Skip to main content

IRAK2 Antibody - BSA Free

Novus Biologicals, part of Bio-Techne | Catalog # NBP2-38629

Novus Biologicals, part of Bio-Techne
Catalog #
Availability
Size / Price
Qty
Loading...
NBP2-38629
NBP2-38629-25ul

Key Product Details

Species Reactivity

Human

Applications

Immunocytochemistry/ Immunofluorescence, Immunohistochemistry, Immunohistochemistry-Paraffin

Label

Unconjugated

Antibody Source

Polyclonal Rabbit IgG

Format

BSA Free

Concentration

Concentrations vary lot to lot. See vial label for concentration. If unlisted please contact technical services.

Product Specifications

Immunogen

This antibody was developed against a recombinant protein corresponding to amino acids: AFLQPPEEDAPHSLRSDLPTSSDSKDFSTSIPKQEKLLSLAGDSLFWSEADVVQATDDFNQNRKISQGTFADVYRGHRHGKPFVFKKL

Clonality

Polyclonal

Host

Rabbit

Isotype

IgG

Description

Novus Biologicals Rabbit IRAK2 Antibody - BSA Free (NBP2-38629) is a polyclonal antibody validated for use in IHC and ICC/IF. All Novus Biologicals antibodies are covered by our 100% guarantee.

Scientific Data Images for IRAK2 Antibody - BSA Free

Immunocytochemistry/ Immunofluorescence: IRAK2 Antibody [NBP2-38629]

Immunocytochemistry/ Immunofluorescence: IRAK2 Antibody [NBP2-38629]

Immunocytochemistry/Immunofluorescence: IRAK2 Antibody [NBP2-38629] - Staining of human cell line U-2 OS shows localization to vesicles.
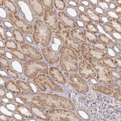
Immunohistochemistry: IRAK2 Antibody [NBP2-38629]

Immunohistochemistry: IRAK2 Antibody [NBP2-38629]

Immunohistochemistry: IRAK2 Antibody [NBP2-38629] - Staining of human kidney shows moderate cytoplasmic positivity in cells in tubules.

Applications for IRAK2 Antibody - BSA Free

Application
Recommended Usage

Immunocytochemistry/ Immunofluorescence

0.25-2 ug/ml

Immunohistochemistry

1:50 - 1:200

Immunohistochemistry-Paraffin

1:50 - 1:200
Application Notes
For IHC-Paraffin, HIER pH 6 retrieval is recommended. Immunocytochemistry/Immunofluorescence Fixation Permeabilization: Use PFA/Triton X-100.

Formulation, Preparation, and Storage

Purification

Immunogen affinity purified

Formulation

PBS (pH 7.2) and 40% Glycerol

Format

BSA Free

Preservative

0.02% Sodium Azide

Concentration

Concentrations vary lot to lot. See vial label for concentration. If unlisted please contact technical services.

Shipping

The product is shipped with polar packs. Upon receipt, store it immediately at the temperature recommended below.

Stability & Storage

Store at 4C short term. Aliquot and store at -20C long term. Avoid freeze-thaw cycles.

Background: IRAK2

IRAK2 encodes the interleukin-1 receptor-associated kinase 2, one of two putative serine/threonine kinases that become associated with the interleukin-1 receptor (IL1R) upon stimulation. IRAK2 is reported to participate in the IL1-induced upregulation of NF-kappaB. The pro-inflammatory cytokine IL-1 induces cellular response through two subunits of its receptor, IL-1 receptor I (IL-1RI) and IL-1 receptor accessory protein (IL-1RAcP). IL-1 receptor-associated kinase (IRAK) mediates activation of NF-kB, which is a pivotal transcription factor mediating inflammatory and immune response. A novel member in the IRAK/Pelle family was recently identified and designated IRAK2 (1). Both IRAK and IRAK2 recruit to the subunits of the IL-1R complex after IL-1 binding and lead to NF-kB activation. IRAKs also associate with Toll-like receptor (TLR) and the dominant negative mutants of IRAKs inhibit LPS-induced NF-kB activation (2,3).Members in IRAK/Pelle family play a central role in IL-1R and TLR mediated inflammatory response. IRAK2 is expressed in a variety of human tissues.

Long Name

Interleukin-1 Receptor-Associated Kinase 2

Alternate Names

interleukin-1 receptor associated kinase-2, interleukin-1 receptor-associated kinase 2, interleukin-1 receptor-associated kinase-like 2, IRAK-2, MGC150550

Gene Symbol

IRAK2

UniProt

Additional IRAK2 Products

Product Documents for IRAK2 Antibody - BSA Free

Certificate of Analysis

To download a Certificate of Analysis, please enter a lot number in the search box below.

Product Specific Notices for IRAK2 Antibody - BSA Free

This product is for research use only and is not approved for use in humans or in clinical diagnosis. Primary Antibodies are guaranteed for 1 year from date of receipt.

Loading...
Loading...
Loading...
Loading...