Skip to main content

IQGAP1 Antibody (JE50-66)

Novus Biologicals, part of Bio-Techne | Catalog # NBP3-32479

Recombinant Monoclonal Antibody
Novus Biologicals, part of Bio-Techne
Catalog #
Availability
Size / Price
Qty
Loading...
NBP3-32479

Key Product Details

Species Reactivity

Human, Mouse, Rat

Applications

Flow Cytometry, Immunocytochemistry/ Immunofluorescence, Immunohistochemistry, Immunohistochemistry-Paraffin, Western Blot

Label

Unconjugated

Antibody Source

Recombinant Monoclonal Rabbit IgG Clone # JE50-66 expressed in HEK293

Concentration

1 mg/ml

Product Specifications

Immunogen

Synthetic peptide within Human IQGAP1 aa 1-50 / 1,657. (Uniprot: P46940)

Localization

Cell membrane, Nucleus, Cytoplasm, Apical cell membrane, Basolateral cell membrane.

Clonality

Monoclonal

Host

Rabbit

Isotype

IgG

Description

Novus Biologicals Rabbit IQGAP1 Antibody (JE50-66) (NBP3-32479) is a recombinant monoclonal antibody validated for use in IHC, WB, Flow and ICC/IF. All Novus Biologicals antibodies are covered by our 100% guarantee.

Scientific Data Images for IQGAP1 Antibody (JE50-66)

IQGAP1 Antibody (JE50-66)

Western Blot: IQGAP1 Antibody (JE50-66) [NBP3-32479]

Western Blot: IQGAP1 Antibody (JE50-66) [NBP3-32479] - Western blot analysis of IQGAP1 on different lysates with Rabbit anti-IQGAP1 antibody (NBP3-32479) at 1/2,000 dilution.

Lane 1: HeLa cell lysate
Lane 2: 293T cell lysate
Lane 3: MDA-MB-231 cell lysate
Lane 4: RAW264.7 cell lysate
Lane 5: NIH/3T3 cell lysate
Lane 6: C6 cell lysate

Lysates/proteins at 20 ug/Lane.

Predicted band size: 189 kDa
Observed band size: 189 kDa

Exposure time: 1 minute 40 second;

4-20% SDS-PAGE gel.

Proteins were transferred to a PVDF membrane and blocked with 5% NFDM/TBST for 1 hour at room temperature. The primary antibody (NBP3-32479) at 1/2,000 dilution was used in 5% NFDM/TBST at 4 overnight. Goat Anti-Rabbit IgG - HRP Secondary Antibody at 1/50,000 dilution was used for 1 hour at room temperature.
IQGAP1 Antibody (JE50-66)

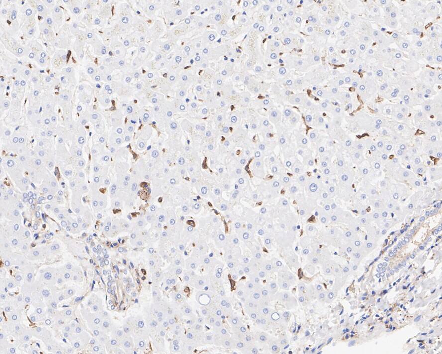
Immunohistochemistry: IQGAP1 Antibody (JE50-66) [NBP3-32479]

Immunohistochemistry: IQGAP1 Antibody (JE50-66) [NBP3-32479] - Immunohistochemical analysis of paraffin-embedded human liver tissue with Rabbit anti-IQGAP1 antibody (NBP3-32479) at 1/4,000 dilution.

The section was pre-treated using heat mediated antigen retrieval with Tris-EDTA buffer (pH 9.0) for 20 minutes. The tissues were blocked in 1% BSA for 20 minutes at room temperature, washed with ddH2O and PBS, and then probed with the primary antibody (NBP3-32479) at 1/4,000 dilution for 1 hour at room temperature. The detection was performed using an HRP conjugated compact polymer system. DAB was used as the chromogen. Tissues were counterstained with hematoxylin and mounted with DPX.
IQGAP1 Antibody (JE50-66)

Immunocytochemistry/ Immunofluorescence: IQGAP1 Antibody (JE50-66) [NBP3-32479]

Immunocytochemistry/ Immunofluorescence: IQGAP1 Antibody (JE50-66) [NBP3-32479] - Immunocytochemistry analysis of HeLa cells labeling IQGAP1 with Rabbit anti-IQGAP1 antibody (NBP3-32479) at 1/100 dilution.

Cells were fixed in 4% paraformaldehyde for 20 minutes at room temperature, permeabilized with 0.1% Triton X-100 in PBS for 5 minutes at room temperature, then blocked with 1% BSA in 10% negative goat serum for 1 hour at room temperature. Cells were then incubated with Rabbit anti-IQGAP1 antibody (NBP3-32479) at 1/100 dilution in 1% BSA in PBST overnight at 4 ℃. Goat Anti-Rabbit IgG H&L (iFluor™ 488) was used as the secondary antibody at 1/1,000 dilution. PBS instead of the primary antibody was used as the secondary antibody only control. Nuclear DNA was labelled in blue with DAPI.

Applications for IQGAP1 Antibody (JE50-66)

Application
Recommended Usage

Flow Cytometry

1:1000

Immunocytochemistry/ Immunofluorescence

1:100

Immunohistochemistry-Paraffin

1:4000

Western Blot

1:2000

Formulation, Preparation, and Storage

Purification

Protein A purified

Formulation

1*TBS (pH7.4), 0.05% BSA and 40% Glycerol

Preservative

0.05% Sodium Azide

Concentration

1 mg/ml

Shipping

The product is shipped with polar packs. Upon receipt, store it immediately at the temperature recommended below.

Stability & Storage

Store at 4C short term. Aliquot and store at -20C long term. Avoid freeze-thaw cycles.

Background: IQGAP1

IQGAP1 encodes a member of the IQGAP family. The protein contains four IQ domains, one calponin homology domain, one Ras-GAP domain and one WW domain. It interacts with components of the cytoskeleton, with cell adhesion molecules, and with several signaling molecules to regulate cell morphology and motility. Expression of the protein is upregulated by gene amplification in two gastric cancer cell lines.

Long Name

IQ Motif Containing GTPase Activating Protein 1

Alternate Names

p195, SAR1

Gene Symbol

IQGAP1

Additional IQGAP1 Products

Product Documents for IQGAP1 Antibody (JE50-66)

Certificate of Analysis

To download a Certificate of Analysis, please enter a lot number in the search box below.

Product Specific Notices for IQGAP1 Antibody (JE50-66)

This product is for research use only and is not approved for use in humans or in clinical diagnosis. Primary Antibodies are guaranteed for 1 year from date of receipt.

Loading...
Loading...
Loading...
Loading...
Loading...