Skip to main content

IVD Antibody - BSA Free

Novus Biologicals, part of Bio-Techne | Catalog # NBP3-35522

Catalog #
Availability
Size / Price
Qty
Loading...
NBP3-35522-100ul
NBP3-35522-20ul

Key Product Details

Species Reactivity

Human, Mouse, Rat

Applications

Immunohistochemistry, Immunohistochemistry-Paraffin, Western Blot, ELISA

Label

Unconjugated

Antibody Source

Polyclonal Rabbit IgG

Format

BSA Free

Concentration

Please see the vial label for concentration. If unlisted please contact technical services.

Product Specifications

Immunogen

Recombinant fusion protein containing a sequence corresponding to amino acids 33-200 of human IVD (NP_002216.2).

Sequence:
HSLLPVDDAINGLSEEQRQLRQTMAKFLQEHLAPKAQEIDRSNEFKNLREFWKQLGNLGVLGITAPVQYGGSGLGYLEHVLVMEEISRASGAVGLSYGAHSNLCINQLVRNGNEAQKEKYLPKLISGEYIGALAMSEPNAGSDVVSMKLKAEKKGNHYILNGNKFWIT

Clonality

Polyclonal

Host

Rabbit

Isotype

IgG

Theoretical MW

47 kDa.
Disclaimer note: The observed molecular weight of the protein may vary from the listed predicted molecular weight due to post translational modifications, post translation cleavages, relative charges, and other experimental factors.

Scientific Data Images for IVD Antibody - BSA Free

IVD Antibody

Immunohistochemistry: IVD Antibody [NBP3-35522] -

Immunohistochemistry: IVD Antibody [NBP3-35522] - Immunohistochemistry analysis of paraffin-embedded Mouse kidney using IVD Rabbit pAb at dilution of 1:100 (40x lens). Microwave antigen retrieval performed with 0.01M PBS Buffer (pH 7.2) prior to IHC staining.
IVD Antibody

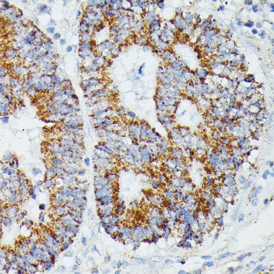
Immunohistochemistry: IVD Antibody [NBP3-35522] -

Immunohistochemistry: IVD Antibody [NBP3-35522] - Immunohistochemistry analysis of paraffin-embedded Human colon carcinoma using IVD Rabbit pAb at dilution of 1:100 (40x lens). Microwave antigen retrieval performed with 0.01M PBS Buffer (pH 7.2) prior to IHC staining.
IVD Antibody

Western Blot: IVD Antibody [NBP3-35522] -

Western Blot: IVD Antibody [NBP3-35522] - Western blot analysis of various lysates using IVD Rabbit pAb at 1:1000 dilution.
Secondary antibody: HRP-conjugated Goat anti-Rabbit IgG (H+L) at 1:10000 dilution.
Lysates/proteins: 25ug per lane.
Blocking buffer: 3% nonfat dry milk in TBST.
Detection: ECL Basic Kit.
Exposure time: 1S.

Applications for IVD Antibody - BSA Free

Application
Recommended Usage

Immunohistochemistry-Paraffin

1:50 - 1:200

Western Blot

1:200 - 1:2000

Formulation, Preparation, and Storage

Purification

Affinity purified

Formulation

PBS (pH 7.3), 50% glycerol

Format

BSA Free

Preservative

0.01% Thimerosal

Concentration

Please see the vial label for concentration. If unlisted please contact technical services.

Shipping

The product is shipped with polar packs. Upon receipt, store it immediately at the temperature recommended below.

Stability & Storage

Store at -20C. Avoid freeze-thaw cycles.

Background: IVD

Isovaleryl-CoA dehydrogenase (IVD) is a mitochondrial matrix enzyme that catalyzes the third step in leucine catabolism. The genetic deficiency of IVD results in an accumulation of isovaleric acid, which is toxic to the central nervous system and leads to isovaleric acidemia. Alternatively spliced transcript variants encoding different isoforms have been found for this gene. [provided by RefSeq]

Alternate Names

ACAD2, EC 1.3.99, EC 1.3.99.10, FLJ12715, FLJ34849, isovaleryl-CoA dehydrogenase, mitochondrial

Gene Symbol

IVD

Additional IVD Products

Product Documents for IVD Antibody - BSA Free

Certificate of Analysis

To download a Certificate of Analysis, please enter a lot number in the search box below.

Product Specific Notices for IVD Antibody - BSA Free

This product is for research use only and is not approved for use in humans or in clinical diagnosis. Primary Antibodies are guaranteed for 1 year from date of receipt.

Loading...
Loading...
Loading...
Loading...