Skip to main content

IRGQ Antibody - BSA Free

Novus Biologicals, part of Bio-Techne | Catalog # NBP3-46457

Novus Biologicals, part of Bio-Techne
Catalog #
Availability
Size / Price
Qty
Loading...
NBP3-46457

Key Product Details

Species Reactivity

Human

Applications

ELISA, Immunohistochemistry, Western Blot

Label

Unconjugated

Antibody Source

Polyclonal Rabbit IgG

Format

BSA Free

Concentration

Please see the vial label for concentration. If unlisted please contact technical services.

Product Specifications

Immunogen

immunity-related GTPase family, Q. (Uniprot# Q8WZA9)

Clonality

Polyclonal

Host

Rabbit

Isotype

IgG

Theoretical MW

63 kDa.
Disclaimer note: The observed molecular weight of the protein may vary from the listed predicted molecular weight due to post translational modifications, post translation cleavages, relative charges, and other experimental factors.

Description

Novus Biologicals Rabbit IRGQ Antibody - BSA Free (NBP3-46457) is a polyclonal antibody validated for use in IHC, WB and ELISA. All Novus Biologicals antibodies are covered by our 100% guarantee.

Scientific Data Images for IRGQ Antibody - BSA Free

IRGQ Antibody - BSA Free

Western Blot: IRGQ Antibody - BSA Free [NBP3-46457] -

Western Blot: IRGQ Antibody - BSA Free [NBP3-46457] - A2780 cells were subjected to SDS PAGE followed by western blot with (IRGQ antibody) at dilution of 1:1000
IRGQ Antibody - BSA Free

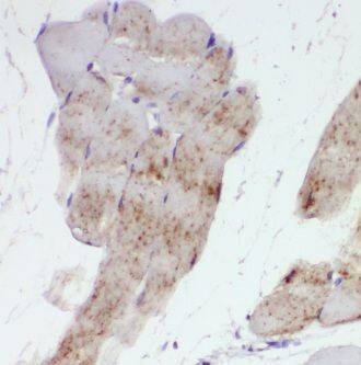
Immunohistochemistry: IRGQ Antibody - BSA Free [NBP3-46457] -

Immunohistochemistry: IRGQ Antibody - BSA Free [NBP3-46457] - Immunohistochemistry of paraffin-embedded human skeletal muscle slide using (IRGQ Antibody) at dilution of 1:50

Applications for IRGQ Antibody - BSA Free

Application
Recommended Usage

Immunohistochemistry

1:20-1:200

Western Blot

1:500-1:2000

Formulation, Preparation, and Storage

Purification

Immunogen affinity purified

Formulation

PBS, 50% Glycerol, pH (7.3)

Format

BSA Free

Preservative

0.02% Sodium Azide

Concentration

Please see the vial label for concentration. If unlisted please contact technical services.

Shipping

The product is shipped with polar packs. Upon receipt, store it immediately at the temperature recommended below.

Stability & Storage

Store at -20C. Avoid freeze-thaw cycles.

Background: IRGQ

Alternate Names

FKSG27, FLJ12521, FLJ38849, FLJ42796, FLJ46713, immunity-related GTPase family Q protein, immunity-related GTPase family, Q, immunity-related GTPase family, Q1, IRGQ1

Gene Symbol

IRGQ

Additional IRGQ Products

Product Documents for IRGQ Antibody - BSA Free

Certificate of Analysis

To download a Certificate of Analysis, please enter a lot number in the search box below.

Product Specific Notices for IRGQ Antibody - BSA Free

This product is for research use only and is not approved for use in humans or in clinical diagnosis. Primary Antibodies are guaranteed for 1 year from date of receipt.

Loading...
Loading...
Loading...
Loading...