Skip to main content

INTS11 Antibody - BSA Free

Novus Biologicals, part of Bio-Techne | Catalog # NB100-60638

Novus Biologicals, part of Bio-Techne

Key Product Details

Validated by

Independent Antibodies, Biological Validation

Species Reactivity

Validated:

Human, Mouse

Cited:

Human

Predicted:

Orangutan (100%). Backed by our 100% Guarantee.

Applications

Validated:

Immunohistochemistry, Immunohistochemistry-Paraffin, Western Blot, Immunoprecipitation

Cited:

Western Blot

Label

Unconjugated

Antibody Source

Polyclonal Rabbit IgG

Format

BSA Free

Concentration

1.0 mg/ml

Product Specifications

Immunogen

The immunogen recognized by this antibody maps to a region between residue 550 and 600 of human integrator complex subunit 11 using the numbering given in entry NP_060341.2 (GeneID 54973).

Clonality

Polyclonal

Host

Rabbit

Isotype

IgG

Theoretical MW

68 kDa.
Disclaimer note: The observed molecular weight of the protein may vary from the listed predicted molecular weight due to post translational modifications, post translation cleavages, relative charges, and other experimental factors.

Description

Novus Biologicals Rabbit INTS11 Antibody - BSA Free (NB100-60638) is a polyclonal antibody validated for use in IHC, WB and IP. Anti-INTS11 Antibody: Cited in 1 publication. All Novus Biologicals antibodies are covered by our 100% guarantee.

Scientific Data Images for INTS11 Antibody - BSA Free

Western Blot: INTS11 Antibody [NB100-60638]

Western Blot: INTS11 Antibody [NB100-60638]

Western Blot: INTS11 Antibody [NB100-60638] - Whole cell lysate (50 ug) from HeLa, K-562, A-549, TCMK-1, and NIH 3T3 cells prepared using NETN lysis buffer. Antibody: Affinity purified rabbit anti-INT11antibody used for WB at 0.1 ug/ml. Detection: Chemiluminescence with anexposure time of 3 minutes.
Immunohistochemistry-Paraffin: INTS11 Antibody [NB100-60638]

Immunohistochemistry-Paraffin: INTS11 Antibody [NB100-60638]

Immunohistochemistry-Paraffin: INTS11 Antibody [NB100-60638] - Section of human breast carcinoma. Antibody: Affinity purified rabbit anti-INT11 used at a dilution of 1:5,000 (0.2ug/ml). Detection: DAB
Western Blot: INTS11 Antibody [NB100-60638]

Western Blot: INTS11 Antibody [NB100-60638]

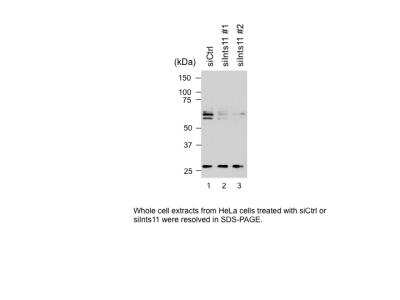
Western Blot: INTS11 Antibody [NB100-60638] - analysis of INTS11 in HeLa whole cell extracts (samples treated with siCtrl or siINTS11) using anti-INTS11 antibody. Image from verified customer review.

Applications for INTS11 Antibody - BSA Free

Application
Recommended Usage

Immunohistochemistry

1:1000 - 1:5000

Immunohistochemistry-Paraffin

1:1000 - 1:5000

Immunoprecipitation

2-10 ug/mg lysate

Western Blot

1:2000-1:10000
Application Notes
Epitope retrieval with citrate buffer pH6.0 is recommended for FFPE tissue sections. INTS11 antibody validated for WB from a verified customer review.

Reviewed Applications

Read 1 review rated 5 using NB100-60638 in the following applications:

Formulation, Preparation, and Storage

Purification

Immunogen affinity purified

Formulation

Tris-Citrate/Phosphate (pH 7.0 - 8.0)

Format

BSA Free

Preservative

0.09% Sodium Azide

Concentration

1.0 mg/ml

Shipping

The product is shipped with polar packs. Upon receipt, store it immediately at the temperature recommended below.

Stability & Storage

Store at 4C. Do not freeze.

Background: INTS11

INT11 has been identified as a component of the twelve-subunit integrator complex that functions in RNA Pol II mediated 3'-end mRNA processing of the U1 and U2 small nuclear RNAs (snRNAs). INT11 is a beta-lactamase family member that has sequence similarity to the cleavage and polyadenylation specificity factors CPSF-73 and CPSF-100.

Alternate Names

cleavage and polyadenylation specific factor 3-like, Cleavage and polyadenylation-specific factor 3-like protein, CPSF3-like protein, EC 3.1.27, EC 3.1.27.-, FLJ20542, INT11, integrator complex subunit 11, INTS11FLJ13294, Protein related to CPSF subunits of 68 kDa, RC68, RC-68CPSF73L, related to CPSF subunits 68 kDa

Entrez Gene IDs

54973 (Human); 71957 (Mouse)

Gene Symbol

INTS11

UniProt

Additional INTS11 Products

Product Documents for INTS11 Antibody - BSA Free

Certificate of Analysis

To download a Certificate of Analysis, please enter a lot number in the search box below.

Product Specific Notices for INTS11 Antibody - BSA Free

This product is for research use only and is not approved for use in humans or in clinical diagnosis. Primary Antibodies are guaranteed for 1 year from date of receipt.

Loading...
Loading...
Loading...
Loading...