Skip to main content

KBTBD10 Antibody - BSA Free

Novus Biologicals, part of Bio-Techne | Catalog # NBP3-46438

Novus Biologicals, part of Bio-Techne
Catalog #
Availability
Size / Price
Qty
Loading...
NBP3-46438

Key Product Details

Species Reactivity

Human, Mouse

Applications

Immunohistochemistry, Western Blot, ELISA

Label

Unconjugated

Antibody Source

Polyclonal Rabbit IgG

Format

BSA Free

Concentration

Please see the vial label for concentration. If unlisted please contact technical services.

Product Specifications

Immunogen

kelch repeat and BTB(POZ) domain containing 10. (Uniprot# O60662)

Clonality

Polyclonal

Host

Rabbit

Isotype

IgG

Theoretical MW

68 kDa.
Disclaimer note: The observed molecular weight of the protein may vary from the listed predicted molecular weight due to post translational modifications, post translation cleavages, relative charges, and other experimental factors.

Description

Novus Biologicals Rabbit KBTBD10 Antibody - BSA Free (NBP3-46438) is a polyclonal antibody validated for use in IHC, WB and ELISA. All Novus Biologicals antibodies are covered by our 100% guarantee.

Scientific Data Images for KBTBD10 Antibody - BSA Free

KBTBD10 Antibody - BSA Free

Western Blot: KBTBD10 Antibody - BSA Free [NBP3-46438] -

Western Blot: KBTBD10 Antibody - BSA Free [NBP3-46438] - Mouse heart tissue were subjected to SDS PAGE followed by western blot with (KBTBD10 Antibody) at dilution of 1:1500
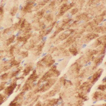
KBTBD10 Antibody - BSA Free

Immunohistochemistry: KBTBD10 Antibody - BSA Free [NBP3-46438] -

Immunohistochemistry: KBTBD10 Antibody - BSA Free [NBP3-46438] - Immunohistochemistry of paraffin-embedded human skeletal muscle tissue slide using (KBTBD10 Antibody) at dilution of 1:50

Applications for KBTBD10 Antibody - BSA Free

Application
Recommended Usage

Immunohistochemistry

1:20-1:200

Western Blot

1:500-1:2000

Formulation, Preparation, and Storage

Purification

Immunogen affinity purified

Formulation

PBS, 50% Glycerol, pH (7.3)

Format

BSA Free

Preservative

0.02% Sodium Azide

Concentration

Please see the vial label for concentration. If unlisted please contact technical services.

Shipping

The product is shipped with polar packs. Upon receipt, store it immediately at the temperature recommended below.

Stability & Storage

Store at -20C. Avoid freeze-thaw cycles.

Background: KBTBD10

KBTBD10 is required for pseudopod elongation in transformed cells. Substrate-specific adapter of an E3 ubiquitin-protein ligase complex which mediates the ubiquitination and subsequent proteasomal degradation of target proteins

Alternate Names

FLJ60989, kelch repeat and BTB (POZ) domain containing 10, kelch repeat and BTB domain-containing protein 10, Kelch-related protein 1, Kel-like protein 23, KRP1, Sarcosin, SARCOSINsarcomeric muscle protein

Gene Symbol

KBTBD10

Additional KBTBD10 Products

Product Documents for KBTBD10 Antibody - BSA Free

Certificate of Analysis

To download a Certificate of Analysis, please enter a lot number in the search box below.

Product Specific Notices for KBTBD10 Antibody - BSA Free

This product is for research use only and is not approved for use in humans or in clinical diagnosis. Primary Antibodies are guaranteed for 1 year from date of receipt.

Loading...
Loading...
Loading...
Loading...