Skip to main content

Kallikrein 3/PSA Antibody (KLK3/4602R)

Novus Biologicals, part of Bio-Techne | Catalog # NBP3-48903

Recombinant Monoclonal Antibody
Novus Biologicals, part of Bio-Techne
Catalog #
Availability
Size / Price
Qty
Loading...
NBP3-48903-100ug
NBP3-48903-20ug

Key Product Details

Species Reactivity

Human

Applications

Immunohistochemistry

Label

Unconjugated

Antibody Source

Recombinant Monoclonal Rabbit IgG Kappa Clone # KLK3/4602R expressed in HEK293

Concentration

Please see the vial label for concentration. If unlisted please contact technical services.

Product Specifications

Immunogen

Synthetic peptide corresponding to PSA residues within aa150-250 of PSA was used as an immunogen (Uniprot: P07288)

Localization

Secreted

Clonality

Monoclonal

Host

Rabbit

Isotype

IgG Kappa

Theoretical MW

29 kDa.
Disclaimer note: The observed molecular weight of the protein may vary from the listed predicted molecular weight due to post translational modifications, post translation cleavages, relative charges, and other experimental factors.

Description

Prepared in 10mM PBS with 0.05% BSA & 0.05% azide. Also available WITHOUT BSA & azide at 1.0mg/ml.

Antibody with azide - store at 2 to 8 C. Antibody without azide - store at -20 to -80 C. Antibody is stable for 24 months. Non-hazardous. No MSDS required.

Scientific Data Images for Kallikrein 3/PSA Antibody (KLK3/4602R)

Kallikrein 3/PSA Antibody (KLK3/4602R)

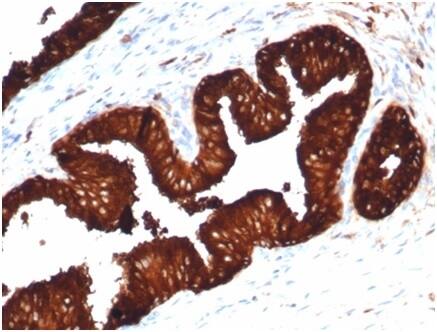
Immunohistochemistry-Paraffin: Kallikrein 3/PSA Antibody (KLK3/4602R) [NBP3-48903] -

Formalin-fixed, paraffin-embedded human prostate carcinoma stained with Kallikrein 3/PSA Antibody (KLK3/4602R).
Kallikrein 3/PSA Antibody (KLK3/4602R)

Immunohistochemistry-Paraffin: Kallikrein 3/PSA Antibody (KLK3/4602R) [NBP3-48903] -

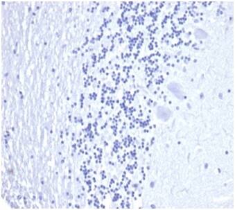
IHC analysis of formalin-fixed, paraffin-embedded human brain. Negative tissue control using Kallikrein 3/PSA Antibody (KLK3/4602R) at 2ug/ml in PBS for 30min RT. HIER: Tris/EDTA, pH9.0, 45min. 2�C: HRP-polymer, 30min. DAB, 5min.
Kallikrein 3/PSA Antibody (KLK3/4602R)

Immunohistochemistry-Paraffin: Kallikrein 3/PSA Antibody (KLK3/4602R) [NBP3-48903] -

Formalin-fixed, paraffin-embedded human prostate carcinoma stained with Kallikrein 3/PSA Antibody (KLK3/4602R).

Applications for Kallikrein 3/PSA Antibody (KLK3/4602R)

Application
Recommended Usage

Immunohistochemistry

Optimal dilutions of this antibody should be experimentally determined.

Formulation, Preparation, and Storage

Purification

Protein A or G purified

Formulation

10 mM PBS with 0.05% BSA

Preservative

0.05% Sodium Azide

Concentration

Please see the vial label for concentration. If unlisted please contact technical services.

Shipping

The product is shipped with polar packs. Upon receipt, store it immediately at the temperature recommended below.

Stability & Storage

Store at 4C.

Background: Kallikrein 3/PSA

PSA is a chymotrypsin-like serine protease (kallikrein family) produced by the prostate epithelium, and abundant in seminal fluid. PSA can be detected in the sera of patients with prostatic carcinoma. It is predominantly complexed to a liverderived serine protease inhibitor, alpha-1-antichymotrypsin (ACT). A higher proportion of serum PSA is complexed to ACT in prostate cancer than in benign prostate hyperplasia.

Alternate Names

KLK3, PSA

Gene Symbol

KLK3

Additional Kallikrein 3/PSA Products

Product Documents for Kallikrein 3/PSA Antibody (KLK3/4602R)

Certificate of Analysis

To download a Certificate of Analysis, please enter a lot number in the search box below.

Product Specific Notices for Kallikrein 3/PSA Antibody (KLK3/4602R)

This product is for research use only and is not approved for use in humans or in clinical diagnosis. Primary Antibodies are guaranteed for 1 year from date of receipt.

Loading...
Loading...
Loading...
Loading...