Skip to main content

Integrin beta 2/CD18 Antibody (MEM-148) - BSA Free

Novus Biologicals, part of Bio-Techne | Catalog # NB500-480

Clone MEM-148 was used by HLDA to establish CD designation.
Novus Biologicals, part of Bio-Techne
Catalog #
Availability
Size / Price
Qty
Loading...
NB500-480

Key Product Details

Species Reactivity

Human, Porcine (Negative)

Applications

CyTOF-ready, Flow Cytometry, Immunoprecipitation, Western Blot

Label

Unconjugated

Antibody Source

Monoclonal Mouse IgG1 Clone # MEM-148

Format

BSA Free

Concentration

1.0 mg/ml

Product Specifications

Immunogen

Human tissue / cell preparation, Peripheral blood mononuclear cells (NM_000211.3).

Specificity

Recognizes the epitope exposed on free human CD18 chains unassociated with CD11 as well as on high-affinity state of LFA-1.

Clonality

Monoclonal

Host

Mouse

Isotype

IgG1

Theoretical MW

95 kDa.
Disclaimer note: The observed molecular weight of the protein may vary from the listed predicted molecular weight due to post translational modifications, post translation cleavages, relative charges, and other experimental factors.

Description

Novus Biologicals Mouse Integrin beta 2/CD18 Antibody (MEM-148) - BSA Free (NB500-480) is a monoclonal antibody validated for use in WB, Flow and IP. All Novus Biologicals antibodies are covered by our 100% guarantee.

Scientific Data Images for Integrin beta 2/CD18 Antibody (MEM-148) - BSA Free

Western Blot: Integrin beta 2/CD18 Antibody (MEM-148)BSA Free [NB500-480]

Western Blot: Integrin beta 2/CD18 Antibody (MEM-148)BSA Free [NB500-480]

Western Blot: Integrin beta 2/CD18 Antibody (MEM-148) [NB500-480] - Fig. 1. Western Blotting analysis of PMA-activated monocytes. MEM-148 recognizes the lower 65 to 70 kDa zone (activation marker) as well as the upper 78 to 96 kDa zone (CD18).
Flow Cytometry: Integrin beta 2/CD18 Antibody (MEM-148) - BSA Free [NB500-480]

Flow Cytometry: Integrin beta 2/CD18 Antibody (MEM-148) - BSA Free [NB500-480]

Flow Cytometry: Integrin beta 2/CD18 Antibody (MEM-148) [NB500-480] - Analysis using the Biotin conjugate of NB500-480. Staining of human peripheral blood monocytes.
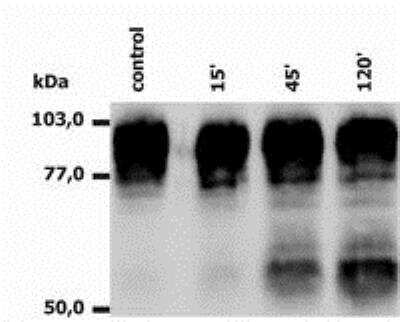
Western Blot: Integrin beta 2/CD18 Antibody (MEM-148)BSA Free [NB500-480]

Western Blot: Integrin beta 2/CD18 Antibody (MEM-148)BSA Free [NB500-480]

Western Blot: Integrin beta 2/CD18 Antibody (MEM-148) [NB500-480] - Fig. 1. Western Blotting analysis of PMA-activated neutrophils (Fig. 1A) and monocytes (Fig. 1B), using anti-human CD18 (MEM-148). The antibody MEM-148 recognizes the lower 65 to 70 kDa zone (activation marker) as well as the upper 78 to 96 kDa zone (CD18).

Applications for Integrin beta 2/CD18 Antibody (MEM-148) - BSA Free

Application
Recommended Usage

Flow Cytometry

1-5 ug/ml

Immunoprecipitation

1:50

Western Blot

1:1000
Application Notes
For Flow Cytometry: The antibody is excellent marker of activated myeloid cells. Functional: The antibody induces homotypic cell aggregation and high-affinity LFA-1 conformation in resting leukocytes. WB: Use under non-reducing conditions. Purity is > 95% (by SDS-PAGE). This antibody is CyTOF ready.

Formulation, Preparation, and Storage

Purification

Protein A purified

Formulation

Phosphate buffered saline (PBS), pH 7.4

Format

BSA Free

Preservative

15mM Sodium Azide

Concentration

1.0 mg/ml

Shipping

The product is shipped with polar packs. Upon receipt, store it immediately at the temperature recommended below.

Stability & Storage

Store at 4C. Do not freeze.

Background: Integrin beta 2/CD18

CD18 is an integrin. Integrins are integral cell surface proteins composed of an alpha chain and a beta chain. A given chain may combine with multiple partners resulting in different integrins. For example, beta 2 combines with the alpha L chain to form the integrin LFA1, and combines with the alpha M chain to form the integrin Mac1. Integrins are known to participate in cell adhesion as well as cell surface mediated signalling. CD18 is expressed by most leucocytes. Defects in the CD18 gene result in leukocyte adhesion deficiency.

Alternate Names

CD18, ITGB2, LCAMB, LFA-1, LFA-1 beta, MAC-1 beta, MF17, p150,95 beta

Entrez Gene IDs

3689 (Human)

Gene Symbol

ITGB2

UniProt

Additional Integrin beta 2/CD18 Products

Product Documents for Integrin beta 2/CD18 Antibody (MEM-148) - BSA Free

Certificate of Analysis

To download a Certificate of Analysis, please enter a lot number in the search box below.

Product Specific Notices for Integrin beta 2/CD18 Antibody (MEM-148) - BSA Free

This product is for research use only and is not approved for use in humans or in clinical diagnosis. Primary Antibodies are guaranteed for 1 year from date of receipt.

Loading...
Loading...
Loading...
Loading...
Loading...