Skip to main content

KCC2/SLC12A5 Antibody (HL2535) - Azide and BSA Free

Novus Biologicals, part of Bio-Techne | Catalog # NBP3-25541

Recombinant Monoclonal Antibody
Novus Biologicals, part of Bio-Techne
Catalog #
Availability
Size / Price
Qty
Loading...
NBP3-25541

Key Product Details

Species Reactivity

Mouse

Applications

Immunohistochemistry, Immunohistochemistry-Paraffin, Western Blot

Label

Unconjugated

Antibody Source

Recombinant Monoclonal Rabbit IgG Clone # HL2535 expressed in HEK293

Format

Azide and BSA Free

Concentration

Concentrations vary lot to lot. See vial label for concentration. If unlisted please contact technical services.

Product Specifications

Immunogen

Synthetic peptide of mouse KCC2/SLC12A5

Clonality

Monoclonal

Host

Rabbit

Isotype

IgG

Description

Novus Biologicals Rabbit KCC2/SLC12A5 Antibody (HL2535) - Azide and BSA Free (NBP3-25541) is a recombinant monoclonal antibody validated for use in IHC and WB. All Novus Biologicals antibodies are covered by our 100% guarantee.

Scientific Data Images for KCC2/SLC12A5 Antibody (HL2535) - Azide and BSA Free

KCC2/SLC12A5 Antibody (HL2535) - Azide and BSA Free

Western Blot: KCC2/SLC12A5 Antibody (HL2535) - Azide and BSA Free [NBP3-25541] -

Western Blot: KCC2/SLC12A5 Antibody (HL2535) - Azide and BSA Free [NBP3-25541] - Various tissue extracts (50 ug) were separated by 5% SDS-PAGE, and the membrane was blotted with KCC2 antibody [HL2535] (NBP3-25541) diluted at 1:1000. The HRP-conjugated anti-rabbit IgG antibody was used to detect the primary antibody, and the signal was developed with Trident ECL plus-Enhanced.
KCC2/SLC12A5 Antibody (HL2535) - Azide and BSA Free

Western Blot: KCC2/SLC12A5 Antibody (HL2535) - Azide and BSA Free [NBP3-25541] -

Western Blot: KCC2/SLC12A5 Antibody (HL2535) - Azide and BSA Free [NBP3-25541] - Unboiled and boiled various tissue extracts (50 ug) were separated by 7.5% SDS-PAGE, and the membrane was blotted with KCC2 antibody [HL2535] (NBP3-25541) diluted at 1:1000. The HRP-conjugated anti-rabbit IgG antibody was used to detect the primary antibody.
KCC2/SLC12A5 Antibody (HL2535) - Azide and BSA Free

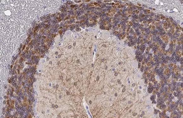
Immunohistochemistry-Paraffin: KCC2/SLC12A5 Antibody (HL2535) - Azide and BSA Free [NBP3-25541] -

Immunohistochemistry-Paraffin: KCC2/SLC12A5 Antibody (HL2535) - Azide and BSA Free [NBP3-25541] - KCC2 antibody [HL2535] detects KCC2 protein at cell membrane by immunohistochemical analysis. Sample: Paraffin-embedded mouse cerebellum. KCC2 stained by KCC2 antibody [HL2535] (NBP3-25541) diluted at 1:100. Antigen Retrieval: Citrate buffer, pH 6.0, 15 min

Applications for KCC2/SLC12A5 Antibody (HL2535) - Azide and BSA Free

Application
Recommended Usage

Western Blot

1:500-1:3000

Formulation, Preparation, and Storage

Purification

Protein A purified

Formulation

PBS

Format

Azide and BSA Free

Preservative

No Preservative

Concentration

Concentrations vary lot to lot. See vial label for concentration. If unlisted please contact technical services.

Shipping

The product is shipped with polar packs. Upon receipt, store it immediately at the temperature recommended below.

Stability & Storage

Store at 4C short term. Aliquot and store at -20C long term. Avoid freeze-thaw cycles.

Background: KCC2/SLC12A5

K-Cl cotransporters are proteins that lower intracellular chloride concentrations below the electrochemical equilibrium potential. The protein encoded by this gene is an integral membrane K-Cl cotransporter that can function in either a net efflux or influx pathway, depending on the chemical concentration gradients of potassium and chloride. The encoded protein can act as a homomultimer, or as a heteromultimer with other K-Cl cotransporters, to maintain chloride homeostasis in neurons. Alternative splicing results in two transcript variants encoding different isoforms. (provided by RefSeq)

Long Name

K-Cl Cotransporter 2

Alternate Names

SLC12A5

Gene Symbol

SLC12A5

Additional KCC2/SLC12A5 Products

Product Documents for KCC2/SLC12A5 Antibody (HL2535) - Azide and BSA Free

Certificate of Analysis

To download a Certificate of Analysis, please enter a lot number in the search box below.

Product Specific Notices for KCC2/SLC12A5 Antibody (HL2535) - Azide and BSA Free

This product is for research use only and is not approved for use in humans or in clinical diagnosis. Primary Antibodies are guaranteed for 1 year from date of receipt.

Loading...
Loading...
Loading...
Loading...