Skip to main content

Integrin alpha V/CD51 Antibody - Azide Free

Novus Biologicals, part of Bio-Techne | Catalog # NBP2-16973

Novus Biologicals, part of Bio-Techne
Catalog #
Availability
Size / Price
Qty
Loading...
NBP2-16973

Key Product Details

Species Reactivity

Validated:

Human, Mouse

Predicted:

Bovine (91%), Porcine (92%), Rhesus Macaque (99%), Sheep (90%). Backed by our 100% Guarantee.

Applications

Immunohistochemistry, Immunohistochemistry-Paraffin, Western Blot, ELISA

Label

Unconjugated

Antibody Source

Polyclonal Rabbit IgG

Format

Azide Free

Concentration

Concentrations vary lot to lot. See vial label for concentration. If unlisted please contact technical services.

Product Specifications

Immunogen

Recombinant protein encompassing a sequence within the C-terminus region of human Integrin alpha V/CD51. The exact sequence is proprietary.

Localization

Membrane; Single-pass type I membrane protein

Clonality

Polyclonal

Host

Rabbit

Isotype

IgG

Theoretical MW

116 kDa.
Disclaimer note: The observed molecular weight of the protein may vary from the listed predicted molecular weight due to post translational modifications, post translation cleavages, relative charges, and other experimental factors.

Description

Novus Biologicals Rabbit Integrin alpha V/CD51 Antibody - Azide Free (NBP2-16973) is a polyclonal antibody validated for use in IHC, WB and ELISA. Anti-Integrin alpha V/CD51 Antibody: Cited in 1 publication. All Novus Biologicals antibodies are covered by our 100% guarantee.

Scientific Data Images for Integrin alpha V/CD51 Antibody - Azide Free

Western Blot: Integrin alpha V/CD51 Antibody [NBP2-16973]

Western Blot: Integrin alpha V/CD51 Antibody [NBP2-16973]

Western Blot: Integrin alpha V/CD51 Antibody [NBP2-16973] - A549 whole cell and membrane extracts (30 ug) were separated by 7.5% SDS-PAGE, and the membrane was blotted with Integrin alpha V antibody [C2C3], C-term diluted at 1:500. The HRP-conjugated anti-rabbit IgG antibody (NBP2-19301) was used to detect the primary antibody, and the signal was developed with Trident ECL plus-Enhanced.
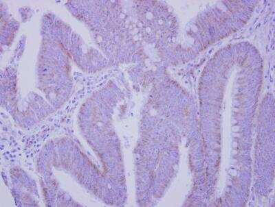
Immunohistochemistry-Paraffin: Integrin alpha V/CD51 Antibody [NBP2-16973]

Immunohistochemistry-Paraffin: Integrin alpha V/CD51 Antibody [NBP2-16973]

Immunohistochemistry-Paraffin: Integrin alpha V/CD51 Antibody [NBP2-16973] - Human colon carcinoma, using Integrin alpha V antibody at 1:250 dilution. Antigen Retrieval: Trilogy™ (EDTA based, pH 8.0) buffer, 15min.
Western Blot: Integrin alpha V/CD51 Antibody [NBP2-16973]

Western Blot: Integrin alpha V/CD51 Antibody [NBP2-16973]

Western Blot: Integrin alpha V/CD51 Antibody [NBP2-16973] - Sample (30 ug of whole cell lysate) A: HUVEC 7. 5% SDS PAGE gel, diluted at 1:500.

Applications for Integrin alpha V/CD51 Antibody - Azide Free

Application
Recommended Usage

ELISA

Assay dependent

Immunohistochemistry

1:100-1:1000

Immunohistochemistry-Paraffin

1:100-1:1000

Western Blot

1:500-1:3000

Formulation, Preparation, and Storage

Purification

Antigen Affinity-purified

Formulation

PBS, 1% BSA, 20% Glycerol

Format

Azide Free

Preservative

0.025% Proclin 300

Concentration

Concentrations vary lot to lot. See vial label for concentration. If unlisted please contact technical services.

Shipping

The product is shipped with polar packs. Upon receipt, store it immediately at the temperature recommended below.

Stability & Storage

Aliquot and store at -20C or -80C. Avoid freeze-thaw cycles.

Background: Integrin alpha V/CD51

ITAGV encodes integrin alpha chain V. Integrins are heterodimeric integral membrane proteins composed of an alpha chain and a beta chain. The I-domain containing integrin alpha V undergoes post-translational cleavage to yield disulfide-linked heavy and light chains, that combine with multiple integrin beta chains to form different integrins. Among the known associating beta chains (beta chains 1,3,5,6, and 8; 'ITGB1', 'ITGB3', 'ITGB5', 'ITGB6', and 'ITGB8'), each can interact with extracellular matrix ligands; the alpha V beta 3 integrin, perhaps the most studied of these, is referred to as the Vitronectin receptor (VNR). In addition to adhesion, many integrins are known to facilitate signal transduction. Alternative splicing results in multiple transcript variants. [provided by RefSeq]

Alternate Names

CD51, ITGAV, MSK8, Vitronectin Receptor alpha, VNRA

Gene Symbol

ITGAV

Additional Integrin alpha V/CD51 Products

Product Documents for Integrin alpha V/CD51 Antibody - Azide Free

Certificate of Analysis

To download a Certificate of Analysis, please enter a lot number in the search box below.

Product Specific Notices for Integrin alpha V/CD51 Antibody - Azide Free

This product is for research use only and is not approved for use in humans or in clinical diagnosis. Primary Antibodies are guaranteed for 1 year from date of receipt.

Loading...
Loading...
Loading...
Loading...

⚠ WARNING: This product can expose you to chemicals including mercury, which is known to the State of California to cause reproductive toxicity with developmental effects.  For more information go to www.P65Warnings.ca.gov.