Skip to main content

Integrin beta 1/CD29 Antibody (CL15622) - BSA Free

Novus Biologicals, part of Bio-Techne | Catalog # NBP3-43676

Novus Biologicals, part of Bio-Techne
Catalog #
Availability
Size / Price
Qty
Loading...
NBP3-43676-100ul
NBP3-43676-25ul

Key Product Details

Validated by

Orthogonal Validation

Species Reactivity

Human

Applications

Immunohistochemistry, Immunohistochemistry-Paraffin, Western Blot

Label

Unconjugated

Antibody Source

Monoclonal Mouse IgG1 Clone # CL15622

Format

BSA Free

Concentration

1 mg/ml

Product Specifications

Immunogen

This antibody was generated using a recombinant protein sequence of P05556, with the exact immunogen sequence remaining proprietary.

Clonality

Monoclonal

Host

Mouse

Isotype

IgG1

Description

Novus Biologicals Mouse Integrin beta 1/CD29 Antibody (CL15622) [Unconjugated] - BSA Free (NBP3-43676) is a monoclonal antibody validated for use in IHC and WB. All Novus Biologicals antibodies are covered by our 100% guarantee.

Scientific Data Images for Integrin beta 1/CD29 Antibody (CL15622) - BSA Free

Integrin beta 1/CD29 Antibody (CL15622) [Unconjugated] Western blot: Integrin beta 1/CD29 Antibody (CL15622) [NBP3-43676]

Western blot: Integrin beta 1/CD29 Antibody (CL15622) [NBP3-43676]

Analysis in human cell lines A-549 and HEK293 using Integrin beta 1/CD29 antibody. Corresponding ITGB1 RNA-seq data are presented for the same cell lines. Loading control: Anti-PARP1.
Integrin beta 1/CD29 Antibody (CL15622) [Unconjugated] Immunohistochemistry-Paraffin: Integrin beta 1/CD29 Antibody (CL15622) [NBP3-43676]

Immunohistochemistry-Paraffin: Integrin beta 1/CD29 Antibody (CL15622) [NBP3-43676]

Staining of human testis shows strong membranous positivity in peritubular myoid cells.
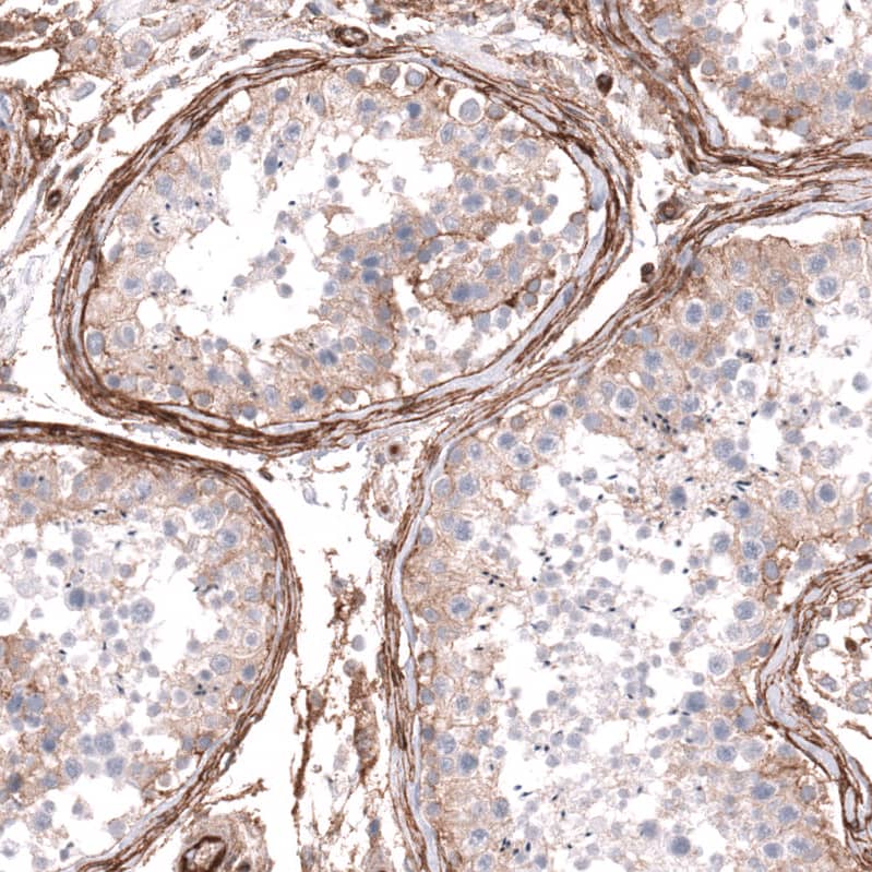
Integrin beta 1/CD29 Antibody (CL15622) [Unconjugated] Immunohistochemistry-Paraffin: Integrin beta 1/CD29 Antibody (CL15622) [NBP3-43676]

Immunohistochemistry-Paraffin: Integrin beta 1/CD29 Antibody (CL15622) [NBP3-43676]

Staining of human cerebral cortex shows strong positivity in endothelial cells.

Applications for Integrin beta 1/CD29 Antibody (CL15622) - BSA Free

Application
Recommended Usage

Immunohistochemistry

1:2500-1:5000

Immunohistochemistry-Paraffin

1:2500-1:5000

Western Blot

1 ug/ml
Application Notes
For IHC-Paraffin, HIER pH 6 retrieval is recommended.

Formulation, Preparation, and Storage

Purification

Protein A purified

Formulation

PBS, pH 7.2, 40% glycerol

Format

BSA Free

Preservative

0.02% Sodium Azide

Concentration

1 mg/ml

Shipping

The product is shipped with polar packs. Upon receipt, store it immediately at the temperature recommended below.

Stability & Storage

Store at 4C short term. Aliquot and store at -20C long term. Avoid freeze-thaw cycles.

Background: Integrin beta 1/CD29

Integrin beta-1 (ITGB1, CD29, VLA-beta) is the beta subunit found in the integrin families, forming a heterodimer integrin receptor through non-covalent bonding with various integrin alpha subunits. Integrin heterodimer containing Integrin beta-1 binds to various cell surface and extracellular proteins (CD49a-f, CD51) to mediate cell to cell and cell to matrix adhesion (1). Integrin beta-1 plays a critical role in the cell adhesion and recognition in embryogenesis, hemostasis, immune response, tissue repair, metastatic diffusion of tumor cells and development (2, 3, 4).

Alternate Names

CD29, ITGB1

Gene Symbol

ITGB1

Additional Integrin beta 1/CD29 Products

Product Documents for Integrin beta 1/CD29 Antibody (CL15622) - BSA Free

Certificate of Analysis

To download a Certificate of Analysis, please enter a lot number in the search box below.

Product Specific Notices for Integrin beta 1/CD29 Antibody (CL15622) - BSA Free

This product is for research use only and is not approved for use in humans or in clinical diagnosis. Primary Antibodies are guaranteed for 1 year from date of receipt.

Loading...
Loading...
Loading...
Loading...
Loading...