Skip to main content

IQGAP1 Antibody - BSA Free

Novus Biologicals, part of Bio-Techne | Catalog # NBP3-21443

Novus Biologicals, part of Bio-Techne

Key Product Details

Species Reactivity

Human

Applications

Immunohistochemistry-Paraffin

Label

Unconjugated

Antibody Source

Polyclonal Rabbit IgG

Format

BSA Free

Concentration

Please see the vial label for concentration. If unlisted please contact technical services.

Product Specifications

Immunogen

Produced in rabbits immunized with E. coli-derived Human IQGAP1 fragment

Clonality

Polyclonal

Host

Rabbit

Isotype

IgG

Description

This antibody can be stored at 2-8C for one month without detectable loss of activity. Antibody products are stable for twelve months from date of receipt when stored at -20C to -80C.

Scientific Data Images for IQGAP1 Antibody - BSA Free

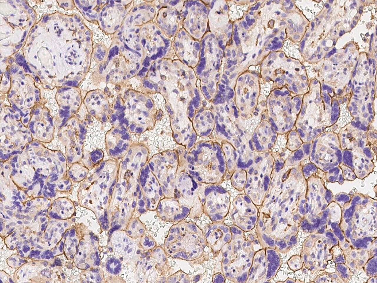
IQGAP1 Antibody Immunohistochemistry-Paraffin: IQGAP1 Antibody [NBP3-21443]

Immunohistochemistry-Paraffin: IQGAP1 Antibody [NBP3-21443]

Immunochemical staining of IQGAP1 in human kidney formalin-fixed paraffin embedded sections with NBP3-21443 at 1:500 dilution
IQGAP1 Antibody Immunohistochemistry-Paraffin: IQGAP1 Antibody [NBP3-21443]

Immunohistochemistry-Paraffin: IQGAP1 Antibody [NBP3-21443]

Immunochemical staining of IQGAP1 in human placenta formalin-fixed paraffin embedded sections with NBP3-21443 at 1:500 dilution

Applications for IQGAP1 Antibody - BSA Free

Application
Recommended Usage

Immunohistochemistry-Paraffin

1:200-1:1000

Formulation, Preparation, and Storage

Purification

Antigen and protein A Affinity-purified

Formulation

PBS, pH 7.0

Format

BSA Free

Preservative

0.03% Proclin 300

Concentration

Please see the vial label for concentration. If unlisted please contact technical services.

Shipping

The product is shipped with polar packs. Upon receipt, store it immediately at the temperature recommended below.

Stability & Storage

Store at 4C short term. Aliquot and store at -20C long term. Avoid freeze-thaw cycles.

Background: IQGAP1

IQGAP1 encodes a member of the IQGAP family. The protein contains four IQ domains, one calponin homology domain, one Ras-GAP domain and one WW domain. It interacts with components of the cytoskeleton, with cell adhesion molecules, and with several signaling molecules to regulate cell morphology and motility. Expression of the protein is upregulated by gene amplification in two gastric cancer cell lines.

Long Name

IQ Motif Containing GTPase Activating Protein 1

Alternate Names

p195, SAR1

Gene Symbol

IQGAP1

Additional IQGAP1 Products

Product Documents for IQGAP1 Antibody - BSA Free

Certificate of Analysis

To download a Certificate of Analysis, please enter a lot number in the search box below.

Product Specific Notices for IQGAP1 Antibody - BSA Free

This product is for research use only and is not approved for use in humans or in clinical diagnosis. Primary Antibodies are guaranteed for 1 year from date of receipt.

Loading...
Loading...
Loading...
Loading...