Skip to main content

IQGAP2 Antibody (JE64-93)

Novus Biologicals, part of Bio-Techne | Catalog # NBP3-32481

Recombinant Monoclonal Antibody
Novus Biologicals, part of Bio-Techne
Catalog #
Availability
Size / Price
Qty
Loading...
NBP3-32481

Key Product Details

Species Reactivity

Human

Applications

Immunohistochemistry, Immunohistochemistry-Paraffin, Western Blot

Label

Unconjugated

Antibody Source

Recombinant Monoclonal Rabbit IgG Clone # JE64-93 expressed in HEK293

Concentration

1 mg/ml

Product Specifications

Immunogen

Recombinant protein within human IQGAP2 aa 1,301-1,500/1,575. (Uniprot: Q13576)

Localization

Actin cytoskeleton, microtubule, cytosol, extracellular exosome, plasma membrane, cell surface, cytoplasm, filopodium, lamellipodium, microvillus, secretory granule membrane

Clonality

Monoclonal

Host

Rabbit

Isotype

IgG

Theoretical MW

181 kDa.
Disclaimer note: The observed molecular weight of the protein may vary from the listed predicted molecular weight due to post translational modifications, post translation cleavages, relative charges, and other experimental factors.

Description

Novus Biologicals Rabbit IQGAP2 Antibody (JE64-93) (NBP3-32481) is a recombinant monoclonal antibody validated for use in IHC and WB. All Novus Biologicals antibodies are covered by our 100% guarantee.

Scientific Data Images for IQGAP2 Antibody (JE64-93)

IQGAP2 Antibody (JE64-93)

Western Blot: IQGAP2 Antibody (JE64-93) [NBP3-32481]

Western Blot: IQGAP2 Antibody (JE64-93) [NBP3-32481] - Western blot analysis of IQGAP2 on human placenta tissue lysates with Rabbit anti-IQGAP2 antibody (NBP3-32481) at 1/5,000 dilution.

Lysates/proteins at 10 ug/Lane.

Predicted band size: 181 kDa
Observed band size: 181 kDa

Exposure time: 1 minute;

6% SDS-PAGE gel.

Proteins were transferred to a PVDF membrane and blocked with 5% NFDM/TBST for 1 hour at room temperature. The primary antibody (NBP3-32481) at 1/5,000 dilution was used in 5% NFDM/TBST at room temperature for 2 hours. Goat Anti-Rabbit IgG - HRP Secondary Antibody at 1:300,000 dilution was used for 1 hour at room temperature.
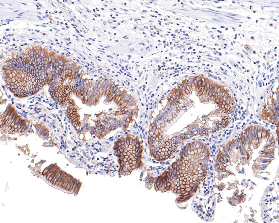
IQGAP2 Antibody (JE64-93)

Immunohistochemistry: IQGAP2 Antibody (JE64-93) [NBP3-32481]

Immunohistochemistry: IQGAP2 Antibody (JE64-93) [NBP3-32481] - Immunohistochemical analysis of paraffin-embedded human gallbladder tissue with Rabbit anti-IQGAP2 antibody (NBP3-32481) at 1/100 dilution.

The section was pre-treated using heat mediated antigen retrieval with Tris-EDTA buffer (pH 9.0) for 20 minutes. The tissues were blocked in 1% BSA for 20 minutes at room temperature, washed with ddH2O and PBS, and then probed with the primary antibody (NBP3-32481) at 1/100 dilution for 1 hour at room temperature. The detection was performed using an HRP conjugated compact polymer system. DAB was used as the chromogen. Tissues were counterstained with hematoxylin and mounted with DPX.

Applications for IQGAP2 Antibody (JE64-93)

Application
Recommended Usage

Immunohistochemistry-Paraffin

1:100

Western Blot

1:1000-1:5000

Formulation, Preparation, and Storage

Purification

Protein A purified

Formulation

1*TBS (pH7.4), 0.05% BSA and 40% Glycerol

Preservative

0.05% Sodium Azide

Concentration

1 mg/ml

Shipping

The product is shipped with polar packs. Upon receipt, store it immediately at the temperature recommended below.

Stability & Storage

Store at 4C short term. Aliquot and store at -20C long term. Avoid freeze-thaw cycles.

Background: IQGAP2

The IQGAP2 gene encodes a member of the IQGAP family. The protein contains three IQ domains, one calponin homology domain, one Ras-GAP domain and one WW domain. It interacts with components of the cytoskeleton, with cell adhesion molecules, and with several sig

Long Name

IQ Motif Containing GTPase Activating Protein 2

Alternate Names

IQ motif containing GTPase activating protein 2, ras GTPase-activating-like protein IQGAP2

Gene Symbol

IQGAP2

Additional IQGAP2 Products

Product Documents for IQGAP2 Antibody (JE64-93)

Certificate of Analysis

To download a Certificate of Analysis, please enter a lot number in the search box below.

Product Specific Notices for IQGAP2 Antibody (JE64-93)

This product is for research use only and is not approved for use in humans or in clinical diagnosis. Primary Antibodies are guaranteed for 1 year from date of receipt.

Loading...
Loading...
Loading...
Loading...