Skip to main content

KIAA1958 Antibody - BSA Free

Novus Biologicals, part of Bio-Techne | Catalog # NBP3-20225

Novus Biologicals, part of Bio-Techne

Key Product Details

Species Reactivity

Human

Applications

Immunohistochemistry, Immunohistochemistry-Paraffin, Western Blot

Label

Unconjugated

Antibody Source

Polyclonal Rabbit IgG

Format

BSA Free

Concentration

Please see the vial label for concentration. If unlisted please contact technical services.

Product Specifications

Immunogen

Produced in rabbits immunized with E. coli-derived Human KIAA1958 fragment

Clonality

Polyclonal

Host

Rabbit

Isotype

IgG

Description

This antibody can be stored at 2-8C for one month without detectable loss of activity. Antibody products are stable for twelve months from date of receipt when stored at -20C to -80C.

Scientific Data Images for KIAA1958 Antibody - BSA Free

KIAA1958 Antibody

Western Blot-NBP3-20225-KIAA1958 Antibody-

Western Blot-NBP3-20225-KIAA1958 Antibody-Lane A: HeLa Whole Cell LysateLane B: U-251 MG Whole Cell LysateLysates/proteins at 30 ug per lane.SecondaryGoat Anti-Rabbit IgG (H+L)/HRP at 1/10000 dilution.Developed using the ECL technique.Performed under reducing conditions.Predicted band size:79 kDa
KIAA1958 Antibody - BSA Free

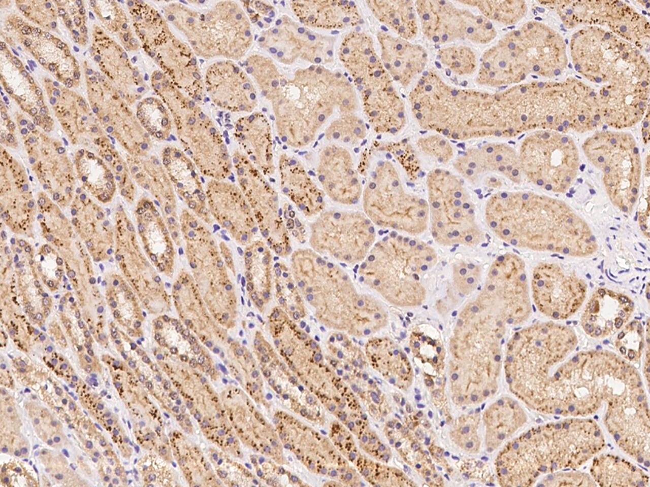
Immunohistochemistry-Paraffin: KIAA1958 Antibody - BSA Free [NBP3-20225] -

Immunohistochemistry-Paraffin: KIAA1958 Antibody - BSA Free [NBP3-20225] - Immunochemical staining of human KIAA1958 in human kidney with NBP3-20225 at 1:100 dilution, formalin-fixed paraffin embedded sections.

Applications for KIAA1958 Antibody - BSA Free

Application
Recommended Usage

Immunohistochemistry-Paraffin

1:50-1:200

Western Blot

1:500-1:2000

Formulation, Preparation, and Storage

Purification

Antigen and protein A Affinity-purified

Formulation

PBS

Format

BSA Free

Preservative

0.03% Proclin 300

Concentration

Please see the vial label for concentration. If unlisted please contact technical services.

Shipping

The product is shipped with polar packs. Upon receipt, store it immediately at the temperature recommended below.

Stability & Storage

Store at 4C short term. Aliquot and store at -20C long term. Avoid freeze-thaw cycles.

Background: KIAA1958

Alternate Names

FLJ39294, hypothetical protein LOC158405, KIAA1958, MGC142075

Gene Symbol

KIAA1958

Additional KIAA1958 Products

Product Documents for KIAA1958 Antibody - BSA Free

Certificate of Analysis

To download a Certificate of Analysis, please enter a lot number in the search box below.

Product Specific Notices for KIAA1958 Antibody - BSA Free

This product is for research use only and is not approved for use in humans or in clinical diagnosis. Primary Antibodies are guaranteed for 1 year from date of receipt.

Loading...
Loading...
Loading...
Loading...