Skip to main content

KIR2DS2 Antibody - BSA Free

Novus Biologicals, part of Bio-Techne | Catalog # NBP3-41425

Novus Biologicals, part of Bio-Techne
Catalog #
Availability
Size / Price
Qty
Loading...
NBP3-41425

Key Product Details

Species Reactivity

Human

Applications

Immunohistochemistry, Immunohistochemistry-Paraffin, Western Blot

Label

Unconjugated

Antibody Source

Polyclonal Rabbit

Format

BSA Free

Concentration

0.5 mg/ml

Product Specifications

Immunogen

Immunized with recombinant Human KIR2DS2 (Uniprot#: P43631; His22-Ala304 (Uniprot#: P43631)

Clonality

Polyclonal

Host

Rabbit

Description

Novus Biologicals Rabbit KIR2DS2 Antibody - BSA Free (NBP3-41425) is a polyclonal antibody validated for use in IHC and WB. All Novus Biologicals antibodies are covered by our 100% guarantee.

Scientific Data Images for KIR2DS2 Antibody - BSA Free

KIR2DS2 Antibody

Western Blot: KIR2DS2 Antibody [NBP3-41425] -

Western Blot: KIR2DS2 Antibody [NBP3-41425] - Sample: Recombinant protein.
KIR2DS2 Antibody

Immunohistochemistry-Paraffin: KIR2DS2 Antibody [NBP3-41425] -

Immunohistochemistry-Paraffin: KIR2DS2 Antibody [NBP3-41425] - DAB staining on IHC-P; Samples: Human Kidney Tissue; Primary Ab: 10ug/ml NBP3-41425; Second Ab: 2ug/mL HRP-Linked Caprine Anti-Rabbit IgG Polyclonal Antibody
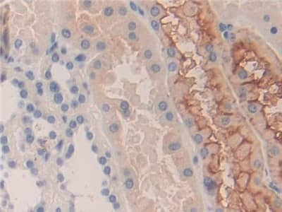
KIR2DS2 Antibody

Immunohistochemistry-Paraffin: KIR2DS2 Antibody [NBP3-41425] -

Immunohistochemistry-Paraffin: KIR2DS2 Antibody [NBP3-41425] - DAB staining on fromalin fixed paraffin-embedded kidney tissue

Applications for KIR2DS2 Antibody - BSA Free

Application
Recommended Usage

Immunohistochemistry

5-20ug/mL

Immunohistochemistry-Paraffin

5-20ug/mL

Western Blot

0.2-2ug/mL

Formulation, Preparation, and Storage

Purification

Antigen and protein A Affinity-purified

Formulation

PBS, pH7.4, 50% glycerol

Format

BSA Free

Preservative

0.02% Sodium Azide

Concentration

0.5 mg/ml

Shipping

The product is shipped with polar packs. Upon receipt, store it immediately at the temperature recommended below.

Stability & Storage

Store at 4C short term. Aliquot and store at -20C long term. Avoid freeze-thaw cycles.

Background: KIR2DS2

The KIR2DS2 gene encodes a 304 amino acid long, 33 kDA killer cell immunoglobulin-like receptor 2DS2. This receptor is for HLA-C alleles but it does not prevent any activity of NK cells. The KIR2DS2 gene participates in DAP12 interactions, the innate immune system as well as the adaptive immune system, as well as immunoregulatory interactions between a lymphoid and a non-lymphoid cell. It is known to interact with genes HLA-C and TYROBP. The KIR2DS2 gene is linked to ulcerative colitis, spondylitis, anterior uveitis, diabetes, hodgkin's lymphoma, lupus, psoriatic arthritis, birdshot chorioretinopathy, and vigt-kooyanagi-harada disease.

Long Name

Killer Cell Immunoglobulin-Like Receptor, Two Domains, Short Cytoplasmic Tail, 2

Alternate Names

183ActI, CD158b, CD158j, Cl-49, NKAT5, p58 NK Receptor CL-49

Gene Symbol

KIR2DS2

Additional KIR2DS2 Products

Product Documents for KIR2DS2 Antibody - BSA Free

Certificate of Analysis

To download a Certificate of Analysis, please enter a lot number in the search box below.

Product Specific Notices for KIR2DS2 Antibody - BSA Free

This product is for research use only and is not approved for use in humans or in clinical diagnosis. Primary Antibodies are guaranteed for 1 year from date of receipt.

Loading...
Loading...
Loading...
Loading...