Skip to main content

KIAA1109/FSA Antibody - BSA Free

Novus Biologicals, part of Bio-Techne | Catalog # NBP1-82145

Novus Biologicals, part of Bio-Techne
Catalog #
Availability
Size / Price
Qty
Loading...
NBP1-82145-25ul
NBP1-82145

Key Product Details

Species Reactivity

Validated:

Human

Predicted:

Mouse (99%), Rat (96%). Backed by our 100% Guarantee.

Applications

Immunohistochemistry, Immunohistochemistry-Paraffin, Immunocytochemistry/ Immunofluorescence

Label

Unconjugated

Antibody Source

Polyclonal Rabbit IgG

Format

BSA Free

Concentration

Concentrations vary lot to lot. See vial label for concentration. If unlisted please contact technical services.

Product Specifications

Immunogen

This antibody was developed against Recombinant Protein corresponding to amino acids: VASVKEWFNYVTATRNEELNLLRNVDANNTENSTTVKNSSLLSGFRGGSSYNHETETIFALPRMQLDFKSIHVQEPQEPSLQDAS

Clonality

Polyclonal

Host

Rabbit

Isotype

IgG

Description

Novus Biologicals Rabbit KIAA1109/FSA Antibody - BSA Free (NBP1-82145) is a polyclonal antibody validated for use in IHC and ICC/IF. Anti-KIAA1109/FSA Antibody: Cited in 1 publication. All Novus Biologicals antibodies are covered by our 100% guarantee.

Scientific Data Images for KIAA1109/FSA Antibody - BSA Free

Immunocytochemistry/ Immunofluorescence: KIAA1109/FSA Antibody [NBP1-82145]

Immunocytochemistry/ Immunofluorescence: KIAA1109/FSA Antibody [NBP1-82145]

Immunocytochemistry/Immunofluorescence: KIAA1109/FSA Antibody [NBP1-82145] - Staining of human cell line A-431 shows localization to nucleoplasm & centrosome. Antibody staining is shown in green.
Immunohistochemistry-Paraffin: KIAA1109/FSA Antibody [NBP1-82145]

Immunohistochemistry-Paraffin: KIAA1109/FSA Antibody [NBP1-82145]

Immunohistochemistry-Paraffin: KIAA1109/FSA Antibody [NBP1-82145] - Staining of human prostate shows weak cytoplasmic positivity in smooth muscle cells.
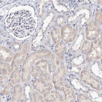
Immunohistochemistry-Paraffin: KIAA1109/FSA Antibody [NBP1-82145]

Immunohistochemistry-Paraffin: KIAA1109/FSA Antibody [NBP1-82145]

Immunohistochemistry-Paraffin: KIAA1109/FSA Antibody [NBP1-82145] - Staining of human kidney shows very weak cytoplasmic positivity in cells in tubules.

Applications for KIAA1109/FSA Antibody - BSA Free

Application
Recommended Usage

Immunocytochemistry/ Immunofluorescence

0.25-2 ug/ml

Immunohistochemistry

1:200 - 1:500

Immunohistochemistry-Paraffin

1:200 - 1:500
Application Notes
For IHC-Paraffin, HIER pH 6 retrieval is recommended. ICC/IF Fixation Permeabilization: Use PFA/Triton X-100.

Formulation, Preparation, and Storage

Purification

Affinity purified

Formulation

PBS (pH 7.2) and 40% Glycerol

Format

BSA Free

Preservative

0.02% Sodium Azide

Concentration

Concentrations vary lot to lot. See vial label for concentration. If unlisted please contact technical services.

Shipping

The product is shipped with polar packs. Upon receipt, store it immediately at the temperature recommended below.

Stability & Storage

Store at 4C short term. Aliquot and store at -20C long term. Avoid freeze-thaw cycles.

Background: KIAA1109/FSA

The KIAA1109 gene is located on the long arm of chromosome 4 in a region that is associated with susceptibility to celiacdisease. The encoded protein is similar to a Chinese hamster protein that is associated with spermatocyte andadipocyte differentiation. The C-

Alternate Names

FLJ21404, Fragile site-associated protein, FSADKFZp781P0474, KIAA1109, KIAA1371, MGC110967

Gene Symbol

KIAA1109

Additional KIAA1109/FSA Products

Product Documents for KIAA1109/FSA Antibody - BSA Free

Certificate of Analysis

To download a Certificate of Analysis, please enter a lot number in the search box below.

Product Specific Notices for KIAA1109/FSA Antibody - BSA Free

This product is for research use only and is not approved for use in humans or in clinical diagnosis. Primary Antibodies are guaranteed for 1 year from date of receipt.

Loading...
Loading...
Loading...
Loading...