Skip to main content

KIST Antibody (OTI2H4)

Novus Biologicals, part of Bio-Techne | Catalog # NBP2-03027

Novus Biologicals, part of Bio-Techne
Catalog #
Availability
Size / Price
Qty
Loading...
NBP2-03027

Key Product Details

Species Reactivity

Human, Mouse, Rat

Applications

Flow Cytometry, Immunocytochemistry/ Immunofluorescence, Immunohistochemistry, Immunohistochemistry-Paraffin, Western Blot

Label

Unconjugated

Antibody Source

Monoclonal Mouse IgG2B Clone # OTI2H4

Concentration

0.82 mg/ml

Product Specifications

Immunogen

Full length human recombinant protein of human UHMK1 (NP_787062) produced in HEK293T cell.

Reactivity Notes

Please note that this antibody is reactive to Mouse and derived from the same host, Mouse. Mouse-On-Mouse blocking reagent may be needed for IHC and ICC experiments to reduce high background signal. You can find these reagents under catalog numbers PK-2200-NB and MP-2400-NB. Please contact Technical Support if you have any questions.

Clonality

Monoclonal

Host

Mouse

Isotype

IgG2B

Theoretical MW

46.4 kDa.
Disclaimer note: The observed molecular weight of the protein may vary from the listed predicted molecular weight due to post translational modifications, post translation cleavages, relative charges, and other experimental factors.

Description

Novus Biologicals Mouse KIST Antibody (OTI2H4) (NBP2-03027) is a monoclonal antibody validated for use in IHC, WB, Flow and ICC/IF. All Novus Biologicals antibodies are covered by our 100% guarantee.

Scientific Data Images for KIST Antibody (OTI2H4)

Western Blot: KIST Antibody (OTI2H4) [NBP2-03027]

Western Blot: KIST Antibody (OTI2H4) [NBP2-03027]

Western Blot: KIST Antibody (2H4) [NBP2-03027] - HEK293T cells were transfected with the pCMV6-ENTRY control (Left lane) or pCMV6-ENTRY KIST (Right lane) cDNA for 48 hrs and lysed. Equivalent amounts of cell lysates (5 ug per lane) were separated by SDS-PAGE and immunoblotted with anti-KIST.
Immunocytochemistry/ Immunofluorescence: KIST Antibody (OTI2H4) [NBP2-03027]

Immunocytochemistry/ Immunofluorescence: KIST Antibody (OTI2H4) [NBP2-03027]

Immunocytochemistry/Immunofluorescence: KIST Antibody (OTI2H4) [NBP2-03027] - Staining of COS7 cells transiently transfected by pCMV6-ENTRY KIST.
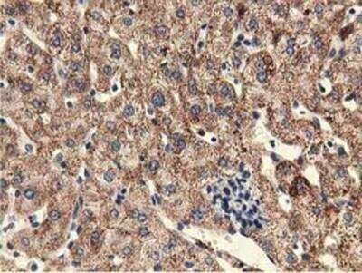
Immunohistochemistry-Paraffin: KIST Antibody (OTI2H4) [NBP2-03027]

Immunohistochemistry-Paraffin: KIST Antibody (OTI2H4) [NBP2-03027]

Immunohistochemistry-Paraffin: KIST Antibody (2H4) [NBP2-03027] - Staining of paraffin-embedded Human liver tissue using anti-KIST mouse monoclonal antibody.

Applications for KIST Antibody (OTI2H4)

Application
Recommended Usage

Flow Cytometry

1:100

Immunocytochemistry/ Immunofluorescence

1:100

Immunohistochemistry

1:150

Immunohistochemistry-Paraffin

1:150

Western Blot

1:500-2000

Formulation, Preparation, and Storage

Purification

Immunogen affinity purified

Formulation

PBS (pH 7.3), 1.0% BSA and 50% Glycerol

Preservative

0.02% Sodium Azide

Concentration

0.82 mg/ml

Shipping

The product is shipped with polar packs. Upon receipt, store it immediately at the temperature recommended below.

Stability & Storage

Store at -20C. Avoid freeze-thaw cycles.

Background: KIST

The gene encodes a serine/threonine protein kinase that promotes cell cycle progression through G1 by phosphorylation of the cyclin-dependent kinase inhibitor 1B (p27Kip1), which causes nuclear export and degradation. The encoded protein is also thought to function in the adult nervous system and the gene has been associated with schizophrenia. Alternative splicing results in multiple transcript variants. [provided by RefSeq].

Alternate Names

DKFZp434C1613, EC 2.7.11.1, FLJ23015, kinase interacting with leukemia-associated gene (stathmin), Kinase interacting with stathmin, KISKIS protein kinase, KIST, serine/threonine-protein kinase Kist, U2AF homology motif (UHM) kinase 1, U2AF homology motif kinase 1

Entrez Gene IDs

127933 (Human)

Gene Symbol

UHMK1

Additional KIST Products

Product Documents for KIST Antibody (OTI2H4)

Certificate of Analysis

To download a Certificate of Analysis, please enter a lot number in the search box below.

Product Specific Notices for KIST Antibody (OTI2H4)

This product is for research use only and is not approved for use in humans or in clinical diagnosis. Primary Antibodies are guaranteed for 1 year from date of receipt.

Loading...
Loading...
Loading...
Loading...
Loading...