Skip to main content

Ki67/MKI67 Antibody - BSA Free

Novus Biologicals, part of Bio-Techne | Catalog # NB500-170

Novus Biologicals, part of Bio-Techne

Key Product Details

Validated by

Knockout/Knockdown

Species Reactivity

Validated:

Human, Mouse, Rat, Porcine, Avian

Cited:

Human, Mouse, Rat, Porcine, Avian

Applications

Validated:

Knockout Validated, Immunohistochemistry, Immunohistochemistry-Paraffin, Immunohistochemistry-Frozen, Western Blot, Immunoblotting, Flow Cytometry, Immunocytochemistry/ Immunofluorescence, Immunoprecipitation

Cited:

Immunohistochemistry, Immunohistochemistry-Paraffin, Immunohistochemistry-Frozen, Immunohistochemistry Whole-Mount, Western Blot, Flow Cytometry, Immunocytochemistry/ Immunofluorescence, IF/IHC

Label

Unconjugated

Antibody Source

Polyclonal Rabbit IgG

Format

BSA Free

Concentration

1.0 mg/ml

Product Specifications

Immunogen

The immunogen for this KI67/MKI67 Antibody was made using a synthetic peptide from the internal region of Human KI67/MKI67, between amino acids: 1550-1600 .

Reactivity Notes

Use in Avian reported in scientific literature (PMID:34986451) Ki67/MKI67 Antibody reacted with Mouse (PMID: 22033079), Rat (PMID: 22521325), and Porcine (PMID: 29146772). .

Localization

Nuclear

Marker

Proliferation Marker

Clonality

Polyclonal

Host

Rabbit

Isotype

IgG

Theoretical MW

359 kDa.
Disclaimer note: The observed molecular weight of the protein may vary from the listed predicted molecular weight due to post translational modifications, post translation cleavages, relative charges, and other experimental factors.

Description

Novus Biologicals Knockout (KO) Validated Rabbit Ki67/MKI67 Antibody - BSA Free (NB500-170) is a polyclonal antibody validated for use in IHC, WB, Flow, ICC/IF and IP. Anti-Ki67/MKI67 Antibody: Cited in 185 publications. All Novus Biologicals antibodies are covered by our 100% guarantee.

Scientific Data Images for Ki67/MKI67 Antibody - BSA Free

Immunocytochemistry/ Immunofluorescence: Ki67/MKI67 Antibody - BSA Free [NB500-170]

Immunocytochemistry/ Immunofluorescence: Ki67/MKI67 Antibody - BSA Free [NB500-170]

Immunocytochemistry/Immunofluorescence: Ki67/MKI67 Antibody [NB500-170] - HeLa cells were fixed in 4% paraformaldehyde for 10 minutes and permeabilized in 0.5% Triton X-100 in PBS for 5 minutes. The cells were incubated with anti- NB500-170 at 2 ug/ml overnight at 4C and detected with an anti-rabbit Dylight 488 (Green) at a 1:1000 dilution for 60 minutes. Alpha tubulin (DM1A) NB100-690 was used as a co-stain at a 1:1000 dilution and detected with an anti-mouse Dylight 550 (Red) at a 1:1000 dilution. Nuclei were counterstained with DAPI (Blue). Cells were imaged using a 100X objective and digitally deconvolved.
Knockout Validated: Ki67/MKI67 Antibody - BSA Free [NB500-170]

Simple Western: Ki67/MKI67 Antibody - BSA Free [NB500-170]

Simple Western: Ki67/MKI67 Antibody [NB500-170] - Detection of Ki67/MKI67 by Simple WesternTM. Simple Western lane view shows lysates of HeLa parental cell line and Ki67 knockout (KO) HeLa cell line. A specific band was detected for Ki67/MKI67 at approximately 320 kDa (as indicated) in the parental cell line, but is not detectable in the knockout HeLa cell line using 20 ug/mL of Rabbit Anti-Ki67/MKI67 Polyclonal Antibody (Catalog # NB500-170). GAPDH is shown as a loading control. This experiment was conducted under reducing conditions and using the 12-230 kDa separation system.
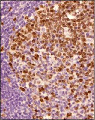
Immunohistochemistry: Ki67/MKI67 Antibody - BSA Free [NB500-170]

Immunohistochemistry: Ki67/MKI67 Antibody - BSA Free [NB500-170]

Ki67-MKI67-Antibody-Immunocytochemistry-Immunofluorescence-NB500-170-img0022.jpg

Applications for Ki67/MKI67 Antibody - BSA Free

Application
Recommended Usage

Flow Cytometry

reported in scientific literature (PMID 34946963)

Immunoblotting

reported in scientific literature (PMID 24248265)

Immunocytochemistry/ Immunofluorescence

1:20-1:100

Immunohistochemistry

1:50-1:300

Immunohistochemistry-Frozen

1:50-1:300. Use reported in scientific literature (PMID 22493503)

Immunohistochemistry-Paraffin

1:50-1:300

Immunoprecipitation

reported by customer review

Western Blot

1-2 ug/ml
Application Notes
Formalin fixed paraffin embedded tissue sections require high temperature antigen unmasking with 10 mM citrate buffer (pH 6.0) prior to immunostaining. This antibody will not work without optimal antigen retrieval, and is a critical step. NOTE: We suggest an incubation period of 30 minutes at room temperature and to use DAB to stain the protein.

Reviewed Applications

Read 10 reviews rated 4.3 using NB500-170 in the following applications:

Formulation, Preparation, and Storage

Purification

Immunogen affinity purified

Formulation

PBS

Format

BSA Free

Preservative

0.05% Sodium Azide

Concentration

1.0 mg/ml

Shipping

The product is shipped with polar packs. Upon receipt, store it immediately at the temperature recommended below.

Stability & Storage

Store at 4C short term. Aliquot and store at -20C long term. Avoid freeze-thaw cycles.

Background: Ki67/MKI67

Ki67 is a nuclear protein associated with proliferation, named after its discovery in a Hodgkin's lymphoma-derived cell line by Scholzer and Gerdes at Kiel University, Germany (1). This proliferation marker is expressed during active phases of the cell cycle (late G1, S, G2 and M), whereas the protein remains undetectable in the G0 phase. Ki67 has two main isoforms with theoretical molecular weights of 319 kDa and 359 kDa. Its abundance is tightly regulated by synthesis and degradation with an estimated half-life of 60-90 min, regardless of its position in the cell cycle. Ki67 has been shown to be involved in ribosomal biogenesis, heterochromatin maintenance, and mitotic chromosome separation (2).

Detection of Ki67 by immunostaining is commonly used as a proliferation marker in solid tumors, as well as certain hematological malignancies (3-5). The Ki67 index, which reports on positive Ki67 stained tumor cell nuclei, has been extensively studied as a prognostic biomarker in cancers such as breast cancer and cervical cancer.

References

1. Gerdes J, Schwab U, Lemke H, Stein H. (1983) Production of a mouse monoclonal antibody reactive with a human nuclear antigen associated with cell proliferation. Int J Cancer. 31:13-20. PMID: 6339421

2. Starborg M, Gell K, Brundell E and Hoog C. (1996) The murine Ki-67 cell proliferation antigen accumulates in the nucleolar and heterochromatic regions of interphase cells and at the periphery of the mitotic chromosomes in a process essential for cell cycle progression. J Cell Sci. 109:143-153. 1996

3. Karamitopoulou E, Perentes E, Tolnay M, Probst A. (1998) Prognostic significance of MIB-1, p53, and bcl-2 immunoreactivity in meningiomas. Hum Pathol. 29(2):140-5. PMID: 9490273

4. Geyer FC, Rodrigues DN, Weigelt B and Reis-Filho JS. (2012) Molecular classification of estrogen receptor-positive/luminal breast cancers. Adv Anat Pathol. 19(1):39-53. PMID: 22156833

5. Ikenberg H, Bergeron C, Schmidt D, Griesser H, Alameda F, Angeloni C, Bogers J, Dachez R, Denton K, Hariri J, Keller T, von Knebel Doeberitz M, Neumann HH, Puig-Tintore LM, Sideri M, Rehm S, Ridder R; PALMS Study Group. (2013) Screening for cervical cancer precursors with p16/Ki-67 dual-stained cytology: results of the PALMS study. J Natl Cancer Inst. 105(20):1550-7. PMID: 24096620

Long Name

Antigen Identified by Monoclonal Antibody Ki67

Alternate Names

Ki-67, KIA, MIB-1, MKI67, PPP1R105, TSG126, antiKi67, Ki67 ihc, Ki-67 ihc, Ki67 mouse, Ki-67 mouse, Ki67 western blot, Ki-67 western blot

Entrez Gene IDs

4288 (Human); 17345 (Mouse); 291234 (Rat)

Gene Symbol

MKI67

Additional Ki67/MKI67 Products

Product Documents for Ki67/MKI67 Antibody - BSA Free

Certificate of Analysis

To download a Certificate of Analysis, please enter a lot number in the search box below.

Product Specific Notices for Ki67/MKI67 Antibody - BSA Free

This product is for research use only and is not approved for use in humans or in clinical diagnosis. Primary Antibodies are guaranteed for 1 year from date of receipt.

Loading...
Loading...
Loading...
Loading...
Loading...
Loading...