Skip to main content

KIFC3 Antibody - BSA Free

Novus Biologicals, part of Bio-Techne | Catalog # NBP2-17058

Novus Biologicals, part of Bio-Techne
Catalog #
Availability
Size / Price
Qty
Loading...
NBP2-17058

Key Product Details

Species Reactivity

Human

Applications

Immunohistochemistry, Immunohistochemistry-Paraffin, Western Blot, Immunocytochemistry/ Immunofluorescence

Label

Unconjugated

Antibody Source

Polyclonal Rabbit IgG

Format

BSA Free

Concentration

Concentrations vary lot to lot. See vial label for concentration. If unlisted please contact technical services.

Product Specifications

Immunogen

Recombinant protein encompassing a sequence within the N-terminus region of human KIFC3. The exact sequence is proprietary.

Clonality

Polyclonal

Host

Rabbit

Isotype

IgG

Theoretical MW

93 kDa.
Disclaimer note: The observed molecular weight of the protein may vary from the listed predicted molecular weight due to post translational modifications, post translation cleavages, relative charges, and other experimental factors.

Description

Novus Biologicals Rabbit KIFC3 Antibody - BSA Free (NBP2-17058) is a polyclonal antibody validated for use in IHC, WB and ICC/IF. All Novus Biologicals antibodies are covered by our 100% guarantee.

Scientific Data Images for KIFC3 Antibody - BSA Free

Western Blot: KIFC3 Antibody [NBP2-17058]

Western Blot: KIFC3 Antibody [NBP2-17058]

Western Blot: KIFC3 Antibody [NBP2-17058] - Sample (30 ug of whole cell lysate) A: Hela 7. 5% SDS PAGE gel, diluted at 1:1000.
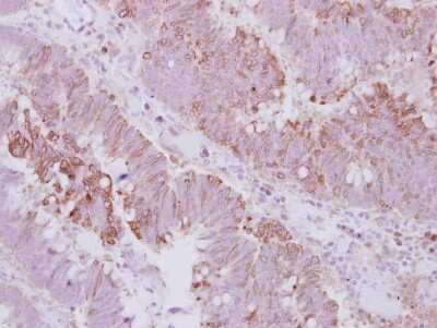
Immunohistochemistry-Paraffin: KIFC3 Antibody [NBP2-17058]

Immunohistochemistry-Paraffin: KIFC3 Antibody [NBP2-17058]

Immunohistochemistry-Paraffin: KIFC3 Antibody [NBP2-17058] - Immunohistochemical analysis of paraffin-embedded Colon ca, using antibody at 1:500 dilution.

Applications for KIFC3 Antibody - BSA Free

Application
Recommended Usage

Immunocytochemistry/ Immunofluorescence

1:100-1:1000

Immunohistochemistry

1:100-1:1000

Immunohistochemistry-Paraffin

1:100-1:1000

Western Blot

1:500-1:3000

Reviewed Applications

Read 1 review rated 3 using NBP2-17058 in the following applications:

Formulation, Preparation, and Storage

Purification

Antigen Affinity-purified

Formulation

0.1M Tris, 0.1M Glycine, 20% Glycerol

Format

BSA Free

Preservative

0.01% Thimerosal

Concentration

Concentrations vary lot to lot. See vial label for concentration. If unlisted please contact technical services.

Shipping

The product is shipped with polar packs. Upon receipt, store it immediately at the temperature recommended below.

Stability & Storage

Aliquot and store at -20C or -80C. Avoid freeze-thaw cycles.

Background: KIFC3

KIFC3 belongs to the large superfamily of kinesins, molecular motors that use the energy of ATP hydrolysis to translocate cargoes along microtubules. Members share extensive homology within a globular domain containing the microtubule- and ATP-binding sites and have a coiled-coil stalk domain that mediates oligomerization. Different kinesin family members participate in specific and diverse motile processes, such as cell division, organelle transport, and nuclear movement (Hoang et al., 1998 [PubMed 9782090]).[supplied by OMIM]

Alternate Names

DKFZp686D23201, FLJ34694, kinesin family member C3, kinesin-like protein KIFC3

Gene Symbol

KIFC3

UniProt

Additional KIFC3 Products

Product Documents for KIFC3 Antibody - BSA Free

Certificate of Analysis

To download a Certificate of Analysis, please enter a lot number in the search box below.

Product Specific Notices for KIFC3 Antibody - BSA Free

This product is for research use only and is not approved for use in humans or in clinical diagnosis. Primary Antibodies are guaranteed for 1 year from date of receipt.

Loading...
Loading...
Loading...
Loading...

⚠ WARNING: This product can expose you to chemicals including mercury, which is known to the State of California to cause reproductive toxicity with developmental effects.  For more information go to www.P65Warnings.ca.gov.