Skip to main content

JMJD5 Antibody - BSA Free

Novus Biologicals, part of Bio-Techne | Catalog # NBP1-77074

Novus Biologicals, part of Bio-Techne

Key Product Details

Species Reactivity

Validated:

Human, Mouse, Rat

Predicted:

Bovine (94%). Backed by our 100% Guarantee.

Applications

Immunohistochemistry, Immunohistochemistry-Paraffin, Western Blot, ELISA, Immunocytochemistry/ Immunofluorescence

Label

Unconjugated

Antibody Source

Polyclonal Rabbit IgG

Format

BSA Free

Concentration

1 mg/ml

Product Specifications

Immunogen

Antibody was raised against an 18 amino acid synthetic peptide from near the carboxy terminus of human JMJD5. The immunogen is located within amino acids 350 - 400 of JMJD5. Amino Acid Squence: TSQVDVENPDLEKFPKFA

Clonality

Polyclonal

Host

Rabbit

Isotype

IgG

Theoretical MW

47.3 kDa.
Disclaimer note: The observed molecular weight of the protein may vary from the listed predicted molecular weight due to post translational modifications, post translation cleavages, relative charges, and other experimental factors.

Description

Novus Biologicals Rabbit JMJD5 Antibody - BSA Free (NBP1-77074) is a polyclonal antibody validated for use in IHC, WB, ELISA and ICC/IF. All Novus Biologicals antibodies are covered by our 100% guarantee.

Scientific Data Images for JMJD5 Antibody - BSA Free

Western Blot: JMJD5 AntibodyBSA Free [NBP1-77074]

Western Blot: JMJD5 AntibodyBSA Free [NBP1-77074]

Western Blot: JMJD5 Antibody [NBP1-77074] - Human liver tissue lysate with JMJD5 antibody at (A) 1 and (B) 2 ug/ml.
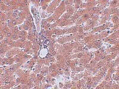
Immunohistochemistry-Paraffin: JMJD5 Antibody - BSA Free [NBP1-77074]

Immunohistochemistry-Paraffin: JMJD5 Antibody - BSA Free [NBP1-77074]

Immunohistochemistry-Paraffin: JMJD5 Antibody [NBP1-77074] - Rat liver tissue with JMJD5 antibody at 2.5 ug/ml.
JMJD5 Antibody - BSA Free

Immunocytochemistry/ Immunofluorescence: JMJD5 Antibody - BSA Free [NBP1-77074] -

Immunocytochemistry/ Immunofluorescence: JMJD5 Antibody - BSA Free [NBP1-77074] - Immunofluorescence of JMJD5 in Rat Liver cells with JMJD5 antibody at 20 ug/mL.

Applications for JMJD5 Antibody - BSA Free

Application
Recommended Usage

ELISA

1:100-1:2000

Immunocytochemistry/ Immunofluorescence

20 ug/ml

Immunohistochemistry

2.5 ug/ml

Immunohistochemistry-Paraffin

2.5 ug/ml

Western Blot

1-2 ug/ml

Reviewed Applications

Read 1 review rated 3 using NBP1-77074 in the following applications:

Formulation, Preparation, and Storage

Purification

Peptide affinity purified

Formulation

PBS

Format

BSA Free

Preservative

0.02% Sodium Azide

Concentration

1 mg/ml

Shipping

The product is shipped with polar packs. Upon receipt, store it immediately at the temperature recommended below.

Stability & Storage

Store at 4C short term. Aliquot and store at -20C long term. Avoid freeze-thaw cycles.

Background: JMJD5

The jumonji domain-containing protein (JMJD) family is defined by the presence of the JmjC domain that is observed in several diverse species. While several JMJD proteins have been identified as being involved in chromatin regulation, histone demethylation and development, the function of JMJD5 has not been identified. JMJD5 is expressed in multiple tissues.

Long Name

Bifunctional peptidase and arginyl-hydroxylase JMJD5

Alternate Names

EC 1.14.11.73, EC 3.4.-.-, KDM8

Entrez Gene IDs

79831 (Human)

Gene Symbol

KDM8

UniProt

Additional JMJD5 Products

Product Documents for JMJD5 Antibody - BSA Free

Certificate of Analysis

To download a Certificate of Analysis, please enter a lot number in the search box below.

Product Specific Notices for JMJD5 Antibody - BSA Free

This product is for research use only and is not approved for use in humans or in clinical diagnosis. Primary Antibodies are guaranteed for 1 year from date of receipt.

Loading...
Loading...
Loading...
Loading...