Skip to main content

KA1/GRIK4/Glutamate Receptor KA1 Antibody - BSA Free

Novus Biologicals, part of Bio-Techne | Catalog # NBP1-76852

Novus Biologicals, part of Bio-Techne

Key Product Details

Species Reactivity

Human, Mouse, Rat

Applications

Immunohistochemistry, Immunohistochemistry-Paraffin, Western Blot, ELISA, Immunocytochemistry/ Immunofluorescence

Label

Unconjugated

Antibody Source

Polyclonal Rabbit IgG

Format

BSA Free

Concentration

1 mg/ml

Product Specifications

Immunogen

Antibody was raised against a 14 amino acid synthetic peptide near the amino terminus of the human Grik4. The immunogen is located within amino acids 30 - 80 of Grik4. Amino Acid Squence: RINRAPERLGKAK

Clonality

Polyclonal

Host

Rabbit

Isotype

IgG

Description

Novus Biologicals Rabbit KA1/GRIK4/Glutamate Receptor KA1 Antibody - BSA Free (NBP1-76852) is a polyclonal antibody validated for use in IHC, WB, ELISA and ICC/IF. All Novus Biologicals antibodies are covered by our 100% guarantee.

Scientific Data Images for KA1/GRIK4/Glutamate Receptor KA1 Antibody - BSA Free

Western Blot: KA1/GRIK4/Glutamate Receptor KA1 AntibodyBSA Free [NBP1-76852]

Western Blot: KA1/GRIK4/Glutamate Receptor KA1 AntibodyBSA Free [NBP1-76852]

Western Blot: KA1/GRIK4/Glutamate Receptor KA1 Antibody [NBP1-76852] - Rat brain tissue lysate with Glutamate receptor KA1 antibody at (A) 0.5, (B) 1 and (C) 2 ug/ml.
KA1/GRIK4/Glutamate Receptor KA1 Antibody - BSA Free

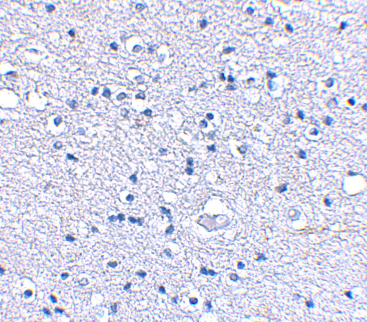
Immunohistochemistry: KA1/GRIK4/Glutamate Receptor KA1 Antibody - BSA Free [NBP1-76852] -

Immunohistochemistry: KA1/GRIK4/Glutamate Receptor KA1 Antibody - BSA Free [NBP1-76852] - Immunohistochemical staining of human brain tissue using KA1/GRIK4/Glutamate Receptor KA1 antibody at 2.5 ug/mL.
KA1/GRIK4/Glutamate Receptor KA1 Antibody - BSA Free

Immunocytochemistry/ Immunofluorescence: KA1/GRIK4/Glutamate Receptor KA1 Antibody - BSA Free [NBP1-76852] -

Immunocytochemistry/ Immunofluorescence: KA1/GRIK4/Glutamate Receptor KA1 Antibody - BSA Free [NBP1-76852] - Immunofluorescence of KA1/GRIK4/Glutamate Receptor KA1 in Human Brain cells with KA1/GRIK4/Glutamate Receptor KA1 antibody at 20 ug/mL.

Applications for KA1/GRIK4/Glutamate Receptor KA1 Antibody - BSA Free

Application
Recommended Usage

ELISA

1:100-1:2000

Immunocytochemistry/ Immunofluorescence

20 ug/ml

Immunohistochemistry

2.5 ug/ml

Immunohistochemistry-Paraffin

2.5 ug/ml

Western Blot

0.5-2 ug/ml
Application Notes
Despite its predicted molecular weight, Grik4 often migrates at a lower molecular weight in SDS-PAGE.

Formulation, Preparation, and Storage

Purification

Peptide affinity purified

Formulation

PBS

Format

BSA Free

Preservative

0.02% Sodium Azide

Concentration

1 mg/ml

Shipping

The product is shipped with polar packs. Upon receipt, store it immediately at the temperature recommended below.

Stability & Storage

Store at 4C short term. Aliquot and store at -20C long term. Avoid freeze-thaw cycles.

Background: KA1/GRIK4

Grik4 codes for the KA1 subunit of kainate-type ionotropic glutamate receptors which are critical regulators of network activity that act by modifying neuronal excitability, directly and indirectly, through GABAergic interneurons. Five subunits can assemble to form kainate receptors (KARs): GluR5 (coded by Grik1), GluR6 (coded by Grik2), and GluR7 (coded by Grik3) are the low-affinity subunits, and KA1 and KA2 are the high-affinity subunits. In the adult brain, KARs are located pre- and postsynaptically on pyramidal cells and on interneurons. Kainate receptors on GABA-containing interneurons enhance GABA release and thereby downregulate glutamatergic signaling. KARs have been implicated in numerous psychiatric disorders. Case control studies show significant association of Grik4 with both schizophrenia and bipolar disorder. Despite its predicted molecular weight, Grik4 often migrates at a lower molecular weight in SDS-PAGE.

Long Name

Glutamate Receptor KA1

Alternate Names

EAA1, GluK4, GRIK4

Gene Symbol

GRIK4

UniProt

Additional KA1/GRIK4 Products

Product Documents for KA1/GRIK4/Glutamate Receptor KA1 Antibody - BSA Free

Certificate of Analysis

To download a Certificate of Analysis, please enter a lot number in the search box below.

Product Specific Notices for KA1/GRIK4/Glutamate Receptor KA1 Antibody - BSA Free

This product is for research use only and is not approved for use in humans or in clinical diagnosis. Primary Antibodies are guaranteed for 1 year from date of receipt.

Loading...
Loading...
Loading...
Loading...