Skip to main content

KCNK12 Antibody - BSA Free

Novus Biologicals, part of Bio-Techne | Catalog # NBP2-81727

Novus Biologicals, part of Bio-Techne

Key Product Details

Species Reactivity

Human, Mouse, Rat

Applications

Immunohistochemistry, Immunohistochemistry-Paraffin, Western Blot, ELISA, Immunocytochemistry/ Immunofluorescence

Label

Unconjugated

Antibody Source

Polyclonal Rabbit IgG

Format

BSA Free

Concentration

1 mg/ml

Product Specifications

Immunogen

KCNK12 antibody was raised against a 14 amino acid synthetic peptide near the carboxy terminus of human KCNK12. The immunogen is located within amino acids 320 - 370 of KCNK12. Amino Acid Squence: PGSRLRRRLAALGA

Specificity

KCNK12 antibody is predicted to not cross-react with other KCNK protein family members.

Clonality

Polyclonal

Host

Rabbit

Isotype

IgG

Description

Novus Biologicals Rabbit KCNK12 Antibody - BSA Free (NBP2-81727) is a polyclonal antibody validated for use in IHC, WB, ELISA and ICC/IF. All Novus Biologicals antibodies are covered by our 100% guarantee.

Scientific Data Images for KCNK12 Antibody - BSA Free

Western Blot: KCNK12 AntibodyBSA Free [NBP2-81727]

Western Blot: KCNK12 AntibodyBSA Free [NBP2-81727]

Western Blot: KCNK12 Antibody [NBP2-81727] - Analysis of KCNK12 in rat brain tissue lysate with KCNK12 antibody at 0.5 ug/ml in (A) the absence and (B) the presence of blocking peptide.
KCNK12 Antibody - BSA Free

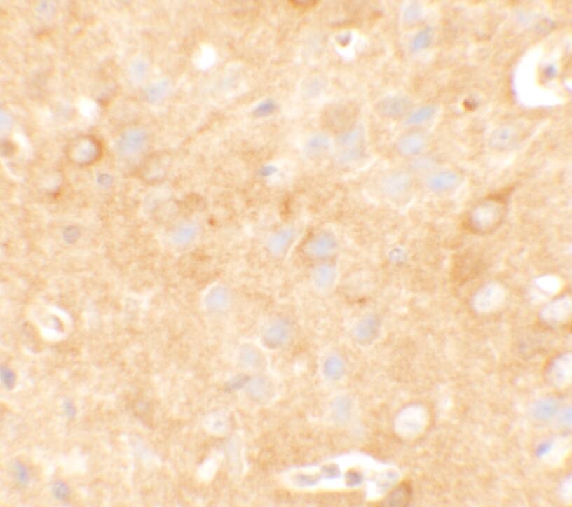
Immunohistochemistry: KCNK12 Antibody - BSA Free [NBP2-81727] -

Immunohistochemistry: KCNK12 Antibody - BSA Free [NBP2-81727] - Immunohistochemistry of KCNK12 in mouse brain tissue with KCNK12 antibody at 5 u/mL.
KCNK12 Antibody - BSA Free

Immunocytochemistry/ Immunofluorescence: KCNK12 Antibody - BSA Free [NBP2-81727] -

Immunocytochemistry/ Immunofluorescence: KCNK12 Antibody - BSA Free [NBP2-81727] - Immunofluorescence of KCNK12 in mouse brain tissue with KCNK12 antibody at 20 ug/mL.

Applications for KCNK12 Antibody - BSA Free

Application
Recommended Usage

Immunocytochemistry/ Immunofluorescence

20 ug/ml

Immunohistochemistry

5 ug/ml

Western Blot

0.5 ug/ml

Formulation, Preparation, and Storage

Purification

Peptide affinity purified

Formulation

PBS

Format

BSA Free

Preservative

0.02% Sodium Azide

Concentration

1 mg/ml

Shipping

The product is shipped with polar packs. Upon receipt, store it immediately at the temperature recommended below.

Stability & Storage

Store at 4C short term. Aliquot and store at -20C long term. Avoid freeze-thaw cycles.

Background: KCNK12

KCNK12 is a gene which codes for a protein that functions as a potassium channel subunit that most likely needs to associate with another protein subunit in order to properly create a potassium channel and consists of 430 amino acids and weighs approximately 47 kDa. Current studies are being done on diseases and disorders relating to this gene including generalized epilepsy, migranes, vitiligo, pancreatitis, and neuronitis. KCNK12 has also been shown to have importance in pathways such as the cholera infection, hepatic ABC transporter, PKA signaling, and sweet taste signaling pathways.

Alternate Names

potassium channel subfamily K member 12, potassium channel, subfamily K, member 12, tandem pore domain potassium channel THIK-2, THIK2, THIK-2, THIK-2THIK2Tandem pore domain halothane-inhibited potassium channel 2

Gene Symbol

KCNK12

Additional KCNK12 Products

Product Documents for KCNK12 Antibody - BSA Free

Certificate of Analysis

To download a Certificate of Analysis, please enter a lot number in the search box below.

Product Specific Notices for KCNK12 Antibody - BSA Free

This product is for research use only and is not approved for use in humans or in clinical diagnosis. Primary Antibodies are guaranteed for 1 year from date of receipt.

Loading...
Loading...
Loading...
Loading...