Skip to main content

JNK1 Antibody (OTI4E3) - Azide and BSA Free

Novus Biologicals, part of Bio-Techne | Catalog # NBP2-71256

Novus Biologicals, part of Bio-Techne

Key Product Details

Species Reactivity

Human, Mouse, Rat

Applications

Immunohistochemistry, Immunohistochemistry-Paraffin, Western Blot, Immunocytochemistry/ Immunofluorescence

Label

Unconjugated

Antibody Source

Monoclonal Mouse IgG2A Clone # OTI4E3

Format

Azide and BSA Free

Concentration

LYOPH mg/ml

Product Specifications

Immunogen

Human recombinant protein fragment corresponding to amino acids 1-384 of human JNK1 (NP_002741) produced in E.coli.

Reactivity Notes

Please note that this antibody is reactive to Mouse and derived from the same host, Mouse. Mouse-On-Mouse blocking reagent may be needed for IHC and ICC experiments to reduce high background signal. You can find these reagents under catalog numbers PK-2200-NB and MP-2400-NB. Please contact Technical Support if you have any questions.

Clonality

Monoclonal

Host

Mouse

Isotype

IgG2A

Theoretical MW

44 kDa.
Disclaimer note: The observed molecular weight of the protein may vary from the listed predicted molecular weight due to post translational modifications, post translation cleavages, relative charges, and other experimental factors.

Description

Novus Biologicals Mouse JNK1 Antibody (OTI4E3) - Azide and BSA Free (NBP1-48284) is a monoclonal antibody validated for use in IHC, WB and ICC/IF. All Novus Biologicals antibodies are covered by our 100% guarantee.

Scientific Data Images for JNK1 Antibody (OTI4E3) - Azide and BSA Free

Western Blot: JNK1 Antibody (OTI4E3)Azide and BSA Free [NBP2-71256]

Western Blot: JNK1 Antibody (OTI4E3)Azide and BSA Free [NBP2-71256]

Western Blot: JNK1 Antibody (OTI4E3) - Azide and BSA Free [NBP2-71256] - HEK293T cells were transfected with the pCMV6-ENTRY control (Left lane) or pCMV6-ENTRY JNK1 (Right lane) cDNA for 48 hrs and lysed. Equivalent amounts of cell lysates (5 ug per lane) were separated by SDS-PAGE and immunoblotted with anti-JNK1.
Immunocytochemistry/ Immunofluorescence: JNK1 Antibody (OTI4E3) - Azide and BSA Free [NBP2-71256]

Immunocytochemistry/ Immunofluorescence: JNK1 Antibody (OTI4E3) - Azide and BSA Free [NBP2-71256]

Immunocytochemistry/Immunofluorescence: JNK1 Antibody (OTI4E3) - Azide and BSA Free [NBP2-71256] - Staining of COS7 cells transiently transfected by pCMV6-ENTRY JNK1.
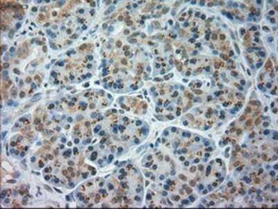
Immunohistochemistry: JNK1 Antibody (OTI4E3) - Azide and BSA Free [NBP2-71256]

Immunohistochemistry: JNK1 Antibody (OTI4E3) - Azide and BSA Free [NBP2-71256]

Immunohistochemistry: JNK1 Antibody (OTI4E3) - Azide and BSA Free [NBP2-71256] - Staining of paraffin-embedded Human Ovary tissue using anti-JNK1 mouse monoclonal antibody.

Applications for JNK1 Antibody (OTI4E3) - Azide and BSA Free

Application
Recommended Usage

Immunocytochemistry/ Immunofluorescence

1:100

Immunohistochemistry

1:50

Western Blot

1:500

Formulation, Preparation, and Storage

Purification

Immunogen affinity purified

Reconstitution

we recommend adding 100uL distilled water to a final antibody concentration of about 1 mg/mL. To use this carrier-free antibody for conjugation experiment, we strongly recommend performing another round of desalting process.

Formulation

Lyophilized from PBS (pH 7.3) with 8% Trehalose

Format

Azide and BSA Free

Preservative

No Preservative

Concentration

LYOPH mg/ml

Shipping

The product is shipped with polar packs. Upon receipt, store it immediately at the temperature recommended below.

Stability & Storage

Store at -20C. Avoid freeze-thaw cycles.

Background: JNK1

JNK1, also known as MAPK1, is a JNK protein subgroup familymenber of the mitogen-activated protein kinase (MAPK) superfamily and is part of a signal transduction cascade that is activated by cytokines and by exposure to environmental stresses. Components of the JNK (c-Jun N-terminal kinase) signaling pathway have been shown to interact with the insulin signaling pathway and play a pivotal role in lifespan regulation and stress resistance in many diverse organisms. Therefore, JNK1 plays a role in regulating both life span and stress resistance.

Long Name

C-Jun N-terminal Kinase 1

Alternate Names

MAPK8, PRKM8, SAPK1

Gene Symbol

MAPK8

Additional JNK1 Products

Product Documents for JNK1 Antibody (OTI4E3) - Azide and BSA Free

Certificate of Analysis

To download a Certificate of Analysis, please enter a lot number in the search box below.

Product Specific Notices for JNK1 Antibody (OTI4E3) - Azide and BSA Free

This product is for research use only and is not approved for use in humans or in clinical diagnosis. Primary Antibodies are guaranteed for 1 year from date of receipt.

Loading...
Loading...
Loading...
Loading...
Loading...