Skip to main content

IRE1 alpha Antibody (10B2B2) - Azide and BSA Free

Novus Biologicals, part of Bio-Techne | Catalog # NBP3-05787

Novus Biologicals, part of Bio-Techne
Catalog #
Availability
Size / Price
Qty
Loading...
NBP3-05787-100ul
NBP3-05787-50ul
Conjugate
Catalog #

Key Product Details

Species Reactivity

Human

Applications

Immunohistochemistry, Immunohistochemistry-Paraffin, ELISA

Label

Unconjugated

Antibody Source

Monoclonal Mouse IgG2B Clone # 10B2B2

Format

Azide and BSA Free

Concentration

Please see the vial label for concentration. If unlisted please contact technical services.

Product Specifications

Immunogen

This antibody was produced from a hybridoma resulting from the fusion of a mouse myeloma with B cells obtained from a mouse immunized with purified, recombinant Human IRE1 alpha (Uniprot#: O75460-1; Pro 465-Leu 977).

Reactivity Notes

No cross-reactivity in ELISA with:

Insect cell lysate

Specificity

No cross-reactivity in ELISA with: Insect cell lysate

Clonality

Monoclonal

Host

Mouse

Isotype

IgG2B

Description

This antibody can be stored at 2C-8C for one month without detectable loss of activity. Antibody products are stable for twelve months from date of receipt when stored at -20C to -80C. Avoid repeated freeze-thaw cycles.

Scientific Data Images for IRE1 alpha Antibody (10B2B2) - Azide and BSA Free

IRE1 alpha Antibody (10B2B2) - Azide and BSA Free

Immunohistochemistry-Paraffin: IRE1 alpha Antibody (10B2B2) [NBP3-05787] -

Immunohistochemistry-Paraffin: IRE1 alpha Antibody (10B2B2) [NBP3-05787] - Immunochemical staining of human IRE1 alpha in human epididymis with NBP3-05787 (1:100, formalin-fixed paraffin embedded sections).
IRE1 alpha Antibody (10B2B2) - Azide and BSA Free

Immunohistochemistry-Paraffin: IRE1 alpha Antibody (10B2B2) [NBP3-05787] -

Immunohistochemistry-Paraffin: IRE1 alpha Antibody (10B2B2) [NBP3-05787] - Immunochemical staining of human IRE1 alpha in human tonsil with NBP3-05787 (1:300, formalin-fixed paraffin embedded sections).
IRE1 alpha Antibody (10B2B2) - Azide and BSA Free

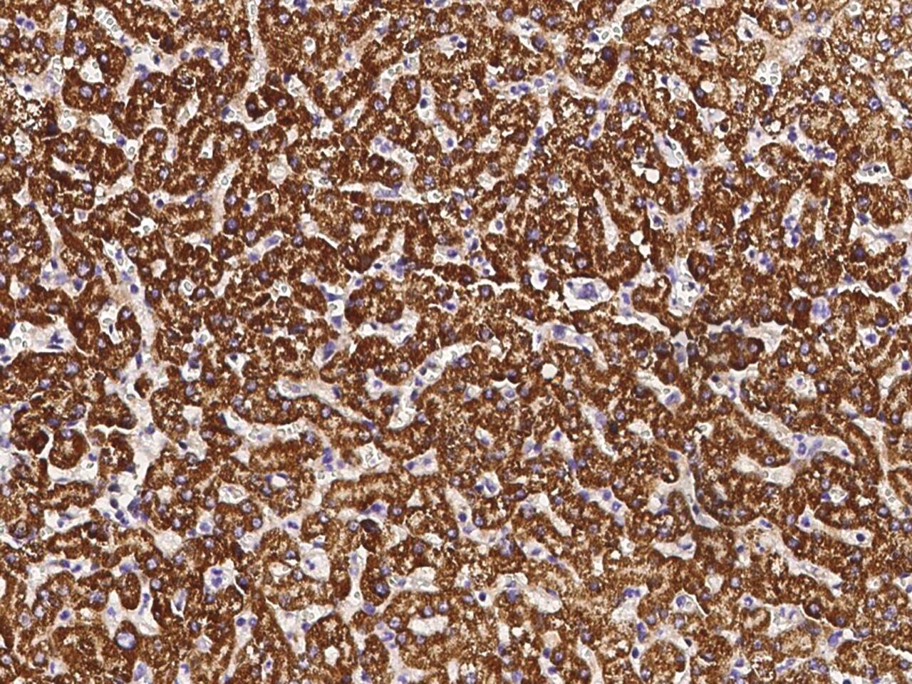
Immunohistochemistry-Paraffin: IRE1 alpha Antibody (10B2B2) [NBP3-05787] -

Immunohistochemistry-Paraffin: IRE1 alpha Antibody (10B2B2) [NBP3-05787] - Immunochemical staining of human IRE1 alpha in human liver with NBP3-05787 (1:300, formalin-fixed paraffin embedded sections).

Applications for IRE1 alpha Antibody (10B2B2) - Azide and BSA Free

Application
Recommended Usage

ELISA

1:1000-1:2000

Immunohistochemistry-Paraffin

1:100-1:500

Formulation, Preparation, and Storage

Purification

Protein A purified

Formulation

0.2 um filtered solution in PBS

Format

Azide and BSA Free

Preservative

No Preservative

Concentration

Please see the vial label for concentration. If unlisted please contact technical services.

Shipping

The product is shipped with polar packs. Upon receipt, store it immediately at the temperature recommended below.

Stability & Storage

Store at 4C short term. Aliquot and store at -20C long term. Avoid freeze-thaw cycles.

Background: IRE1 alpha

Accumulation of misfolded proteins in the endoplasmic reticulum (ER) activates the unfolded protein response (UPR) and upregulates ER molecular chaperones in order to cope with ER stress. UPR is initiated by three ER-localized protein sensors: PERK (PKR-like ER kinase), ATF (activating transcription factor 6), and IRE1 alpha (inositol-requiring enzyme 1 alpha) (1). IRE1 alpha is correlated with X-box binding protein (XBP1) as a potent UPR transcriptional activator (2).

Transcriptional activation of UPR-responsive genes are regulated by the ATF6 and IRE1-XBP1 pathways, which are often regulated by HIFs and contribute to cell survival under ER hypoxic stress (3). UPR signaling can a) inhibit protein translation to restore cell function, b) activate signaling to increase production of molecular chaperones for protein folding, and c) initiate ubiquitination signaling that leads to degradation of misfolded proteins in ER.

IRE1 alpha acts as the sensor of unfolded proteins in the ER. IRE1 alpha not only promotes cell survival but can initiate apoptosis when accumulation of unfolded proteins in the ER causes stress. IRE1 alpha is essential for viability under stress conditions that cause unfolded proteins to accumulate in the ER. IRE1 alpha is a transmembrane protein that has both serine-threonine kinase and endoribonuclease activities and has a theoretical molecular weight of 110 kDa. When detecting phospho-IRE1 alpha, it is recommended to normalize its band intensity with total IRE1 alpha.

References

1. Zheng, W., Xie, W., Yin, D., Luo, R., Liu, M., & Guo, F. (2019). ATG5 and ATG7 induced autophagy interplays with UPR via PERK signaling. Cell Commun Signal, 17(1), 42. doi:10.1186/s12964-019-0353-3

2. Cho, Y. M., Kim, D. H., Lee, K. H., Jeong, S. W., & Kwon, O. J. (2018). The IRE1alpha-XBP1s pathway promotes insulin-stimulated glucose uptake in adipocytes by increasing PPARgamma activity. Exp Mol Med, 50(8), 102. doi:10.1038/s12276-018-0131-0

3. Xia, Z., Wu, S., Wei, X., Liao, Y., Yi, P., Liu, Y., . . . Liu, J. (2019). Hypoxic ER stress suppresses beta-catenin expression and promotes cooperation between the transcription factors XBP1 and HIF1alpha for cell survival. J Biol Chem, 294(37), 13811-13821. doi:10.1074/jbc.RA119.008353

Long Name

Serine/threonine-protein kinase/endoribonuclease IRE1

Alternate Names

ERN1, hIRE1p, IRE1, Ire1-alpha

Gene Symbol

ERN1

Additional IRE1 alpha Products

Product Documents for IRE1 alpha Antibody (10B2B2) - Azide and BSA Free

Certificate of Analysis

To download a Certificate of Analysis, please enter a lot number in the search box below.

Product Specific Notices for IRE1 alpha Antibody (10B2B2) - Azide and BSA Free

This product is for research use only and is not approved for use in humans or in clinical diagnosis. Primary Antibodies are guaranteed for 1 year from date of receipt.

Loading...
Loading...
Loading...
Loading...