Skip to main content

KIR3DL1 Antibody (2C3B6) - BSA Free

Novus Biologicals, part of Bio-Techne | Catalog # NBP2-61687

Novus Biologicals, part of Bio-Techne
Catalog #
Availability
Size / Price
Qty
Loading...
NBP2-61687
NBP2-61687-0.025ml

Key Product Details

Species Reactivity

Human

Applications

ELISA, Flow Cytometry, Immunohistochemistry, Immunohistochemistry-Paraffin, Western Blot

Label

Unconjugated

Antibody Source

Monoclonal Mouse IgG1 Clone # 2C3B6

Format

BSA Free

Concentration

1 mg/ml

Product Specifications

Immunogen

Purified recombinant fragment of human KIR3DL1 (AA: extra 206-340) expressed in E. Coli.

Clonality

Monoclonal

Host

Mouse

Isotype

IgG1

Theoretical MW

49 kDa.
Disclaimer note: The observed molecular weight of the protein may vary from the listed predicted molecular weight due to post translational modifications, post translation cleavages, relative charges, and other experimental factors.

Description

Novus Biologicals Mouse KIR3DL1 Antibody (2C3B6) - BSA Free (NBP2-61687) is a monoclonal antibody validated for use in IHC, WB, ELISA and Flow. All Novus Biologicals antibodies are covered by our 100% guarantee.

Scientific Data Images for KIR3DL1 Antibody (2C3B6) - BSA Free

Western Blot: KIR3DL1 Antibody (2C3B6)BSA Free [NBP2-61687]

Western Blot: KIR3DL1 Antibody (2C3B6)BSA Free [NBP2-61687]

Western Blot: KIR3DL1 Antibody (2C3B6) [NBP2-61687] - Analysis using CD158E1 mAb against human CD158E1 (AA: extra 206-340) recombinant protein. (Expected MW is 40.5 kDa)
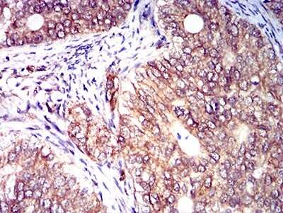
Immunohistochemistry: KIR3DL1 Antibody (2C3B6) - BSA Free [NBP2-61687]

Immunohistochemistry: KIR3DL1 Antibody (2C3B6) - BSA Free [NBP2-61687]

Immunohistochemistry: KIR3DL1 Antibody (2C3B6) [NBP2-61687] - Analysis of paraffin-embedded cervical cancer tissues using CD158E1 mouse mAb with DAB staining.
Flow Cytometry: KIR3DL1 Antibody (2C3B6) - BSA Free [NBP2-61687]

Flow Cytometry: KIR3DL1 Antibody (2C3B6) - BSA Free [NBP2-61687]

Flow Cytometry: KIR3DL1 Antibody (2C3B6) [NBP2-61687] - Analysis of HL-60 cells using CD158E1 mouse mAb (green) and negative control (red).

Applications for KIR3DL1 Antibody (2C3B6) - BSA Free

Application
Recommended Usage

ELISA

1:100-1:2000

Flow Cytometry

1:10-1:1000

Immunohistochemistry

1:10-1:1000

Immunohistochemistry-Paraffin

1:200 - 1:1000

Western Blot

1:100-1:2000

Formulation, Preparation, and Storage

Purification

Protein G purified

Formulation

PBS

Format

BSA Free

Preservative

0.05% Sodium Azide

Concentration

1 mg/ml

Shipping

The product is shipped with polar packs. Upon receipt, store it immediately at the temperature recommended below.

Stability & Storage

Store at 4C short term. Aliquot and store at -20C long term. Avoid freeze-thaw cycles.

Background: KIR3DL1

Killer cell immunoglobulin-like receptors (KIRs) are transmembrane glycoproteins expressed by natural killer cells and subsets of T cells. The KIR genes are polymorphic and highly homologous and they are found in a cluster on chromosome 19q13.4 within the 1 Mb leukocyte receptor complex (LRC). The gene content of the KIR gene cluster varies among haplotypes, although several "framework" genes are found in all haplotypes (KIR3DL3, KIR3DP1, KIR3DL4, KIR3DL2). The KIR proteins are classified by the number of extracellular immunoglobulin domains (2D or 3D) and by whether they have a long (L) or short (S) cytoplasmic domain. KIR proteins with the long cytoplasmic domain transduce inhibitory signals upon ligand binding via an immune tyrosine-based inhibitory motif (ITIM), while KIR proteins with the short cytoplasmic domain lack the ITIM motif and instead associate with the TYRO protein tyrosine kinase binding protein to transduce activating signals. The ligands for several KIR proteins are subsets of HLA class I molecules; thus, KIR proteins are thought to play an important role in regulation of the immune response.

Long Name

Killer Cell Immunoglobulin-like Receptor, Three Domain Long Cytoplasmic Tail, 1

Alternate Names

CD158e1, Nkat3, NKB1

Gene Symbol

KIR3DL1

Additional KIR3DL1 Products

Product Documents for KIR3DL1 Antibody (2C3B6) - BSA Free

Certificate of Analysis

To download a Certificate of Analysis, please enter a lot number in the search box below.

Product Specific Notices for KIR3DL1 Antibody (2C3B6) - BSA Free

This product is for research use only and is not approved for use in humans or in clinical diagnosis. Primary Antibodies are guaranteed for 1 year from date of receipt.

Loading...
Loading...
Loading...
Loading...
Loading...