IRF2BP2 Antibody - BSA Free
Novus Biologicals, part of Bio-Techne | Catalog # NBP1-93674
Key Product Details
Species Reactivity
Human, Mouse, Rat
Applications
Immunohistochemistry, Immunohistochemistry-Paraffin, Western Blot, Immunocytochemistry/ Immunofluorescence
Label
Unconjugated
Antibody Source
Polyclonal Rabbit IgG
Format
BSA Free
Concentration
Concentrations vary lot to lot. See vial label for concentration. If unlisted please contact technical services.
Product Specifications
Immunogen
This antibody was developed against Recombinant Protein corresponding to amino acids: QDWVNRPKTVRDTLLALHQHGHSGPFESKFKKEPALTAGRLLGFEANGANGSKAVARTARKRKPSPEPEGEVG
Clonality
Polyclonal
Host
Rabbit
Isotype
IgG
Scientific Data Images for IRF2BP2 Antibody - BSA Free
Western Blot: IRF2BP2 Antibody [NBP1-93674]
Western Blot: IRF2BP2 Antibody [NBP1-93674] - Analysis in mouse cell line NIH-3T3 and rat cell ine NBT-II.Western Blot: IRF2BP2 Antibody [NBP1-93674]
Western Blot: IRF2BP2 Antibody [NBP1-93674] - Analysis in human cell line THP-1.Immunohistochemistry-Paraffin: IRF2BP2 Antibody [NBP1-93674]
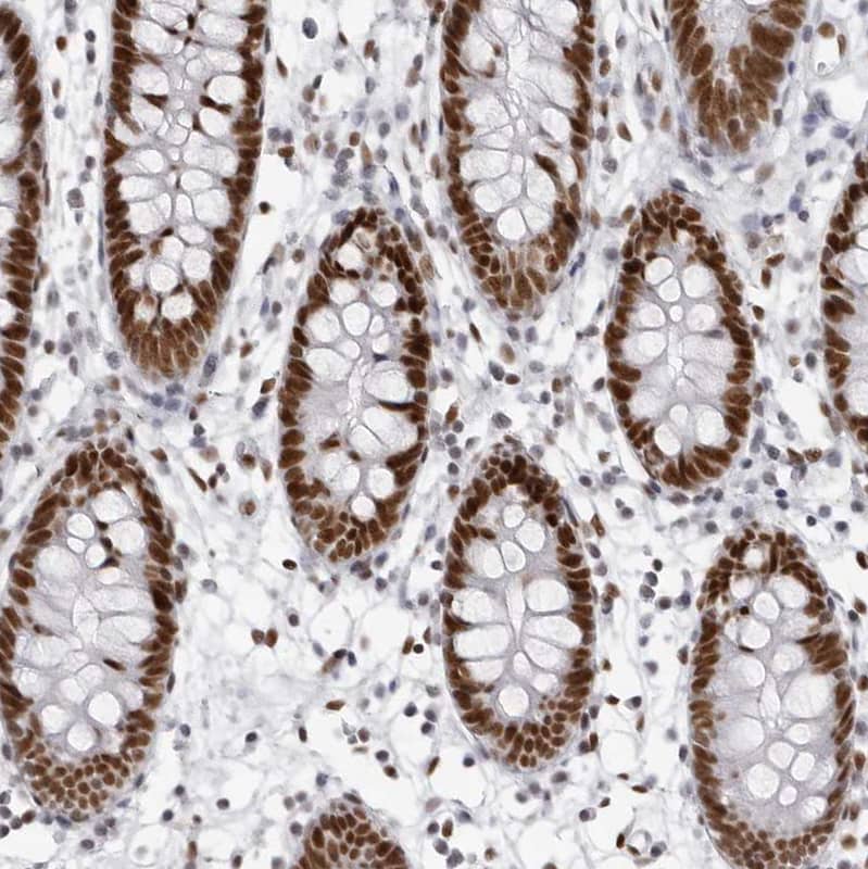
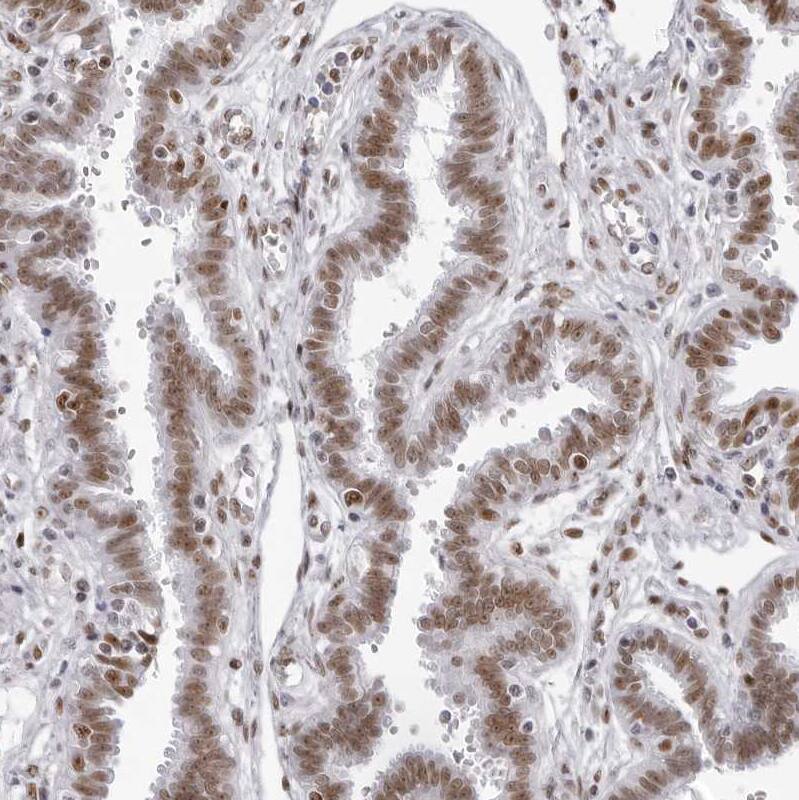
Immunohistochemistry-Paraffin: IRF2BP2 Antibody [NBP1-93674] - Staining of human colon shows strong nuclear positivity in glandular cells.Applications for IRF2BP2 Antibody - BSA Free
Application
Recommended Usage
Immunocytochemistry/ Immunofluorescence
0.25-2 ug/ml
Immunohistochemistry
1:500 - 1:1000
Immunohistochemistry-Paraffin
1:500 - 1:1000
Western Blot
0.04-0.4 ug/ml
Application Notes
IHC-Paraffin, HIER pH 6 retrieval is recommended. ICC/IF, Fixation Permeabilization: Use PFA/Triton X-100.
Formulation, Preparation, and Storage
Purification
Affinity purified
Formulation
PBS (pH 7.2) and 40% Glycerol
Format
BSA Free
Preservative
0.02% Sodium Azide
Concentration
Concentrations vary lot to lot. See vial label for concentration. If unlisted please contact technical services.
Shipping
The product is shipped with polar packs. Upon receipt, store it immediately at the temperature recommended below.
Stability & Storage
Store at 4C short term. Aliquot and store at -20C long term. Avoid freeze-thaw cycles.
Background: IRF2BP2
Alternate Names
interferon regulatory factor 2 binding protein 2, IRF-2-binding protein 2
Gene Symbol
IRF2BP2
Additional IRF2BP2 Products
Product Documents for IRF2BP2 Antibody - BSA Free
Product Specific Notices for IRF2BP2 Antibody - BSA Free
This product is for research use only and is not approved for use in humans or in clinical diagnosis. Primary Antibodies are guaranteed for 1 year from date of receipt.
Loading...
Loading...
Loading...
Loading...