Skip to main content

Kappa Light Chain Antibody (L1C1) - Azide and BSA Free

Novus Biologicals, part of Bio-Techne | Catalog # NBP2-33142

Novus Biologicals, part of Bio-Techne
Catalog #
Availability
Size / Price
Qty
Loading...
NBP2-33142

Key Product Details

Species Reactivity

Human, Rat (Negative)

Applications

Immunohistochemistry, Immunohistochemistry-Paraffin, Western Blot, Simple Western, CyTOF-ready

Label

Unconjugated

Antibody Source

Monoclonal Mouse IgG1 kappa Clone # L1C1

Format

Azide and BSA Free

Concentration

1.0 mg/ml

Product Specifications

Immunogen

Human B-Lymphoma Cells

Reactivity Notes

Does not react with Rat.

Localization

Cell Surface, Cytoplasmic and Secreted

Specificity

This monoclonal antibody is specific to kappa light chain of immunoglobulin and shows no cross-reaction with lambda light chain or any of the five heavy chains. In mammals, the two light chains in an antibody are always identical, with only one type of light chain, kappa or lambda. The ratio of kappa to lambda is 70:30. However, with the occurrence of multiple myeloma or other B-cell malignancies this ratio is disturbed. Antibody to the kappa light chain is reportedly useful in the identification of leukemias, plasmacytomas, and certain non-Hodgkins lymphomas. Demonstration of clonality in lymphoid infiltrates indicates that the infiltrate is malignant.

Marker

B-Cell Marker

Clonality

Monoclonal

Host

Mouse

Isotype

IgG1 kappa

Theoretical MW

22.5 kDa.
Disclaimer note: The observed molecular weight of the protein may vary from the listed predicted molecular weight due to post translational modifications, post translation cleavages, relative charges, and other experimental factors.

Description

1.0 mg/ml of antibody purified from Bioreactor Concentrate by Protein A/G. Prepared in 10mM PBS WITHOUT BSA & azide. Also available at 200 ug/ml WITH BSA & azide (NBP2-15191).

Antibody with azide - store at 2 to 8C. Antibody without azide - store at -20 to -80C.

Scientific Data Images for Kappa Light Chain Antibody (L1C1) - Azide and BSA Free

Western Blot: Kappa Light Chain Antibody (L1C1)Azide and BSA Free [NBP2-33142]

Western Blot: Kappa Light Chain Antibody (L1C1)Azide and BSA Free [NBP2-33142]

Western Blot: Kappa Light Chain Antibody (L1C1) - Azide and BSA Free [NBP2-33142] - Analysis of Raji cell Lysate using kappa light chain monoclonal Antibody (L1C1).
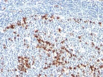
Immunohistochemistry-Paraffin: Kappa Light Chain Antibody (L1C1) - Azide and BSA Free [NBP2-33142]

Immunohistochemistry-Paraffin: Kappa Light Chain Antibody (L1C1) - Azide and BSA Free [NBP2-33142]

Immunohistochemistry-Paraffin: Kappa Light Chain Antibody (L1C1) - Azide and BSA Free [NBP2-33142] - Formalin-fixed, paraffin-embedded human Tonsil stained with Kappa Light Chain Antibody (L1C1).
Simple Western: Kappa Light Chain Antibody (L1C1)Azide and BSA Free [NBP2-33142]

Simple Western: Kappa Light Chain Antibody (L1C1)Azide and BSA Free [NBP2-33142]

Simple Western: Kappa Light Chain Antibody (L1C1) - Azide and BSA Free [NBP2-33142] - Electropherogram image of the corresponding Simple western lane view. Kappa Light Chain antibody was used at 10 ug/ml dilution on h serum, h tonsil lysate(s) respectively.

Applications for Kappa Light Chain Antibody (L1C1) - Azide and BSA Free

Application
Recommended Usage

Immunohistochemistry-Paraffin

0.5-1.0ug/ml

Western Blot

1:250-1:500
Application Notes
Immunohistochemistry (Formalin-fixed): 1-2ug/ml for 30 min at RT. Staining of formalin-fixed tissues requires heating tissue sections in 10mM Tris with 1mM EDTA, pH 9.0, for 45 min at 95C followed by cooling at RT for 20 minutes.
Optimal dilution for a specific application should be determined.
See Simple Western Antibody Database for Simple Western validation

Formulation, Preparation, and Storage

Purification

Protein A or G purified

Formulation

10 mM PBS

Format

Azide and BSA Free

Preservative

No Preservative

Concentration

1.0 mg/ml

Shipping

The product is shipped with polar packs. Upon receipt, store it immediately at the temperature recommended below.

Stability & Storage

Store at -20 to -80C. Avoid freeze-thaw cycles.

Background: Kappa Light Chain

Kappa light chain antibody can be used for the identification of leukemias, plasmacytomas and certain non-Hodgkin's lymphomas. Kappa light chain contains one immunoglobulin-like domain. The EU sequence has the INV allotypic marker, Ala-45 and Val-83. The ROY sequence has the INV allotypic marker, Ala-45 and Leu-83.

Alternate Names

HCAK1, IGKCD, immunoglobulin kappa constant, Km, MGC111575, MGC62011, MGC72072, MGC88770, MGC88771, MGC88809

Gene Symbol

IGKC

Additional Kappa Light Chain Products

Product Documents for Kappa Light Chain Antibody (L1C1) - Azide and BSA Free

Certificate of Analysis

To download a Certificate of Analysis, please enter a lot number in the search box below.

Product Specific Notices for Kappa Light Chain Antibody (L1C1) - Azide and BSA Free

This product is for research use only and is not approved for use in humans or in clinical diagnosis. Primary Antibodies are guaranteed for 1 year from date of receipt.

Loading...
Loading...
Loading...
Loading...