KIR3DS1/CD158e2 Antibody - BSA Free
Novus Biologicals, part of Bio-Techne | Catalog # NBP3-03813
Key Product Details
Species Reactivity
Applications
Label
Antibody Source
Format
Concentration
Product Specifications
Immunogen
Clonality
Host
Isotype
Theoretical MW
Disclaimer note: The observed molecular weight of the protein may vary from the listed predicted molecular weight due to post translational modifications, post translation cleavages, relative charges, and other experimental factors.
Description
Scientific Data Images for KIR3DS1/CD158e2 Antibody - BSA Free
Western Blot: KIR3DS1/CD158e2 AntibodyBSA Free [NBP3-03813]
Western Blot: KIR3DS1/CD158e2 Antibody [NBP3-03813] - Analysis of extracts of various cell lines, using KIR3DS1/CD158e2 antibody at 1:1000 dilution. Secondary antibody: HRP Goat Anti-Rabbit IgG (H+L) at 1:10000 dilution. Lysates/proteins: 25ug per lane. Blocking buffer: 3% nonfat dry milk in TBST.Immunohistochemistry-Paraffin: KIR3DS1/CD158e2 Antibody - BSA Free [NBP3-03813]
Immunohistochemistry-Paraffin: KIR3DS1/CD158e2 Antibody [NBP3-03813] - Paraffin-embedded human mammary cancer using KIR3DS1/CD158e2 antibody at dilution of 1:100 (40x lens).Immunohistochemistry-Paraffin: KIR3DS1/CD158e2 Antibody - BSA Free [NBP3-03813]
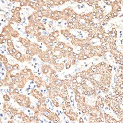
Immunohistochemistry-Paraffin: KIR3DS1/CD158e2 Antibody [NBP3-03813] - Paraffin-embedded human liver using KIR3DS1/CD158e2 antibody at dilution of 1:100 (40x lens).Applications for KIR3DS1/CD158e2 Antibody - BSA Free
Immunohistochemistry
Western Blot
Formulation, Preparation, and Storage
Purification
Formulation
Format
Preservative
Concentration
Shipping
Stability & Storage
Background: KIR3DS1/CD158e2
The KIR family is composed of at least 15 members expressed by natural killer (NK) cells and a subset of T cells in primates only. KIR proteins are named based on the number of extracellular Ig-like domains (KIR2D or KIR3D) and for whether the cytoplasmic domain is long (L), or short (S). Inhibitory KIR proteins possess long cytoplasmic tails with ITIM (inhibitory) domains, and several of these molecules bind HLA Class I molecules or target cells. Activating KIR proteins have short tails; their targets are less well-known. KIR2DL4 (CD158d) is unique in that it shows both inhibitory and activating characteristics.
Long Name
Alternate Names
Gene Symbol
Additional KIR3DS1/CD158e2 Products
Product Documents for KIR3DS1/CD158e2 Antibody - BSA Free
Product Specific Notices for KIR3DS1/CD158e2 Antibody - BSA Free
This product is for research use only and is not approved for use in humans or in clinical diagnosis. Primary Antibodies are guaranteed for 1 year from date of receipt.