Skip to main content

IRF3 Antibody (OTI2G3)

Novus Biologicals, part of Bio-Techne | Catalog # NBP1-47812

Novus Biologicals, part of Bio-Techne

Key Product Details

Species Reactivity

Human

Applications

Immunohistochemistry, Immunohistochemistry-Paraffin, Western Blot, Immunocytochemistry/ Immunofluorescence, Single Cell Western

Label

Unconjugated

Antibody Source

Monoclonal Mouse IgG2A Clone # OTI2G3

Concentration

1 mg/ml

Product Specifications

Immunogen

Full-length protein expressed in 293T cell transfected with human IRF3 expression vector

Specificity

This antibody is specific for Homo sapiens interferon regulatory factor 3 (IRF3).

Clonality

Monoclonal

Host

Mouse

Isotype

IgG2A

Theoretical MW

47.2 kDa.
Disclaimer note: The observed molecular weight of the protein may vary from the listed predicted molecular weight due to post translational modifications, post translation cleavages, relative charges, and other experimental factors.

Description

Novus Biologicals Mouse IRF3 Antibody (OTI2G3) (NBP1-47812) is a monoclonal antibody validated for use in IHC, WB and ICC/IF. All Novus Biologicals antibodies are covered by our 100% guarantee.

Scientific Data Images for IRF3 Antibody (OTI2G3)

Western Blot: IRF3 Antibody (OTI2G3) [NBP1-47812]

Western Blot: IRF3 Antibody (OTI2G3) [NBP1-47812]

Western Blot: IRF3 Antibody (2G3) [NBP1-47812] - HEK293T cells were transfected with the pCMV6-ENTRY control (Left lane) or pCMV6-ENTRY IRF3 (Right lane) cDNA for 48 hrs and lysed. Equivalent amounts of cell lysates (5 ug per lane) were separated by SDS-PAGE and immunoblotted with anti-IRF3.
Immunocytochemistry/Immunofluorescence: IRF3 Antibody (2G3) [NBP1-47812] Staining of COS7 cells transiently transfected by pCMV6-ENTRY IRF3.
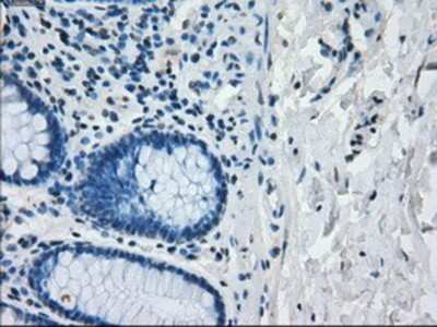
Immunohistochemistry-Paraffin: IRF3 Antibody (OTI2G3) [NBP1-47812]

Immunohistochemistry-Paraffin: IRF3 Antibody (OTI2G3) [NBP1-47812]

Immunohistochemistry-Paraffin: IRF3 Antibody (2G3) [NBP1-47812] - Staining of paraffin-embedded pancreas tissue using anti-IRF3 mouse monoclonal antibody.

Applications for IRF3 Antibody (OTI2G3)

Application
Recommended Usage

Immunocytochemistry/ Immunofluorescence

1:100

Immunohistochemistry

1:50

Immunohistochemistry-Paraffin

1:50

Single Cell Western

100 ug/ml

Western Blot

1:2000

Formulation, Preparation, and Storage

Purification

Immunogen affinity purified

Formulation

PBS (pH 7.3), 1.0% BSA and 50% Glycerol

Preservative

0.02% Sodium Azide

Concentration

1 mg/ml

Shipping

The product is shipped with polar packs. Upon receipt, store it immediately at the temperature recommended below.

Stability & Storage

Store at -20C. Avoid freeze-thaw cycles.

Background: IRF3

IRF3 encodes interferon regulatory factor 3, a member of the interferon regulatory transcription factor (IRF) family. IRF3 is found in an inactive cytoplasmic form that upon serine/threonine phosphorylation forms a complex with CREBBP. This complex translocates to the nucleus and activates the transcription of interferons alpha and beta, as well as other interferon-induced genes.

Long Name

Interferon Regulatory Factor 3

Alternate Names

interferon regulatory factor 3, IRF-3

Entrez Gene IDs

3661 (Human)

Gene Symbol

IRF3

Additional IRF3 Products

Product Documents for IRF3 Antibody (OTI2G3)

Certificate of Analysis

To download a Certificate of Analysis, please enter a lot number in the search box below.

Product Specific Notices for IRF3 Antibody (OTI2G3)

This product is for research use only and is not approved for use in humans or in clinical diagnosis. Primary Antibodies are guaranteed for 1 year from date of receipt.

Loading...
Loading...
Loading...
Loading...