Skip to main content

KAP1 [p Ser824] Antibody

Novus Biologicals, part of Bio-Techne | Catalog # NB100-2350

Novus Biologicals, part of Bio-Techne
Catalog #
Availability
Size / Price
Qty
Loading...
NB100-2350

Key Product Details

Validated by

Biological Validation

Species Reactivity

Validated:

Human, Mouse, Rat

Cited:

Human, Mouse, Rat

Applications

Validated:

Immunohistochemistry, Immunohistochemistry-Paraffin, Western Blot, Immunocytochemistry/ Immunofluorescence, Immunoprecipitation, Chromatin Immunoprecipitation (ChIP)

Cited:

Western Blot, Chemotaxis

Label

Unconjugated

Antibody Source

Polyclonal Rabbit IgG

Concentration

0.2 mg/ml

Product Specifications

Immunogen

This KAP1 [p Ser824] Antibody was developed against mmunogen a synthetic phosphorylated peptide, which represents a portion of human KRAB-Associated Protein 1 surrounding Serine 824 according to the numbering given in entry NP_005753.1 (GeneID 10155).

Reactivity Notes

Mouse reactivity reported in scientific literature (PMID: 24248351). Rat reactivity reported in scientific literature (PMID: 27895165).

Modification

p Ser824

Clonality

Polyclonal

Host

Rabbit

Isotype

IgG

Description

This antibody can be used as the primary antibody in a PLA assay with the following as complementing antibodies:NB100-322, NB500-158, NB100-41429

Scientific Data Images for KAP1 [p Ser824] Antibody

Western Blot: KAP1 [p Ser824] Antibody [NB100-2350] - MDA-MB-231 cells were treated with DMSO or Merbarone (100 uM) for 24 hours, whole cell lysates were loaded with 50 ug/lane. 10% SDS-PAGE. KAP1 [p Ser824] Antibody (NB100-2350) primary antibody at 1:1000, 4C, overnight. Western blot image submitted by a verified customer review.
Immunocytochemistry/ Immunofluorescence: KAP1 [p Ser824] Antibody [NB100-2350]

Immunocytochemistry/ Immunofluorescence: KAP1 [p Ser824] Antibody [NB100-2350]

Immunocytochemistry/Immunofluorescence: KAP1 [p Ser824] Antibody [NB100-2350] - NBF-fixed asynchronous HeLa cells grown in chambered microscope slides and treated with EPE (left) or untreated (right). Antibody: Affinity purified rabbit anti-Phospho KAP-1 (S824) used at a dilution of 1:200 (1ug/ml). Detection: Red fluorescent Anti-rabbit IgG-DyLight (R) 594 conjugated used at a dilution of 1:100.
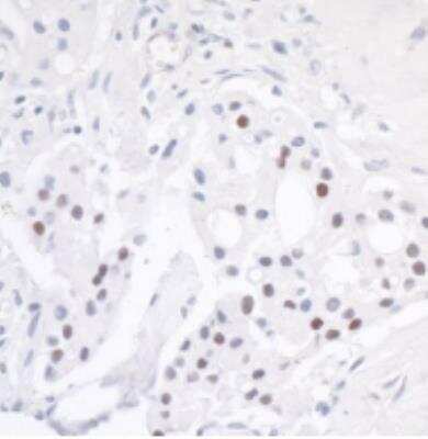
Immunohistochemistry-Paraffin: KAP1 [p Ser824] Antibody [NB100-2350]

Immunohistochemistry-Paraffin: KAP1 [p Ser824] Antibody [NB100-2350]

Immunohistochemistry-Paraffin: KAP1 [p Ser824] Antibody [NB100-2350] - Human Phospho Kap1 (S824) by Immunohistochemistry. Sample: FFPE serial section of human lung cancer used at a dilution of 1:200 (1 ug/ml). Detection: DAB

Applications for KAP1 [p Ser824] Antibody

Application
Recommended Usage

Immunocytochemistry/ Immunofluorescence

1:200 - 1:1000

Immunohistochemistry

1:500 - 1:2000

Immunohistochemistry-Paraffin

1:500 - 1:2000

Immunoprecipitation

2-10 ug/mg lysate

Western Blot

1:2000 - 1:10000
Application Notes
Use in Chromatin Immunoprecipitation reported in scientific literature (PMID:35031618) Epitope retrieval with citrate buffer pH 6.0 is recommended for FFPE tissue sections. KAP1 [p Ser824] antibody validated for WB from a verified customer review.

Reviewed Applications

Read 1 review rated 5 using NB100-2350 in the following applications:

Formulation, Preparation, and Storage

Purification

Immunogen affinity purified

Formulation

TBS, 0.1% BSA

Preservative

0.09% Sodium Azide

Concentration

0.2 mg/ml

Shipping

The product is shipped with polar packs. Upon receipt, store it immediately at the temperature recommended below.

Stability & Storage

Store at 4C. Do not freeze.

Background: KAP1

The protein encoded by this gene mediates transcriptional control by interaction with the Kruppel-associated box repression domain found in many transcription factors. The protein localizes to the nucleus and is thought to associate with specific chromatin regions. The protein is a member of the tripartite motif family. This tripartite motif includes three zinc-binding domains, a RING, a B-box type 1 and a B-box type 2, and a coiled-coil region.

Long Name

KRAB-associated Protein 1

Alternate Names

KRIP-1, RNF96, TF1B, TIF1B, TRIM28

Entrez Gene IDs

10155 (Human)

Gene Symbol

TRIM28

UniProt

Additional KAP1 Products

Product Documents for KAP1 [p Ser824] Antibody

Certificate of Analysis

To download a Certificate of Analysis, please enter a lot number in the search box below.

Product Specific Notices for KAP1 [p Ser824] Antibody

This antibody can be used as the primary antibody in a PLA assay with the following as complementing antibodies:NB100-322, NB500-158, NB100-41429

This product is for research use only and is not approved for use in humans or in clinical diagnosis. Primary Antibodies are guaranteed for 1 year from date of receipt.

Loading...
Loading...
Loading...
Loading...