Skip to main content

IZUMO1 Antibody - BSA Free

Novus Biologicals, part of Bio-Techne | Catalog # NBP1-83086

Novus Biologicals, part of Bio-Techne
Catalog #
Availability
Size / Price
Qty
Loading...
NBP1-83086
NBP1-83086-25ul

Key Product Details

Validated by

Orthogonal Validation

Species Reactivity

Validated:

Human, Porcine

Cited:

Human, Porcine

Applications

Validated:

Immunohistochemistry, Immunohistochemistry-Paraffin, Western Blot, Immunocytochemistry

Cited:

Western Blot, Immunocytochemistry

Label

Unconjugated

Antibody Source

Polyclonal Rabbit IgG

Format

BSA Free

Concentration

Concentrations vary lot to lot. See vial label for concentration. If unlisted please contact technical services.

Product Specifications

Immunogen

This antibody was developed against Recombinant Protein corresponding to amino acids: VVLALKSLEKDYLPGHLDAKHHKAMMERVENAVKDFQELSLNEDAYMGVVDEATLQKGSWSLLKDLKRITDSDVKGDLFVKELFWMLHLQKETFATYVARFQKEAYCPNKCGVMLQTLIWCKNCKKEVHACRKSYDCGERNVEVPQM

Reactivity Notes

Porcine reactivity reported from a verified customer review.

Clonality

Polyclonal

Host

Rabbit

Isotype

IgG

Description

Novus Biologicals Rabbit IZUMO1 Antibody - BSA Free (NBP1-83086) is a polyclonal antibody validated for use in IHC, WB and ICC/IF. Anti-IZUMO1 Antibody: Cited in 1 publication. All Novus Biologicals antibodies are covered by our 100% guarantee.

Scientific Data Images for IZUMO1 Antibody - BSA Free

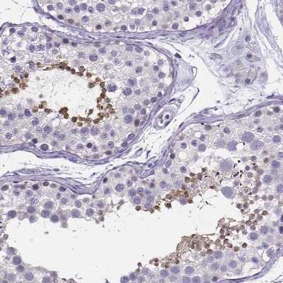
Immunohistochemistry-Paraffin: IZUMO1 Antibody [NBP1-83086]

Immunohistochemistry-Paraffin: IZUMO1 Antibody [NBP1-83086]

Immunohistochemistry-Paraffin: IZUMO1 Antibody [NBP1-83086] - Analysis in human testis and liver tissues. Corresponding IZUMO1 RNA-seq data are presented for the same tissues.
Western Blot: IZUMO1 Antibody [NBP1-83086]

Western Blot: IZUMO1 Antibody [NBP1-83086]

Western Blot: IZUMO1 Antibody [NBP1-83086] - Protein extracts from four different pig ejaculates and a human sample. Lanes F: fresh sperm. Lanes F-T: frozen-thawed sperm. Lanes H: human fresh sperm. Image submitted by a verified customer review.
Immunohistochemistry-Paraffin: IZUMO1 Antibody [NBP1-83086]

Immunohistochemistry-Paraffin: IZUMO1 Antibody [NBP1-83086]

Immunohistochemistry-Paraffin: IZUMO1 Antibody [NBP1-83086] - Staining of human liver shows no positivity in hepatocytes as expected.

Applications for IZUMO1 Antibody - BSA Free

Application
Recommended Usage

Immunohistochemistry

1:1000 - 1:2500

Immunohistochemistry-Paraffin

1:1000 - 1:2500

Western Blot

0.04-0.4 ug/ml
Application Notes
For IHC-Paraffin, HIER pH 6 retrieval is recommended. Use in Immunocytochemistry reported in scientific literature (PMID:31391940). IZUMO1 antibody validated for WB from a verified customer review.

Reviewed Applications

Read 1 review rated 5 using NBP1-83086 in the following applications:

Formulation, Preparation, and Storage

Purification

Affinity purified

Formulation

PBS (pH 7.2) and 40% Glycerol

Format

BSA Free

Preservative

0.02% Sodium Azide

Concentration

Concentrations vary lot to lot. See vial label for concentration. If unlisted please contact technical services.

Shipping

The product is shipped with polar packs. Upon receipt, store it immediately at the temperature recommended below.

Stability & Storage

Store at 4C short term. Aliquot and store at -20C long term. Avoid freeze-thaw cycles.

Background: IZUMO1

The sperm-specific protein Izumo, named for a Japanese shrine dedicated to marriage, is essential for sperm-egg plasmamembrane binding and fusion (Inoue et al., 2005 (PubMed 15759005)).(supplied by OMIM)

Long Name

Izumo Sperm-egg Fusion 1

Alternate Names

OBF

Gene Symbol

IZUMO1

Additional IZUMO1 Products

Product Documents for IZUMO1 Antibody - BSA Free

Certificate of Analysis

To download a Certificate of Analysis, please enter a lot number in the search box below.

Product Specific Notices for IZUMO1 Antibody - BSA Free

This product is for research use only and is not approved for use in humans or in clinical diagnosis. Primary Antibodies are guaranteed for 1 year from date of receipt.

Loading...
Loading...
Loading...
Loading...