Skip to main content

IRF5 Antibody

Novus Biologicals, part of Bio-Techne | Catalog # NB100-1092

Novus Biologicals, part of Bio-Techne
Catalog #
Availability
Size / Price
Qty
Loading...
NB100-1092

Key Product Details

Validated by

Knockout/Knockdown

Species Reactivity

Validated:

Human, Mouse

Cited:

Human, Mouse

Predicted:

Bovine (100%), Rat (100%). Backed by our 100% Guarantee.

Applications

Validated:

Western Blot, Peptide ELISA, Flow Cytometry, Chromatin Immunoprecipitation (ChIP), Knockdown Validated

Cited:

Western Blot, Flow Cytometry, Chemotaxis

Label

Unconjugated

Antibody Source

Polyclonal Goat IgG

Concentration

0.5 mg/ml

Product Specifications

Immunogen

Peptide with sequence C-QGPWPMHPAGMQ corresponding to C-Terminus according to NP_002191.1, NP_116032.1, NP_001092097.1, NP_001092099.1.

Reactivity Notes

Mouse reactivity reported in scientific literature (PMID: 22879997).

Specificity

This antibody is expected to recognize all four reported isoforms (NP_002191.1; NP_116032.1; NP_001092097.1; NP_001092099.1). Reported variants NP_001092100.1, NP_001092101.1, NP_001092098.1, NP_001092097.1 represent identical protein: Reported variants NP_116032.1, NP_001092100.1 represent identical protein

Clonality

Polyclonal

Host

Goat

Isotype

IgG

Theoretical MW

56 kDa.
Disclaimer note: The observed molecular weight of the protein may vary from the listed predicted molecular weight due to post translational modifications, post translation cleavages, relative charges, and other experimental factors.

Description

Novus Biologicals Goat IRF5 Antibody (NB100-1092) is a polyclonal antibody validated for use in WB, ELISA, Flow and ChIP. Anti-IRF5 Antibody: Cited in 9 publications. All Novus Biologicals antibodies are covered by our 100% guarantee.

Scientific Data Images for IRF5 Antibody

Western Blot: IRF5 Antibody [NB100-1092]

Western Blot: IRF5 Antibody [NB100-1092]

Western Blot: IRF5 Antibody [NB100-1092] - Western blot analysis of Human Spleen (A) and A549 cell lysate (B) + peptide (C), 35 ug protein in RIPA buffer. Antibody at 1 ug/mL. Detected by chemiluminescence
Western Blot: IRF5 Antibody [NB100-1092]

Western Blot: IRF5 Antibody [NB100-1092]

IRF5-Antibody-Western-Blot-NB100-1092-img0003.jpg
Western Blot: IRF5 Antibody [NB100-1092]

Western Blot: IRF5 Antibody [NB100-1092]

IRF5-Antibody-Western-Blot-NB100-1092-img0002.jpg

Applications for IRF5 Antibody

Application
Recommended Usage

Peptide ELISA

Detection limit 1:128000

Western Blot

0.3 - 1 ug/mL
Application Notes
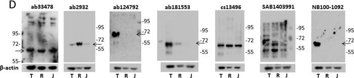
Western blot: Approx 55+60 kDa bands observed in Human spleen lysates and approx 65 kDa in lysates of cell line A549 (calculated MW of 57.8 kDa according to NP_001092099.1 and 56.0 kDa according to NP_116032.1; NP_001092097.2). Use in ChIP reported in scientific literature (PMID: 20237317). Use in Flow cytometry reported in scientific literature (PMID: 22879997).

Formulation, Preparation, and Storage

Purification

Immunogen affinity purified

Formulation

Tris saline (20 mM Tris pH 7.3, 150 mM NaCl), 0.5% BSA

Preservative

0.02% Sodium Azide

Concentration

0.5 mg/ml

Shipping

The product is shipped with polar packs. Upon receipt, store it immediately at the temperature recommended below.

Stability & Storage

Store at -20C. Avoid freeze-thaw cycles.

Background: IRF5

Interferon regulatory factors (IRFs) are transcription factors that possess a novel helix-turn-helix DNA-binding motif and mediate virus- and interferon (IFN)-induced signaling pathways. The IRF5 protein is structurally related to IRF6. Like other IRFs, IRF5 and IRF6 contain 5 conserved tryptophan residues in the 115-amino acid N-terminal DNA-binding domain. IRF5 has a central IRF association domain (IAD) and, like IRF7 and IRF8, is induced by IFNA/IFNB stimulation. IRF5 has a type I IFN transactivation potential similar to that of IRF1. IRF3 and IRF5 form heterodimers and are both required for effective induction of IFNA gene transcription.

Long Name

Interferon Regulatory Factor 5

Alternate Names

IBD14, interferon regulatory factor 5, IRF-5, SLEB10

Entrez Gene IDs

3663 (Human)

Gene Symbol

IRF5

UniProt

Additional IRF5 Products

Product Documents for IRF5 Antibody

Certificate of Analysis

To download a Certificate of Analysis, please enter a lot number in the search box below.

Product Specific Notices for IRF5 Antibody

This product is for research use only and is not approved for use in humans or in clinical diagnosis. Primary Antibodies are guaranteed for 1 year from date of receipt.

Loading...
Loading...
Loading...
Loading...
Loading...