Skip to main content

JAB1 Antibody (OTI2B12) - Azide and BSA Free

Novus Biologicals, part of Bio-Techne | Catalog # NBP2-71659

Novus Biologicals, part of Bio-Techne

Key Product Details

Species Reactivity

Human, Mouse, Rat

Applications

Immunohistochemistry, Immunohistochemistry-Paraffin, Western Blot, Immunocytochemistry/ Immunofluorescence

Label

Unconjugated

Antibody Source

Monoclonal Mouse IgG1 Clone # OTI2B12

Format

Azide and BSA Free

Concentration

LYOPH mg/ml

Product Specifications

Immunogen

Full length human recombinant protein of human COPS5(NP_006828) produced in HEK293T cell.

Reactivity Notes

Please note that this antibody is reactive to Mouse and derived from the same host, Mouse. Mouse-On-Mouse blocking reagent may be needed for IHC and ICC experiments to reduce high background signal. You can find these reagents under catalog numbers PK-2200-NB and MP-2400-NB. Please contact Technical Support if you have any questions.

Clonality

Monoclonal

Host

Mouse

Isotype

IgG1

Theoretical MW

37.4 kDa.
Disclaimer note: The observed molecular weight of the protein may vary from the listed predicted molecular weight due to post translational modifications, post translation cleavages, relative charges, and other experimental factors.

Description

Novus Biologicals Mouse JAB1 Antibody (OTI2B12) - Azide and BSA Free (NBP2-01813) is a monoclonal antibody validated for use in IHC, WB and ICC/IF. All Novus Biologicals antibodies are covered by our 100% guarantee.

Scientific Data Images for JAB1 Antibody (OTI2B12) - Azide and BSA Free

Western Blot: JAB1 Antibody (OTI2B12)Azide and BSA Free [NBP2-71659]

Western Blot: JAB1 Antibody (OTI2B12)Azide and BSA Free [NBP2-71659]

Western Blot: JAB1 Antibody (OTI2B12) - Azide and BSA Free [NBP2-71659] - HEK293T cells were transfected with the pCMV6- ENTRY control (Left lane) or pCMV6-ENTRY COPS5 (RC200979, Right lane) cDNA for 48 hrs and lysed. Equivalent amounts of cell lysates (5 ug per lane) were separated by SDS-PAGE and immunoblotted with anti COPS
Immunocytochemistry/ Immunofluorescence: JAB1 Antibody (OTI2B12) - Azide and BSA Free [NBP2-71659]

Immunocytochemistry/ Immunofluorescence: JAB1 Antibody (OTI2B12) - Azide and BSA Free [NBP2-71659]

Immunocytochemistry/Immunofluorescence: JAB1 Antibody (OTI2B12) - Azide and BSA Free [NBP2-71659] - Staining of COS7 cells transiently transfected by pCMV6-ENTRY COPS5(RC200979).
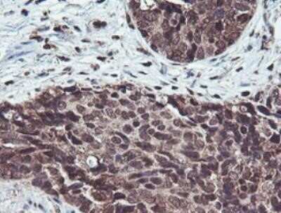
Immunohistochemistry: JAB1 Antibody (OTI2B12) - Azide and BSA Free [NBP2-71659]

Immunohistochemistry: JAB1 Antibody (OTI2B12) - Azide and BSA Free [NBP2-71659]

Immunohistochemistry: JAB1 Antibody (OTI2B12) - Azide and BSA Free [NBP2-71659] - Staining of paraffin-embedded Carcinoma of Human kidney tissue. Heat-induced epitope retrieval by 10mM citric buffer, pH6.0, 100C for 10min.

Applications for JAB1 Antibody (OTI2B12) - Azide and BSA Free

Application
Recommended Usage

Immunocytochemistry/ Immunofluorescence

1:100

Immunohistochemistry

1:150

Western Blot

1:2000

Formulation, Preparation, and Storage

Purification

Immunogen affinity purified

Reconstitution

we recommend adding 100uL distilled water to a final antibody concentration of about 1 mg/mL. To use this carrier-free antibody for conjugation experiment, we strongly recommend performing another round of desalting process.

Formulation

Lyophilized from PBS (pH 7.3) with 8% Trehalose

Format

Azide and BSA Free

Preservative

No Preservative

Concentration

LYOPH mg/ml

Shipping

The product is shipped with polar packs. Upon receipt, store it immediately at the temperature recommended below.

Stability & Storage

Store at -20C. Avoid freeze-thaw cycles.

Background: JAB1

The protein encoded by the JAB1 gene is one of the eight subunits of COP9 signalosome, a highly conserved protein complex that functions as an important regulator in multiple signaling pathways. The structure and function of COP9 signalosome is similar to that of the 19S regulatory particle of 26S proteasome. COP9 signalosome has been shown to interact with SCF-type E3 ubiquitin ligases and act as a positive regulator of E3 ubiquitin ligases. This protein is reported to be involved in the degradation of cyclin-dependent kinase inhibitor CDKN1B/p27Kip1. It is also known to be an coactivator that increases the specificity of JUN/AP1 transcription factors. (provided by RefSeq)

Long Name

Jun Activation Domain-binding Protein 1

Alternate Names

COPS5, CSN5, MOV-34, SGN5

Gene Symbol

COPS5

Additional JAB1 Products

Product Documents for JAB1 Antibody (OTI2B12) - Azide and BSA Free

Certificate of Analysis

To download a Certificate of Analysis, please enter a lot number in the search box below.

Product Specific Notices for JAB1 Antibody (OTI2B12) - Azide and BSA Free

This product is for research use only and is not approved for use in humans or in clinical diagnosis. Primary Antibodies are guaranteed for 1 year from date of receipt.

Loading...
Loading...
Loading...
Loading...
Loading...