Skip to main content

integrin beta 4 binding protein Antibody (HL1758)

Novus Biologicals, part of Bio-Techne | Catalog # NBP3-48663

Recombinant Monoclonal Antibody
Novus Biologicals, part of Bio-Techne
Catalog #
Availability
Size / Price
Qty
Loading...
NBP3-48663

Key Product Details

Validated by

Knockout/Knockdown

Species Reactivity

Human, Mouse, Rat, Drosophila, Zebrafish

Applications

Immunohistochemistry, Immunohistochemistry-Paraffin, Western Blot

Label

Unconjugated

Antibody Source

Recombinant Monoclonal Rabbit IgG Clone # HL1758

Concentration

Concentrations vary lot to lot. See vial label for concentration. If unlisted please contact technical services.

Product Specifications

Immunogen

Recombinant protein encompassing a sequence within the center region of human integrin beta 4 binding protein. The exact sequence is proprietary.

Clonality

Monoclonal

Host

Rabbit

Isotype

IgG

Description

Novus Biologicals Rabbit integrin beta 4 binding protein Antibody (HL1758) (NBP3-48663) is a recombinant monoclonal antibody validated for use in IHC and WB. All Novus Biologicals antibodies are covered by our 100% guarantee.

Scientific Data Images for integrin beta 4 binding protein Antibody (HL1758)

integrin beta 4 binding protein Antibody (HL1758)

Western Blot: integrin beta 4 binding protein Antibody (HL1758) [NBP3-48663] -

Non-transfected (-) and transfected (+) 293T whole cell extracts (30 ug) were separated by 12% SDS-PAGE, and the membrane was blotted with integrin beta 4 binding protein antibody [HL1758] (NBP3-48663) diluted at 1:5000. The HRP-conjugated anti-rabbit IgG antibody was used to detect the primary antibody.
integrin beta 4 binding protein Antibody (HL1758)

Western Blot: integrin beta 4 binding protein Antibody (HL1758) [NBP3-48663] -

Whole zebrafish extract (30 ug) was separated by 12% SDS-PAGE, and the membrane was blotted with integrin beta 4 binding protein antibody [HL1758] (NBP3-48663) diluted at 1:1000. The HRP-conjugated anti-rabbit IgG antibody was used to detect the primary antibody.
integrin beta 4 binding protein Antibody (HL1758)

Western Blot: integrin beta 4 binding protein Antibody (HL1758) [NBP3-48663] -

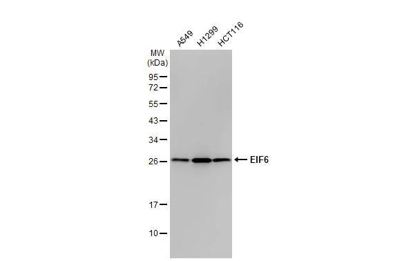
Various whole cell extracts (30 ug) were separated by 12% SDS-PAGE, and the membrane was blotted with integrin beta 4 binding protein antibody [HL1758] (NBP3-48663) diluted at 1:1000. The HRP-conjugated anti-rabbit IgG antibody was used to detect the primary antibody.

Applications for integrin beta 4 binding protein Antibody (HL1758)

Application
Recommended Usage

Western Blot

1:500-1:3000

Formulation, Preparation, and Storage

Purification

Protein A purified

Formulation

PBS

Preservative

No Preservative

Concentration

Concentrations vary lot to lot. See vial label for concentration. If unlisted please contact technical services.

Shipping

The product is shipped with polar packs. Upon receipt, store it immediately at the temperature recommended below.

Stability & Storage

Store at 4C short term. Aliquot and store at -20C long term. Avoid freeze-thaw cycles.

Background: integrin beta 4 binding protein

Hemidesmosomes are structures which link the basal lamina to the intermediate filament cytoskeleton. An important functional component of hemidesmosomes is the integrin beta-4 subunit (ITGB4), a protein containing two fibronectin type III domains. The protein encoded by this gene binds to the fibronectin type III domains of ITGB4 and may help link ITGB4 to the intermediate filament cytoskeleton. The encoded protein, which is insoluble and found both in the nucleus and in the cytoplasm, can function as a translation initiation factor and prevent the association of the 40S and 60S ribosomal subunits. Multiple transcript variants encoding two different isoforms have been found for this gene. [provided by RefSeq]

Alternate Names

b(2)gcn, B(2)GCN homolog, B4 integrin interactor, CAB, EIF3Ap27(BBP), eIF-6, eukaryotic translation initiation factor 3A, eukaryotic translation initiation factor 6, ITGB4BPintegrin beta 4 binding protein, p27 beta-4 integrin-binding protein, p27BBP

Gene Symbol

EIF6

Additional integrin beta 4 binding protein Products

Product Documents for integrin beta 4 binding protein Antibody (HL1758)

Certificate of Analysis

To download a Certificate of Analysis, please enter a lot number in the search box below.

Product Specific Notices for integrin beta 4 binding protein Antibody (HL1758)

This product is for research use only and is not approved for use in humans or in clinical diagnosis. Primary Antibodies are guaranteed for 1 year from date of receipt.

Loading...
Loading...
Loading...
Loading...