Skip to main content

katanin-p80 Antibody (OTI5C4)

Novus Biologicals, part of Bio-Techne | Catalog # NBP2-01383

Novus Biologicals, part of Bio-Techne
Catalog #
Availability
Size / Price
Qty
Loading...
NBP2-01383
Conjugate
Catalog #

Key Product Details

Species Reactivity

Human, Mouse, Rat

Applications

Immunohistochemistry, Immunohistochemistry-Paraffin, Western Blot, Flow Cytometry, Immunocytochemistry/ Immunofluorescence

Label

Unconjugated

Antibody Source

Monoclonal Mouse IgG1 Clone # OTI5C4

Concentration

0.64 mg/ml

Product Specifications

Immunogen

Full length human recombinant protein of human KATNB1(NP_005877) produced in HEK293T cell.

Reactivity Notes

Please note that this antibody is reactive to Mouse and derived from the same host, Mouse. Mouse-On-Mouse blocking reagent may be needed for IHC and ICC experiments to reduce high background signal. You can find these reagents under catalog numbers PK-2200-NB and MP-2400-NB. Please contact Technical Support if you have any questions.

Clonality

Monoclonal

Host

Mouse

Isotype

IgG1

Theoretical MW

72.2 kDa.
Disclaimer note: The observed molecular weight of the protein may vary from the listed predicted molecular weight due to post translational modifications, post translation cleavages, relative charges, and other experimental factors.

Scientific Data Images for katanin-p80 Antibody (OTI5C4)

Western Blot: katanin-p80 Antibody (OTI5C4) [NBP2-01383]

Western Blot: katanin-p80 Antibody (OTI5C4) [NBP2-01383]

Western Blot: katanin-p80 Antibody (5C4) [NBP2-01383] - HEK293T cells were transfected with the pCMV6-ENTRY control (Left lane) or pCMV6-ENTRY katanin-p80 (Right lane) cDNA for 48 hrs and lysed. Equivalent amounts of cell lysates (5 ug per lane) were separated by SDS-PAGE and immunoblotted with anti-katanin-p80.
Immunocytochemistry/ Immunofluorescence: katanin-p80 Antibody (OTI5C4) [NBP2-01383]

Immunocytochemistry/ Immunofluorescence: katanin-p80 Antibody (OTI5C4) [NBP2-01383]

Immunocytochemistry/Immunofluorescence: katanin-p80 Antibody (OTI5C4) [NBP2-01383] - Staining of COS7 cells transiently transfected by pCMV6-ENTRY katanin-p80.
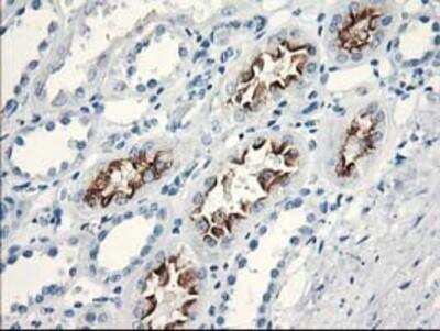
Immunohistochemistry-Paraffin: katanin-p80 Antibody (OTI5C4) [NBP2-01383]

Immunohistochemistry-Paraffin: katanin-p80 Antibody (OTI5C4) [NBP2-01383]

Immunohistochemistry-Paraffin: katanin-p80 Antibody (5C4) [NBP2-01383] - Staining of paraffin-embedded Human Kidney tissue using anti-katanin-p80 mouse monoclonal antibody.

Applications for katanin-p80 Antibody (OTI5C4)

Application
Recommended Usage

Flow Cytometry

1:100

Immunocytochemistry/ Immunofluorescence

1:100

Immunohistochemistry

1:150

Immunohistochemistry-Paraffin

1:150

Western Blot

1:2000

Formulation, Preparation, and Storage

Purification

Immunogen affinity purified

Formulation

PBS (pH 7.3), 1.0% BSA and 50% Glycerol

Preservative

0.02% Sodium Azide

Concentration

0.64 mg/ml

Shipping

The product is shipped with polar packs. Upon receipt, store it immediately at the temperature recommended below.

Stability & Storage

Store at -20C. Avoid freeze-thaw cycles.

Background: katanin-p80

Microtubules, polymers of alpha and beta tubulin subunits, form the mitotic spindle of a dividing cell and help to organize membranous organelles during interphase. Katanin is a heterodimer that consists of a 60 kDa ATPase (p60 subunit A 1) and an 80 kDa accessory protein (p80 subunit B 1). The p60 subunit acts to sever and disassemble microtubules, while the p80 subunit targets the enzyme to the centrosome. Katanin is a member of the AAA family of ATPases. [provided by RefSeq].

Alternate Names

KAT, katanin (80 kDa), katanin p80 (WD repeat containing) subunit B 1, katanin p80 (WD40-containing) subunit B 1, Katanin p80 subunit B1, katanin p80 WD40-containing subunit B1, p80 katanin

Entrez Gene IDs

10300 (Human)

Gene Symbol

KATNB1

Additional katanin-p80 Products

Product Documents for katanin-p80 Antibody (OTI5C4)

Certificate of Analysis

To download a Certificate of Analysis, please enter a lot number in the search box below.

Product Specific Notices for katanin-p80 Antibody (OTI5C4)

This product is for research use only and is not approved for use in humans or in clinical diagnosis. Primary Antibodies are guaranteed for 1 year from date of receipt.

Loading...
Loading...
Loading...
Loading...
Loading...