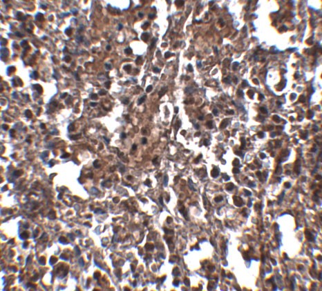
Immunohistochemistry: Klra2 Antibody - BSA Free [NBP2-41096] - Immunohistochemistry of Klra2 in mouse spleen tissue with Klra2 antibody at 2.5 ug/mL.Applications for Klra2 Antibody - BSA Free
Application
Recommended Usage
Immunocytochemistry/ Immunofluorescence
20 ug/ml
Immunohistochemistry
2.5 ug/ml
Immunohistochemistry-Paraffin
2.5 ug/ml
Western Blot
0.5-1 ug/ml
Formulation, Preparation, and Storage
Purification
Peptide affinity purified
Formulation
PBS
Format
BSA Free
Preservative
0.02% Sodium Azide
Concentration
1 mg/ml
Shipping
The product is shipped with polar packs. Upon receipt, store it immediately at the temperature recommended below.
Stability & Storage
Store at 4C short term. Aliquot and store at -20C long term. Avoid freeze-thaw cycles.
Background: Klra2
Alternate Names
Klra30, Ly49b
Gene Symbol
Klra2
Additional Klra2 Products
Product Documents for Klra2 Antibody - BSA Free
Product Specific Notices for Klra2 Antibody - BSA Free
This product is for research use only and is not approved for use in humans or in clinical diagnosis. Primary Antibodies are guaranteed for 1 year from date of receipt.
Loading...
Loading...
Loading...
Loading...