Skip to main content

KAP1 Antibody (HL1539) - Azide and BSA Free

Novus Biologicals, part of Bio-Techne | Catalog # NBP3-25540

Recombinant Monoclonal Antibody
Novus Biologicals, part of Bio-Techne
Catalog #
Availability
Size / Price
Qty
Loading...
NBP3-25540

Key Product Details

Species Reactivity

Validated:

Human, Mouse, Rat

Predicted:

Bovine (93%). Backed by our 100% Guarantee.

Applications

Immunocytochemistry/ Immunofluorescence, Immunohistochemistry, Immunohistochemistry-Paraffin, Western Blot

Label

Unconjugated

Antibody Source

Recombinant Monoclonal Rabbit IgG Clone # HL1539 expressed in HEK293

Format

Azide and BSA Free

Concentration

Concentrations vary lot to lot. See vial label for concentration. If unlisted please contact technical services.

Product Specifications

Immunogen

Recombinant protein encompassing a sequence within the center region of human KAP1. The exact sequence is proprietary.

Clonality

Monoclonal

Host

Rabbit

Isotype

IgG

Description

Novus Biologicals Rabbit KAP1 Antibody (HL1539) - Azide and BSA Free (NBP3-25540) is a recombinant monoclonal antibody validated for use in IHC, WB and ICC/IF. All Novus Biologicals antibodies are covered by our 100% guarantee.

Scientific Data Images for KAP1 Antibody (HL1539) - Azide and BSA Free

KAP1 Antibody (HL1539) - Azide and BSA Free

Immunohistochemistry-Paraffin: KAP1 Antibody (HL1539) - Azide and BSA Free [NBP3-25540] -

Immunohistochemistry-Paraffin: KAP1 Antibody (HL1539) - Azide and BSA Free [NBP3-25540] - KAP1 antibody [HL1539] detects KAP1 protein at nucleus by immunohistochemical analysis. Sample: Paraffin-embedded mouse intestine. KAP1 stained by KAP1 antibody [HL1539] (NBP3-25540) diluted at 1:100. Antigen Retrieval: Citrate buffer, pH 6.0, 15 min
KAP1 Antibody (HL1539) - Azide and BSA Free

Western Blot: KAP1 Antibody (HL1539) - Azide and BSA Free [NBP3-25540] -

Western Blot: KAP1 Antibody (HL1539) - Azide and BSA Free [NBP3-25540] - Mouse tissue extract (50 ug) was separated by 7.5% SDS-PAGE, and the membrane was blotted with KAP1 antibody [HL1539] (NBP3-25540) diluted at 1:5000. The HRP-conjugated anti-rabbit IgG antibody was used to detect the primary antibody.
KAP1 Antibody (HL1539) - Azide and BSA Free

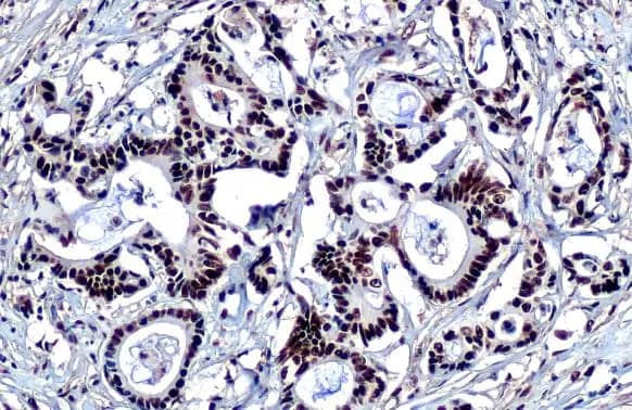
Immunohistochemistry-Paraffin: KAP1 Antibody (HL1539) - Azide and BSA Free [NBP3-25540] -

Immunohistochemistry-Paraffin: KAP1 Antibody (HL1539) - Azide and BSA Free [NBP3-25540] - KAP1 antibody [HL1539] detects KAP1 protein at nucleus by immunohistochemical analysis. Sample: Paraffin-embedded rat colon. KAP1 stained by KAP1 antibody [HL1539] (NBP3-25540) diluted at 1:100. Antigen Retrieval: Citrate buffer, pH 6.0, 15 min

Applications for KAP1 Antibody (HL1539) - Azide and BSA Free

Application
Recommended Usage

Immunohistochemistry-Paraffin

1:100-1:1000

Western Blot

1:1000-1:10000

Formulation, Preparation, and Storage

Purification

Protein A purified

Formulation

PBS

Format

Azide and BSA Free

Preservative

No Preservative

Concentration

Concentrations vary lot to lot. See vial label for concentration. If unlisted please contact technical services.

Shipping

The product is shipped with polar packs. Upon receipt, store it immediately at the temperature recommended below.

Stability & Storage

Store at 4C short term. Aliquot and store at -20C long term. Avoid freeze-thaw cycles.

Background: KAP1

KAP1 is encoded by this gene mediates transcriptional control by interaction with the Kruppel-associated box repression domain found in many transcription factors. The protein localizes to the nucleus and is thought to associate with specific chromatin regions. The protein is a member of the tripartite motif family. This tripartite motif includes three zinc-binding domains, a RING, a B-box type 1 and a B-box type 2, and a coiled-coil region.

Long Name

KRAB-associated Protein 1

Alternate Names

KRIP-1, RNF96, TF1B, TIF1B, TRIM28

Gene Symbol

TRIM28

Additional KAP1 Products

Product Documents for KAP1 Antibody (HL1539) - Azide and BSA Free

Certificate of Analysis

To download a Certificate of Analysis, please enter a lot number in the search box below.

Product Specific Notices for KAP1 Antibody (HL1539) - Azide and BSA Free

This product is for research use only and is not approved for use in humans or in clinical diagnosis. Primary Antibodies are guaranteed for 1 year from date of receipt.

Loading...
Loading...
Loading...
Loading...