Skip to main content

JPH3 Antibody - BSA Free

Novus Biologicals, part of Bio-Techne | Catalog # NBP2-81726

Novus Biologicals, part of Bio-Techne

Key Product Details

Species Reactivity

Human, Mouse, Rat

Applications

Immunohistochemistry, Immunohistochemistry-Paraffin, Western Blot, ELISA, Immunocytochemistry/ Immunofluorescence

Label

Unconjugated

Antibody Source

Polyclonal Rabbit IgG

Format

BSA Free

Concentration

1 mg/ml

Product Specifications

Immunogen

JPH3 antibody was raised against a 18 amino acid synthetic peptide near the center of human JPH3. The immunogen is located within amino acids 410 - 460 of JPH3. Amino Acid Squence: PSFQHRENGLEYQRPKR

Clonality

Polyclonal

Host

Rabbit

Isotype

IgG

Description

Novus Biologicals Rabbit JPH3 Antibody - BSA Free (NBP2-81726) is a polyclonal antibody validated for use in IHC, WB, ELISA and ICC/IF. All Novus Biologicals antibodies are covered by our 100% guarantee.

Scientific Data Images for JPH3 Antibody - BSA Free

Western Blot: JPH3 AntibodyBSA Free [NBP2-81726]

Western Blot: JPH3 AntibodyBSA Free [NBP2-81726]

Western Blot: JPH3 Antibody [NBP2-81726] - Analysis of JPH3 in Daudi cell lysate with JPH3 antibody at 1 ug/ml in (A) the absence and (B) the presence of blocking peptide.
JPH3 Antibody - BSA Free

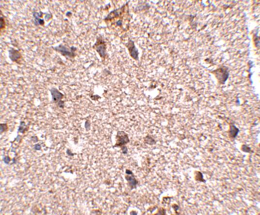
Immunohistochemistry: JPH3 Antibody - BSA Free [NBP2-81726] -

Immunohistochemistry: JPH3 Antibody - BSA Free [NBP2-81726] - Immunohistochemistry of JPH3 in human brain tissue with JPH3 antibody at 2.5 u/mL.
JPH3 Antibody - BSA Free

Immunocytochemistry/ Immunofluorescence: JPH3 Antibody - BSA Free [NBP2-81726] -

Immunocytochemistry/ Immunofluorescence: JPH3 Antibody - BSA Free [NBP2-81726] - Immunofluorescence of JPH3 in human brain tissue with JPH3 antibody at 20 ug/mL.

Applications for JPH3 Antibody - BSA Free

Application
Recommended Usage

Immunocytochemistry/ Immunofluorescence

20 ug/ml

Immunohistochemistry

2.5 ug/ml

Western Blot

1 ug/ml

Formulation, Preparation, and Storage

Purification

Peptide affinity purified

Formulation

PBS

Format

BSA Free

Preservative

0.02% Sodium Azide

Concentration

1 mg/ml

Shipping

The product is shipped with polar packs. Upon receipt, store it immediately at the temperature recommended below.

Stability & Storage

Store at 4C short term. Aliquot and store at -20C long term. Avoid freeze-thaw cycles.

Background: JPH3

Alternate Names

CAGL237, junctophilin 3, junctophilin type 3

Gene Symbol

JPH3

Additional JPH3 Products

Product Documents for JPH3 Antibody - BSA Free

Certificate of Analysis

To download a Certificate of Analysis, please enter a lot number in the search box below.

Product Specific Notices for JPH3 Antibody - BSA Free

This product is for research use only and is not approved for use in humans or in clinical diagnosis. Primary Antibodies are guaranteed for 1 year from date of receipt.

Loading...
Loading...
Loading...
Loading...