Skip to main content

KHSRP Antibody

Novus Biologicals, part of Bio-Techne | Catalog # NBP1-18910

Novus Biologicals, part of Bio-Techne
Catalog #
Availability
Size / Price
Qty
Loading...
NBP1-18910

Key Product Details

Validated by

Independent Antibodies, Biological Validation

Species Reactivity

Validated:

Human, Mouse, Rat

Cited:

Human, Mouse, Rat

Applications

Validated:

Immunohistochemistry, Immunohistochemistry-Paraffin, Immunohistochemistry-Frozen, Western Blot, Immunocytochemistry/ Immunofluorescence, Simple Western, Immunoprecipitation

Cited:

Immunohistochemistry-Paraffin, Western Blot, Immunocytochemistry/ Immunofluorescence, Immunoprecipitation

Label

Unconjugated

Antibody Source

Polyclonal Rabbit IgG

Concentration

0.2 mg/ml

Product Specifications

Immunogen

The immunogen recognized by this antibody maps to a region between residue 100 and 150 of human KH-type splicing regulatory protein using the numbering given in entry Q92945.3 (GeneID 8570).

Reactivity Notes

Rat reactivity reported in scientific literature (PMID: 25907681).

Clonality

Polyclonal

Host

Rabbit

Isotype

IgG

Scientific Data Images for KHSRP Antibody

Simple Western: KHSRP Antibody [NBP1-18910]

Simple Western: KHSRP Antibody [NBP1-18910]

Simple Western: KHSRP Antibody [NBP1-18910] - Simple Western lane view shows a specific band for KHSRP in 0.5 mg/ml of HeLa lysate. This experiment was performed under reducing conditions using the 12-230 kDa separation system.
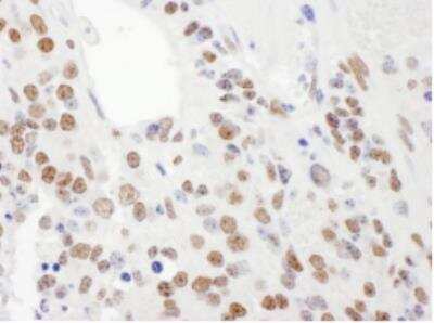
Immunohistochemistry: KHSRP Antibody [NBP1-18910]

Immunohistochemistry: KHSRP Antibody [NBP1-18910]

KHSRP-Antibody-Immunocytochemistry-Immunofluorescence-NBP1-18910-img0009.jpg
Western Blot: KHSRP Antibody [NBP1-18910]

Western Blot: KHSRP Antibody [NBP1-18910]

Western Blot: KHSRP Antibody [NBP1-18910] - Whole cell lysate from HeLa, 293T and mouse NIH3T3 cells. KSRP was also immunoprecipitated by rabbit anti-KSRP antibody NBP1-18911.

Applications for KHSRP Antibody

Application
Recommended Usage

Immunocytochemistry/ Immunofluorescence

Reactivity reported in (PMID: 25907681)

Immunohistochemistry

1:200-1:1000

Immunohistochemistry-Frozen

Reactivity reported form a verified customer review

Immunohistochemistry-Paraffin

1:200-1:1000

Immunoprecipitation

2-10 ug/mg lysate

Simple Western

1:40

Western Blot

1:2000-1:10000
Application Notes
In Simple Western only 10 - 15 uL of the recommended dilution is used per data point.
See Simple Western Antibody Database for Simple Western validation: Tested in HeLa lysate 0.5 mg/mL, separated by Size, antibody dilution of 1:40, apparent MW was 114 kDa.

Reviewed Applications

Read 1 review rated 5 using NBP1-18910 in the following applications:

Formulation, Preparation, and Storage

Purification

Immunogen affinity purified

Formulation

TBS and 0.1% BSA

Preservative

0.09% Sodium Azide

Concentration

0.2 mg/ml

Shipping

The product is shipped with polar packs. Upon receipt, store it immediately at the temperature recommended below.

Stability & Storage

Store at 4C. Do not freeze.

Background: KHSRP

KH-type splicing regulatory protein (KSRP) contains four K homology RNA-binding domains. KH domains are found in a wide variety of proteins including ribosomal proteins, transcription factors, and mRNA processing proteins. KSRP has been found to promote the degradation of mRNAs that encode proteins involved in proliferation and the inflammatory response. Alternative names for KSRP include Far upstream element-binding protein 2, FUSE-binding protein 2, p75 and FUBP2.

Alternate Names

FBP2far upstream element-binding protein 2, FUBP2p75, FUSE binding protein 2, FUSE-binding protein 2, KH type-splicing regulatory protein, KH-type splicing regulatory protein, KSRPMGC99676

Entrez Gene IDs

8570 (Human); 16549 (Mouse)

Gene Symbol

KHSRP

Additional KHSRP Products

Product Documents for KHSRP Antibody

Certificate of Analysis

To download a Certificate of Analysis, please enter a lot number in the search box below.

Product Specific Notices for KHSRP Antibody

This product is for research use only and is not approved for use in humans or in clinical diagnosis. Primary Antibodies are guaranteed for 1 year from date of receipt.

Loading...
Loading...
Loading...
Loading...