Skip to main content

Jak3 Antibody - BSA Free

Novus Biologicals, part of Bio-Techne | Catalog # NBP2-49629

Novus Biologicals, part of Bio-Techne
Catalog #
Availability
Size / Price
Qty
Loading...
NBP2-49629-25ul
NBP2-49629

Key Product Details

Validated by

Orthogonal Validation

Species Reactivity

Validated:

Human

Cited:

Human

Applications

Validated:

Immunohistochemistry, Immunohistochemistry-Paraffin

Cited:

IF/IHC

Label

Unconjugated

Antibody Source

Polyclonal Rabbit IgG

Format

BSA Free

Concentration

Concentrations vary lot to lot. See vial label for concentration. If unlisted please contact technical services.

Product Specifications

Immunogen

This antibody was developed against a recombinant protein corresponding to amino acids: ETFHVGLPGALGGHDGLGLLRVAGDGGIAWTQGEQEVLQPFCDFPEIVDISIKQAPRVGPAGEHRLVTVTRTDNQILEAEFPGL

Clonality

Polyclonal

Host

Rabbit

Isotype

IgG

Description

Novus Biologicals Rabbit Jak3 Antibody - BSA Free (NBP2-49629) is a polyclonal antibody validated for use in IHC. Anti-Jak3 Antibody: Cited in 1 publication. All Novus Biologicals antibodies are covered by our 100% guarantee.

Scientific Data Images for Jak3 Antibody - BSA Free

Immunohistochemistry-Paraffin: Jak3 Antibody [NBP2-49629]

Immunohistochemistry-Paraffin: Jak3 Antibody [NBP2-49629]

Immunohistochemistry-Paraffin: Jak3 Antibody [NBP2-49629] - Staining in human appendix and liver tissues using anti-JAK3 antibody. Corresponding JAK3 RNA-seq data are presented for the same tissues.
Immunohistochemistry-Paraffin: Jak3 Antibody [NBP2-49629]

Immunohistochemistry-Paraffin: Jak3 Antibody [NBP2-49629]

Immunohistochemistry-Paraffin: Jak3 Antibody [NBP2-49629] - Staining of human appendix shows high expression.
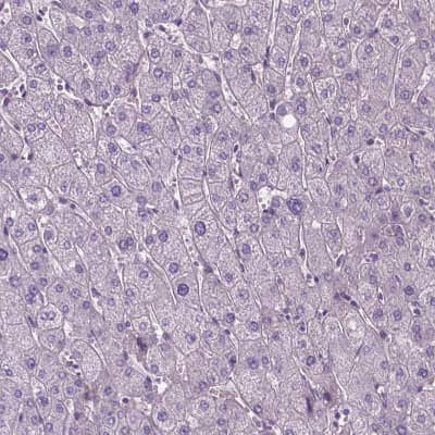
Immunohistochemistry-Paraffin: Jak3 Antibody [NBP2-49629]

Immunohistochemistry-Paraffin: Jak3 Antibody [NBP2-49629]

Immunohistochemistry-Paraffin: Jak3 Antibody [NBP2-49629] - Staining of human liver shows low expression as expected.

Applications for Jak3 Antibody - BSA Free

Application
Recommended Usage

Immunohistochemistry

1:1000 - 1:2500

Immunohistochemistry-Paraffin

1:1000 - 1:2500
Application Notes
For IHC-Paraffin, HIER pH 6 retrieval is recommended.

Formulation, Preparation, and Storage

Purification

Immunogen affinity purified

Formulation

PBS (pH 7.2) and 40% Glycerol

Format

BSA Free

Preservative

0.02% Sodium Azide

Concentration

Concentrations vary lot to lot. See vial label for concentration. If unlisted please contact technical services.

Shipping

The product is shipped with polar packs. Upon receipt, store it immediately at the temperature recommended below.

Stability & Storage

Store at 4C short term. Aliquot and store at -20C long term. Avoid freeze-thaw cycles.

Background: Jak3

Jak3 (Janus Kinase 3) belongs to the family of non-receptor Janus tyrosine kinases, which regulate a spectrum of cellular functions downstream of activated cytokine receptors in the lympho-hematopoietic system. Immunological stimuli, such as interferons and cytokines, induce recruitment of Stat transcription factors to cytokine receptor-associated JAK3. JAK3 then phosphorylates proximal Stat factors, which subsequently dimerize, translocate to the nucleus and bind to cis elements upstream of target gene promoters to regulate transcription. The canonical JAK/Stat pathway is integral to maintaining a normal immune system, stimulating proliferation, differentiation, survival and host resistance to pathogens. Altering JAK/Stat signaling to reduce cytokine induced pro-inflammatory responses represents an attractive target for anti-inflammatory therapies.

Alternate Names

JAKL, LJAK

Gene Symbol

JAK3

Additional Jak3 Products

Product Documents for Jak3 Antibody - BSA Free

Certificate of Analysis

To download a Certificate of Analysis, please enter a lot number in the search box below.

Product Specific Notices for Jak3 Antibody - BSA Free

This product is for research use only and is not approved for use in humans or in clinical diagnosis. Primary Antibodies are guaranteed for 1 year from date of receipt.

Loading...
Loading...
Loading...
Loading...