Skip to main content

KCTD9 Antibody (JE64-67)

Novus Biologicals, part of Bio-Techne | Catalog # NBP3-32489

Recombinant Monoclonal Antibody
Novus Biologicals, part of Bio-Techne
Catalog #
Availability
Size / Price
Qty
Loading...
NBP3-32489

Key Product Details

Species Reactivity

Human

Applications

Immunohistochemistry, Immunohistochemistry-Paraffin, Western Blot, Immunocytochemistry/ Immunofluorescence

Label

Unconjugated

Antibody Source

Recombinant Monoclonal Rabbit IgG Clone # JE64-67 expressed in HEK293

Concentration

1 mg/ml

Product Specifications

Immunogen

Synthetic peptide within human KCTD9 aa 51-100/389. (Uniprot: Q7L273)

Localization

Nucleoplasm, Intermediate filaments and Cytosol.

Clonality

Monoclonal

Host

Rabbit

Isotype

IgG

Theoretical MW

43 kDa.
Disclaimer note: The observed molecular weight of the protein may vary from the listed predicted molecular weight due to post translational modifications, post translation cleavages, relative charges, and other experimental factors.

Description

Novus Biologicals Rabbit KCTD9 Antibody (JE64-67) (NBP3-32489) is a recombinant monoclonal antibody validated for use in IHC, WB and ICC/IF. All Novus Biologicals antibodies are covered by our 100% guarantee.

Scientific Data Images for KCTD9 Antibody (JE64-67)

KCTD9 Antibody (JE64-67)

Western Blot: KCTD9 Antibody (JE64-67) [NBP3-32489]

Western Blot: KCTD9 Antibody (JE64-67) [NBP3-32489] - Western blot analysis of KCTD9 on different lysates with Rabbit anti-KCTD9 antibody (NBP3-32489) at 1/500 dilution.

Lane 1: MCF-7 cell lysate
Lane 2: HepG2 cell lysate
Lane 3: SiHa cell lysate

Lysates/proteins at 10 ug/Lane.

Predicted band size: 43 kDa
Observed band size: 43 kDa

Exposure time: 30 seconds;

12% SDS-PAGE gel.

Proteins were transferred to a PVDF membrane and blocked with 5% NFDM/TBST for 1 hour at room temperature. The primary antibody (NBP3-32489) at 1/500 dilution was used in 5% NFDM/TBST at room temperature for 2 hours. Goat Anti-Rabbit IgG - HRP Secondary Antibody at 1:300,000 dilution was used for 1 hour at room temperature.
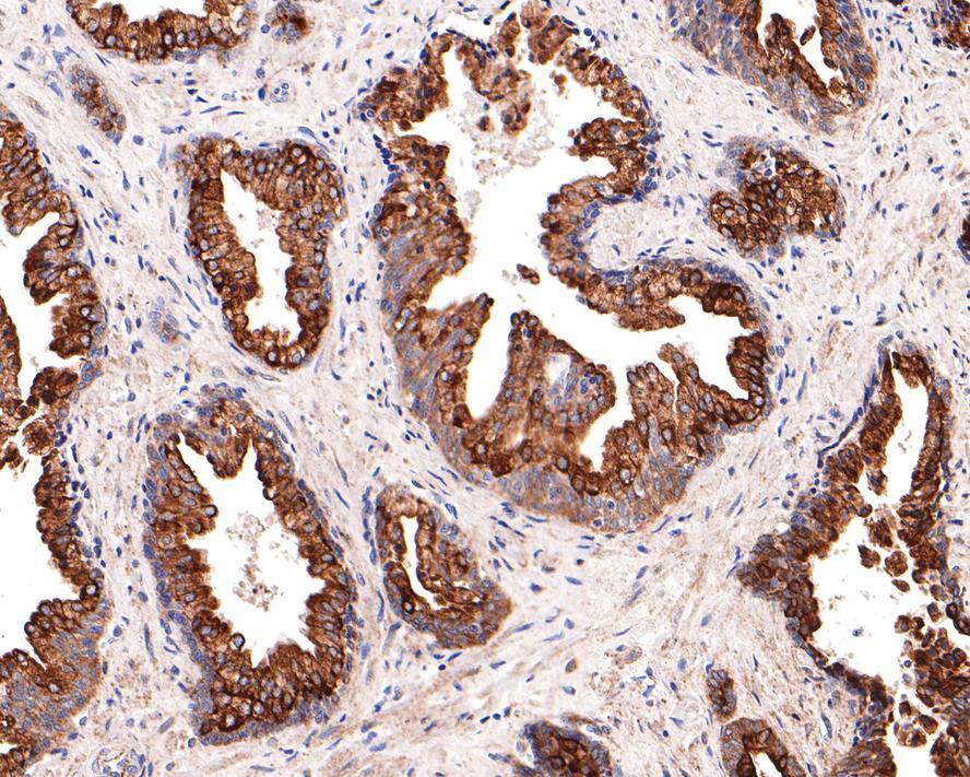
KCTD9 Antibody (JE64-67)

Immunohistochemistry: KCTD9 Antibody (JE64-67) [NBP3-32489]

Immunohistochemistry: KCTD9 Antibody (JE64-67) [NBP3-32489] - Immunohistochemical analysis of paraffin-embedded human prostate tissue with Rabbit anti-KCTD9 antibody (NBP3-32489) at 1/400 dilution.

The section was pre-treated using heat mediated antigen retrieval with Tris-EDTA buffer (pH 9.0) for 20 minutes. The tissues were blocked in 1% BSA for 20 minutes at room temperature, washed with ddH2O and PBS, and then probed with the primary antibody (NBP3-32489) at 1/400 dilution for 1 hour at room temperature. The detection was performed using an HRP conjugated compact polymer system. DAB was used as the chromogen. Tissues were counterstained with hematoxylin and mounted with DPX.
KCTD9 Antibody (JE64-67)

Immunocytochemistry/ Immunofluorescence: KCTD9 Antibody (JE64-67) [NBP3-32489]

Immunocytochemistry/ Immunofluorescence: KCTD9 Antibody (JE64-67) [NBP3-32489] - Immunocytochemistry analysis of SiHa cells labeling KCTD9 with Rabbit anti-KCTD9 antibody (NBP3-32489) at 1/50 dilution.

Cells were fixed in 4% paraformaldehyde for 10 minutes at 37 ℃, permeabilized with 0.05% Triton X-100 in PBS for 20 minutes, and then blocked with 2% negative goat serum for 30 minutes at room temperature. Cells were then incubated with Rabbit anti-KCTD9 antibody (NBP3-32489) at 1/50 dilution in 2% negative goat serum overnight at 4 ℃. Goat Anti-Rabbit IgG H&L (Alexa Fluor® 488) was used as the secondary antibody at 1/1,000 dilution. Nuclear DNA was labelled in blue with DAPI.

Beta tubulin (red) was stained at 1/200 dilution overnight at +4℃. Goat Anti-Mouse IgG H&L (Alexa Fluor® 647) were used as the secondary antibody at 1/1,000 dilution.

Applications for KCTD9 Antibody (JE64-67)

Application
Recommended Usage

Immunocytochemistry/ Immunofluorescence

1:50

Immunohistochemistry-Paraffin

1:400

Western Blot

1:500

Formulation, Preparation, and Storage

Purification

Protein A purified

Formulation

1*TBS (pH7.4), 0.05% BSA and 40% Glycerol

Preservative

0.05% Sodium Azide

Concentration

1 mg/ml

Shipping

The product is shipped with polar packs. Upon receipt, store it immediately at the temperature recommended below.

Stability & Storage

Store at 4C short term. Aliquot and store at -20C long term. Avoid freeze-thaw cycles.

Background: KCTD9

KCTD9( AAH21216, 1 a.a. - 390 a.a.) full-length recombinant protein with GST.

Alternate Names

BTB/POZ domain-containing protein KCTD9, FLJ20038, potassium channel tetramerisation domain containing 9

Gene Symbol

KCTD9

Additional KCTD9 Products

Product Documents for KCTD9 Antibody (JE64-67)

Certificate of Analysis

To download a Certificate of Analysis, please enter a lot number in the search box below.

Product Specific Notices for KCTD9 Antibody (JE64-67)

This product is for research use only and is not approved for use in humans or in clinical diagnosis. Primary Antibodies are guaranteed for 1 year from date of receipt.

Loading...
Loading...
Loading...
Loading...