Skip to main content

KHSRP Antibody - BSA Free

Novus Biologicals, part of Bio-Techne | Catalog # NBP1-84719

Novus Biologicals, part of Bio-Techne
Catalog #
Availability
Size / Price
Qty
Loading...
NBP1-84719
NBP1-84719-25ul

Key Product Details

Species Reactivity

Human, Mouse, Rat

Applications

Immunohistochemistry, Immunohistochemistry-Paraffin, Western Blot, Immunocytochemistry/ Immunofluorescence

Label

Unconjugated

Antibody Source

Polyclonal Rabbit IgG

Format

BSA Free

Concentration

Concentrations vary lot to lot. See vial label for concentration. If unlisted please contact technical services.

Product Specifications

Immunogen

This antibody was developed against Recombinant Protein corresponding to amino acids: PERSVSLTGAPESVQKAKMMLDDIVSRGRGGPPGQFHDNANGGQNGTVQEI

Clonality

Polyclonal

Host

Rabbit

Isotype

IgG

Description

Novus Biologicals Rabbit KHSRP Antibody - BSA Free (NBP1-84719) is a polyclonal antibody validated for use in IHC, WB and ICC/IF. All Novus Biologicals antibodies are covered by our 100% guarantee.

Scientific Data Images for KHSRP Antibody - BSA Free

Immunocytochemistry/ Immunofluorescence: KHSRP Antibody [NBP1-84719]

Immunocytochemistry/ Immunofluorescence: KHSRP Antibody [NBP1-84719]

Immunocytochemistry/Immunofluorescence: KHSRP Antibody [NBP1-84719] - Staining of human cell line U-2 OS shows localization to nucleoplasm. Antibody staining is shown in green.
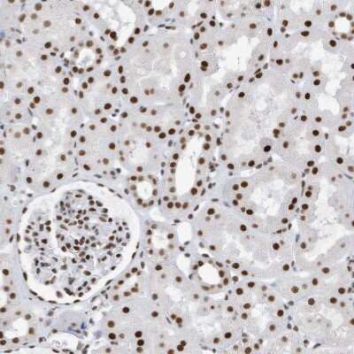
Immunohistochemistry-Paraffin: KHSRP Antibody [NBP1-84719]

Immunohistochemistry-Paraffin: KHSRP Antibody [NBP1-84719]

Immunohistochemistry-Paraffin: KHSRP Antibody [NBP1-84719] - Staining of human kidney shows strong nuclear positivity in cells in tubules and cells in glomeruli.
Immunohistochemistry-Paraffin: KHSRP Antibody [NBP1-84719]

Immunohistochemistry-Paraffin: KHSRP Antibody [NBP1-84719]

Immunohistochemistry-Paraffin: KHSRP Antibody [NBP1-84719] - Staining of human cerebral cortex shows strong nuclear positivity in neuronal cells.

Applications for KHSRP Antibody - BSA Free

Application
Recommended Usage

Immunocytochemistry/ Immunofluorescence

0.25-2 ug/ml

Immunohistochemistry

1:50 - 1:200

Immunohistochemistry-Paraffin

1:50-1:200

Western Blot

0.04-0.4 ug/ml
Application Notes
For IHC-Paraffin, HIER pH 6 retrieval is recommended. ICC/IF,Fixation Permeabilization: Use PFA/Triton X-100.

Formulation, Preparation, and Storage

Purification

Affinity purified

Formulation

PBS (pH 7.2) and 40% Glycerol

Format

BSA Free

Preservative

0.02% Sodium Azide

Concentration

Concentrations vary lot to lot. See vial label for concentration. If unlisted please contact technical services.

Shipping

The product is shipped with polar packs. Upon receipt, store it immediately at the temperature recommended below.

Stability & Storage

Store at 4C short term. Aliquot and store at -20C long term. Avoid freeze-thaw cycles.

Background: KHSRP

KH-type splicing regulatory protein (KSRP) contains four K homology RNA-binding domains. KH domains are found in a wide variety of proteins including ribosomal proteins, transcription factors, and mRNA processing proteins. KSRP has been found to promote the degradation of mRNAs that encode proteins involved in proliferation and the inflammatory response. Alternative names for KSRP include Far upstream element-binding protein 2, FUSE-binding protein 2, p75 and FUBP2.

Alternate Names

FBP2far upstream element-binding protein 2, FUBP2p75, FUSE binding protein 2, FUSE-binding protein 2, KH type-splicing regulatory protein, KH-type splicing regulatory protein, KSRPMGC99676

Entrez Gene IDs

8570 (Human)

Gene Symbol

KHSRP

UniProt

Additional KHSRP Products

Product Documents for KHSRP Antibody - BSA Free

Certificate of Analysis

To download a Certificate of Analysis, please enter a lot number in the search box below.

Product Specific Notices for KHSRP Antibody - BSA Free

This product is for research use only and is not approved for use in humans or in clinical diagnosis. Primary Antibodies are guaranteed for 1 year from date of receipt.

Loading...
Loading...
Loading...
Loading...