Skip to main content

ISG15 Activating Enzyme/UBE1L Antibody (JE50-55)

Novus Biologicals, part of Bio-Techne | Catalog # NBP3-33075

Recombinant Monoclonal Antibody
Novus Biologicals, part of Bio-Techne
Catalog #
Availability
Size / Price
Qty
Loading...
NBP3-33075

Key Product Details

Species Reactivity

Human, Mouse, Rat

Applications

Immunohistochemistry, Immunohistochemistry-Paraffin, Western Blot

Label

Unconjugated

Antibody Source

Recombinant Monoclonal Rabbit IgG Clone # JE50-55 expressed in HEK293

Concentration

1 mg/ml

Product Specifications

Immunogen

Recombinant protein within Human ISG15 Activating Enzyme/UBE1L aa 1-100 / 1,012. (Uniprot: P41226)

Localization

Cytoplasm, cytosol, nucleoplasm, nucleus

Clonality

Monoclonal

Host

Rabbit

Isotype

IgG

Theoretical MW

112 kDa.
Disclaimer note: The observed molecular weight of the protein may vary from the listed predicted molecular weight due to post translational modifications, post translation cleavages, relative charges, and other experimental factors.

Description

Novus Biologicals Rabbit ISG15 Activating Enzyme/UBE1L Antibody (JE50-55) (NBP3-33075) is a recombinant monoclonal antibody validated for use in IHC and WB. All Novus Biologicals antibodies are covered by our 100% guarantee.

Scientific Data Images for ISG15 Activating Enzyme/UBE1L Antibody (JE50-55)

ISG15 Activating Enzyme/UBE1L Antibody (JE50-55)

Western Blot: ISG15 Activating Enzyme/UBE1L Antibody (JE50-55) [NBP3-33075]

Western Blot: ISG15 Activating Enzyme/UBE1L Antibody (JE50-55) [NBP3-33075] - Western blot analysis of ISG15 Activating Enzyme/UBE1L on THP-1 cell lysates with Rabbit anti-ISG15 Activating Enzyme/UBE1L antibody (NBP3-33075) at 1/1,000 dilution.

Lysates/proteins at 10 ug/Lane.

Predicted band size: 112 kDa
Observed band size: 112 kDa

Exposure time: 1 minute;

8% SDS-PAGE gel.

Proteins were transferred to a PVDF membrane and blocked with 5% NFDM/TBST for 1 hour at room temperature. The primary antibody (NBP3-33075) at 1/500 dilution was used in 5% NFDM/TBST at room temperature for 2 hours. Goat Anti-Rabbit IgG - HRP Secondary Antibody at 1:300,000 dilution was used for 1 hour at room temperature.
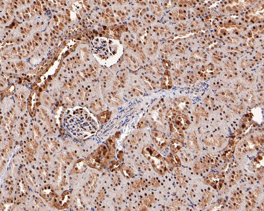
ISG15 Activating Enzyme/UBE1L Antibody (JE50-55)

Immunohistochemistry: ISG15 Activating Enzyme/UBE1L Antibody (JE50-55) [NBP3-33075]

Immunohistochemistry: ISG15 Activating Enzyme/UBE1L Antibody (JE50-55) [NBP3-33075] - Immunohistochemical analysis of paraffin-embedded rat kidney tissue with Rabbit anti-ISG15 Activating Enzyme/UBE1L antibody (NBP3-33075) at 1/1,000 dilution.

The section was pre-treated using heat mediated antigen retrieval with Tris-EDTA buffer (pH 9.0) for 20 minutes. The tissues were blocked in 1% BSA for 20 minutes at room temperature, washed with ddH2O and PBS, and then probed with the primary antibody (NBP3-33075) at 1/1,000 dilution for 1 hour at room temperature. The detection was performed using an HRP conjugated compact polymer system. DAB was used as the chromogen. Tissues were counterstained with hematoxylin and mounted with DPX.

Applications for ISG15 Activating Enzyme/UBE1L Antibody (JE50-55)

Application
Recommended Usage

Immunohistochemistry-Paraffin

1:1000

Western Blot

1:500

Formulation, Preparation, and Storage

Purification

Protein A purified

Formulation

1*TBS (pH7.4), 0.05% BSA and 40% Glycerol

Preservative

0.05% Sodium Azide

Concentration

1 mg/ml

Shipping

The product is shipped with polar packs. Upon receipt, store it immediately at the temperature recommended below.

Stability & Storage

Store at 4C short term. Aliquot and store at -20C long term. Avoid freeze-thaw cycles.

Background: ISG15 Activating Enzyme/UBE1L

The modification of proteins with ubiquitin is an important cellular mechanism for targeting abnormal or short-lived proteins for degradation. Ubiquitination involves at least three classes of enzymes: ubiquitin-activating enzymes, or E1s, ubiquitin-conjugating enzymes, or E2s, and ubiquitin-protein ligases, or E3s. This gene encodes a member of the E1 ubiquitin-activating enzyme family. The encoded enzyme is a retinoid target that triggers promyelocytic leukemia (PML)/retinoic acid receptor alpha (RARalpha) degradation and apoptosis in acute promyelocytic leukemia, where it is involved in the conjugation of the ubiquitin-like interferon-stimulated gene 15 protein.

Alternate Names

D8, UBA1B, UBA7, UBE2

Gene Symbol

UBA7

Additional ISG15 Activating Enzyme/UBE1L Products

Product Documents for ISG15 Activating Enzyme/UBE1L Antibody (JE50-55)

Certificate of Analysis

To download a Certificate of Analysis, please enter a lot number in the search box below.

Product Specific Notices for ISG15 Activating Enzyme/UBE1L Antibody (JE50-55)

This product is for research use only and is not approved for use in humans or in clinical diagnosis. Primary Antibodies are guaranteed for 1 year from date of receipt.

Loading...
Loading...
Loading...
Loading...